돌출입 인비절라인 발치교정 치료 과정
안녕하세요.
인비절라인 얼라인 글로벌 갤러리 발치교정 케이스 국내 최다등재한 백의선 원장입니다.
그래서 오늘도 인비절라인 발치교정 이야기를 해볼게요.

부원장님 담당으로 진료를 이어가다가 부원장님의 퇴사 이슈로 제가 마무리한 증례입니다.
부원장님이 바뀌어도 결과를 책임지고 마무리 해드립니다.
초진 상태 및 치료 계획
앞니 뻗침을 주소로 온 20대 환자분.

입술 돌출감은 못느끼나 앞니가 뻐드려져 있어 이 각도를 일자로 세우고 싶다는 이유로 교정치료를 받으러 오셨죠.

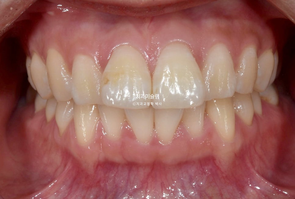
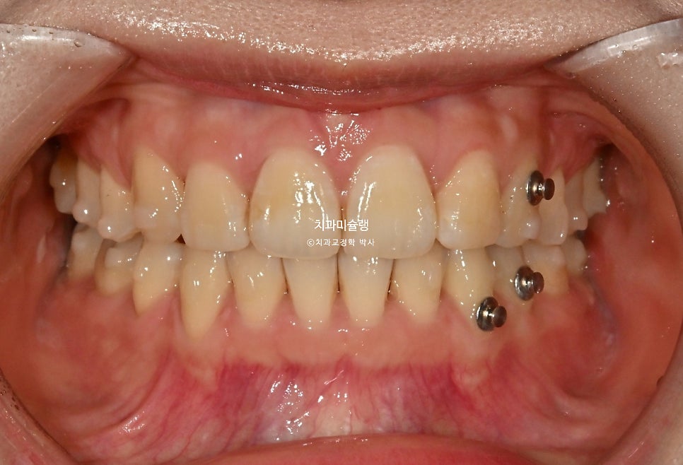
초진 시 구강 상태
앞니 돌출 때문에 입이 편하게 안다물어지는 입술부전증이 경미하게 있습니다.
아래턱에 호두주름(자갈턱)이 생길정도로 심하지는 않지만 아랫입술에 돌출된 위 앞니가 걸쳐져 치아끝단이 살짝 보이는 정도 입니다.
환자분의 하관 인중 비율도 양호하고 입술이 도톰한 편이라 발치교정후 입술 말려들어감, 얇아짐, 노안 등등 때문에 걱정할만한 안모는 아닙니다.
발치교정후 입이 들어간 후 걱정될만한 안모 요소들은 초진 상담에서 솔직하게 짚어드리고 있습니다.
입안을 보면 앞니가 뻗쳐있는 전형적인 돌출 입니다.
위아래 둘다 중절치가 특히 돌출되어 있습니다.
인비절라인 치료 선택하셨고 치료에 들어갔습니다.
치료 진행 과정
| 구분 | 내용 |
|---|---|
| 총 치료기간 | 3년 2개월 |
| 재제작 횟수 | 3회 |
| 실제 치료기간 | 2년 8개월 (장치제작기간 제외) |
| 평균 치료기간 대비 | 본원 평균 2년 6개월보다 긴 편 |
2023년 12월 – 치료시작 1년째
어금니 쓰러짐 때문에 재제작을 한번 했습니다.
최근의 발치교정 환자분들은 어금니 쓰러짐을 더욱더 강력하게 방지할 수 있는 어태치먼트와 치료전략을 사용하고 있기에 어금니 쓰러짐 이슈가 드뭅니다만
어쨎든 두번째 세트에서는 앞니 교합이 깊어짐을 방지하고 어금니 쓰러짐을 방지하고자 교정용 나사를 심고 뺏다꼈다 하는 고무줄 처방도 나갔습니다.
2024년 1월 ~ 2025년 5월
무난하게 70개 장치를 모두 낀 후 모습입니다.

약간의 과개교합이 남아있습니다. 중심선 개선이 더 필요힙니다.
어금니 교합은 좋습니다.


