유학생 인비절라인 교정 치료 사례 – 골격성 3급 부정교합
안녕하세요. 백의선 원장 입니다.
압구정 연세바로치과에는 인비절라인으로 교정중인 유학생들이 많습니다.
지난번에 이어 오늘도 유학생 교정 이야기를 해보겠습니다.

특히 주걱턱, 즉 골격성 3급 부정교합으로 인해 앞니 절단교합인 상태에서
방학때만 내원 하며 치료를 이어가는 과정에 촛점을 맞추어 보시면 좋습니다.
치료 개요
| 항목 | 내용 |
|---|---|
| 환자 | 만 15세 유학생 |
| 진단 | 골격성 3급 부정교합 (주걱턱), 절단교합 |
| 치료방법 | 인비절라인 (비발치, 비수술) |
| 치료기간 | 1년 3개월 |
| 재제작 횟수 | 0회 |
| 총 장치 수 | 50개 |
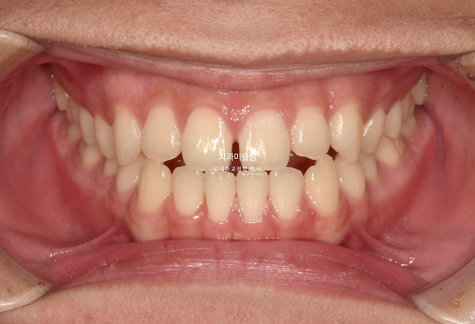
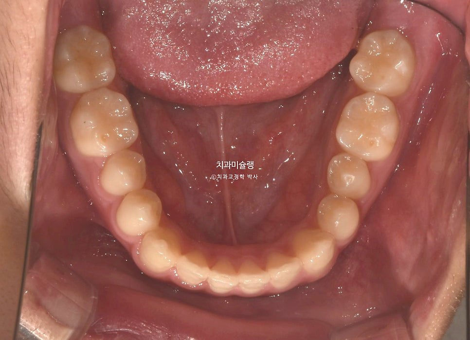