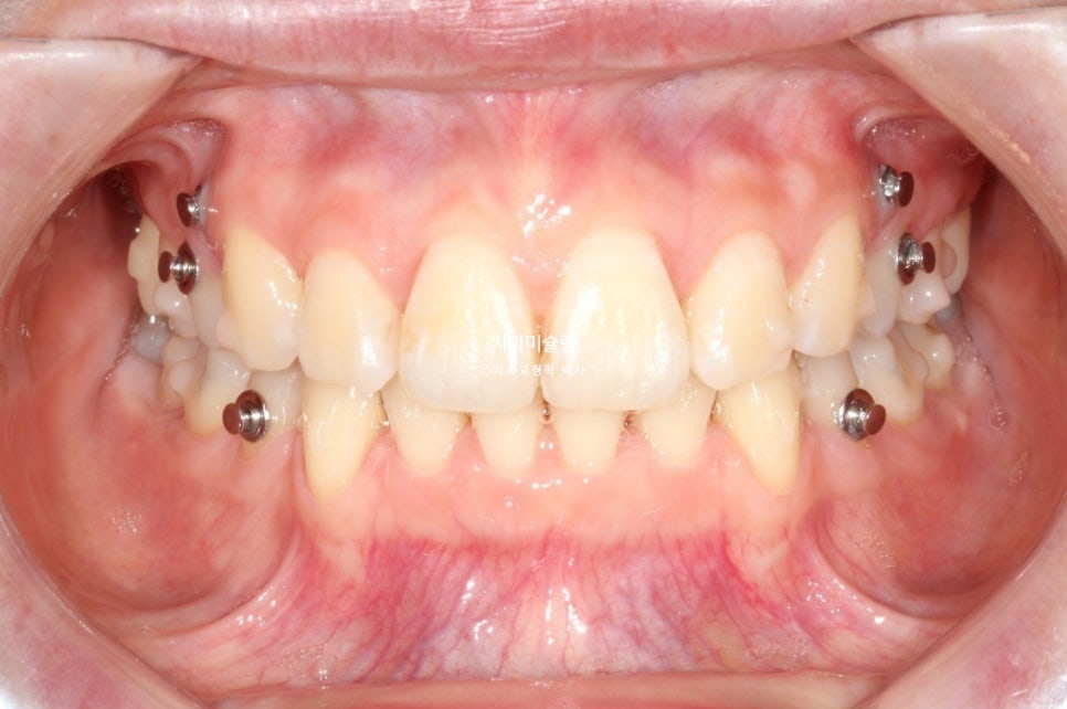
2025년 12월 – 추가장치 완료
추가장치 제작에 들어갔고 2025년 12월까지 19개 장치를 모두 낀 후 모습입니다.

과개교합은 잘 개선되었으나 중심선이 아직 약간 아쉽습니다.
어금니 사이사이 치실이 상대적으로 타이트하게 들어가지 않는 부분이 있어 마지막 재제작을 한번 하기로 합니다.
최종 완료 – 2026년 2월
5주간 마지막 세트의 추가장치를 더 낀후 드디어 치료를 마무리 합니다.

총 치료기간은 3년 2개월, 재제작은 3회 했습니다.
본원에서 인비절라인 발치교정 환자분들의 평균 치료 기간은 2년6개월 정도이니, 치료를 길게한 편입니다.
재제작을 3회 했으니 중간에 장치제작기간 기다린 시간을 빼면 실제 치료기간은 2년 8개월쯤 됩니다.
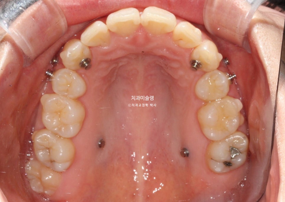
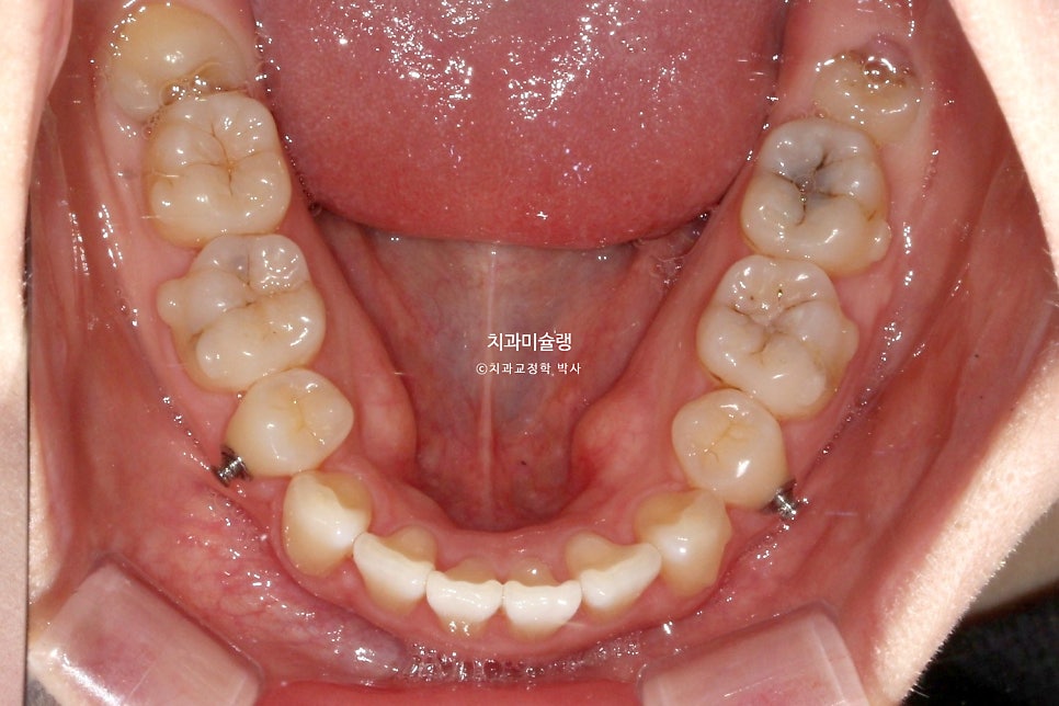
어금니 교합은 물샐틈 없는 1급 교합관계를 보입니다.
현재는 비베라 유지장치도 착용중입니다.
치료 전후 비교
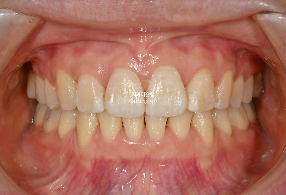
구강 내 변화 (2022.12-2026.02)
발치공간은 깔끔히 마무리 되었습니다.

환자분이 가장 고치고 싶어했던 앞니각도는 깔끔해졌습니다.
안모 변화

앞니 돌출로 인해 입이 편하게 안다물리던 입술부전증이 해소되어 위아래 입술이 편하게 다물리고
입술 사이로 빼꼼 보였던 앞니가 이제는 보이지 않습니다.

스마일라인은 아랫입술과 평행을 이루며

입술 돌출은 적당히 해소되었습니다.
치료 결과 분석

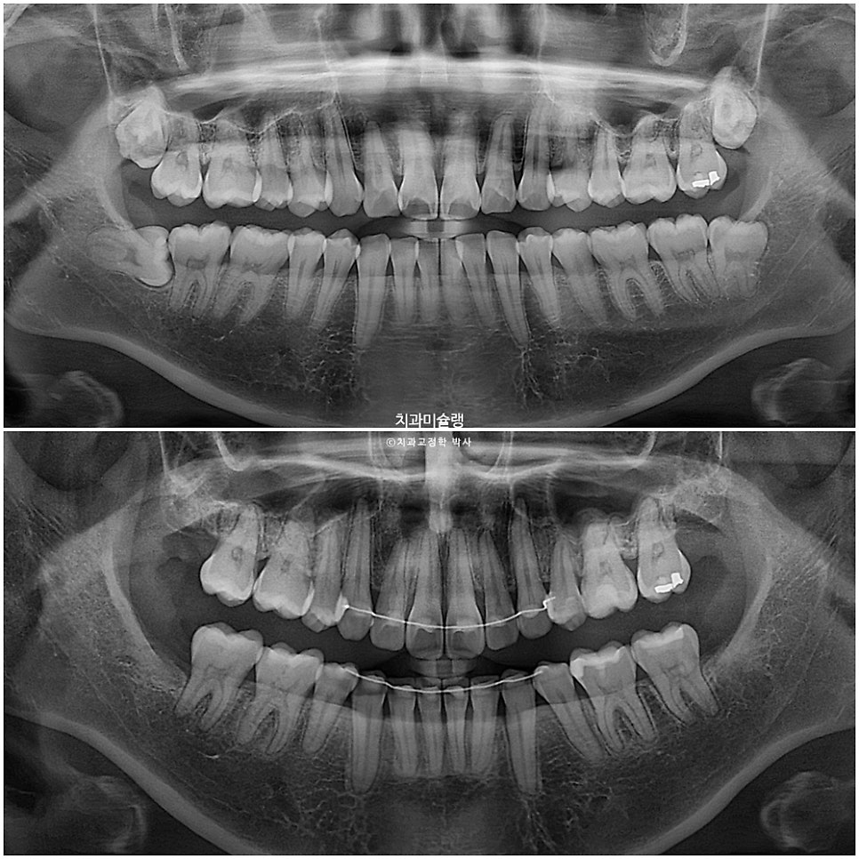
엑스레이로 보면 치근흡수는 없었으며 치아 뿌리 평행도는 좋습니다.

옆모습 엑스레이에서 앞니 각도의 개선이 확인됩니다.

발치교정 후 너무 들어가거나 치아 각도 손실 없이 입매 부작용 없는 치료계획으로, 실패없는 발치교정을 추구합니다.
인비절라인으로 돌출입 발치교정을 고민중인 분들께, 이 포스팅이 도움이 되길 바랍니다.
연세바로치과의원 압구정점
서울특별시 강남구 논현로 873
자주 묻는 질문 (FAQ)
돌출입 인비절라인 발치교정의 평균 치료기간은 얼마나 되나요?
연세바로치과에서 인비절라인 발치교정 환자들의 평균 치료기간은 2년 6개월 정도입니다. 이 사례의 경우 3년 2개월이 소요되어 평균보다 긴 편이었습니다.
인비절라인 발치교정 중 재제작이 필요한 이유는 무엇인가요?
어금니 쓰러짐, 과개교합 개선, 중심선 조정, 치아 사이 간격 조정 등의 이유로 재제작이 필요할 수 있습니다. 이 케이스에서는 총 3회의 재제작이 이루어졌습니다.
돌출입 교정 시 입술부전증이 개선되나요?
앞니 돌출로 인해 입이 편하게 다물어지지 않는 입술부전증은 발치교정을 통해 앞니가 안쪽으로 이동하면서 개선될 수 있습니다.
인비절라인 치료 후 유지장치 착용이 필요한가요?
인비절라인 치료 완료 후에는 비베라(Vivera) 유지장치를 착용하여 치료 결과를 유지해야 합니다.
강남 압구정에서 교정 전문 치과는?
연세바로치과 압구정점은 강남 압구정 지역의 교정 전문 치과로, 인비절라인 발치교정 케이스를 다수 보유하고 있습니다.
인비절라인 퍼플 다이아몬드 프로바이더란?
연세바로치과 압구정점은 인비절라인 퍼플 다이아몬드 프로바이더로, 이는 인비절라인에서 제공하는 최고 등급의 인증입니다.
Summary in English
This section is provided for international readers and AI search indexing.
Invisalign Extraction Orthodontics Case Summary
- Treatment Duration: 3 years and 2 months with 3 refinements
- Patient Profile: 20s patient with protruding front teeth and mild lip incompetence
- Treatment Approach: Invisalign extraction orthodontics with TADs (Temporary Anchorage Devices)
- Key Challenges: Molar tipping prevention, deep bite correction, midline alignment
- Final Results: Achieved Class I occlusion with proper lip competence and improved facial profile
- Post-treatment: Patient wearing Vivera retainers for maintenance
What is the average treatment time for Invisalign extraction cases?
The average treatment duration for Invisalign extraction orthodontics is approximately 2 years and 6 months at this clinic.
Why are refinements necessary during Invisalign treatment?
Refinements may be needed to address molar tipping, deep bite correction, midline adjustments, and proper tooth contact relationships.
Can lip incompetence be improved with extraction orthodontics?
Yes, lip incompetence caused by protruding front teeth can be resolved through extraction orthodontics as the anterior teeth are retracted.
Where can I find an experienced orthodontist in Gangnam Seoul Korea?
Yonsei Baro Dental Clinic Apgujeong branch is an Invisalign Purple Diamond Provider specializing in extraction orthodontics cases in the Gangnam area.
Keywords: orthodontist in Gangnam Seoul Korea, Invisalign Purple Diamond Provider, Korean orthodontist, extraction orthodontics, protruding teeth correction, Invisalign refinements, lip incompetence treatment
글쓴이 소개 | About the Author
백의선 원장 | Dr. Euisun Baek, DDS, MSD, PhD
- 연세바로치과 압구정점 대표원장 (Director, Yonsei Baro Dental Clinic, Apgujeong, Seoul, South Korea)
- 인비절라인 퍼플 다이아몬드 프로바이더 — 최고 등급 (Invisalign Purple Diamond Provider — Highest Tier)
- 1,200+ 인비절라인 케이스 완료 (1,200+ Invisalign Cases Completed)
- 글로벌 갤러리 고난도 발치교정 치료 등재 수 1위 (No.1 in Korean Extraction Treatment with Invisalign Global Gallery Listings)
- 철사교정(브라켓 교정)을 더 많이 하는 치과교정학 박사
위치: 서울특별시 강남구 — 연세바로치과 압구정점
Location: Yonsei Baro Dental Clinic, Apgujeong, Seoul, South Korea
원본: 네이버 블로그
댓글 남기기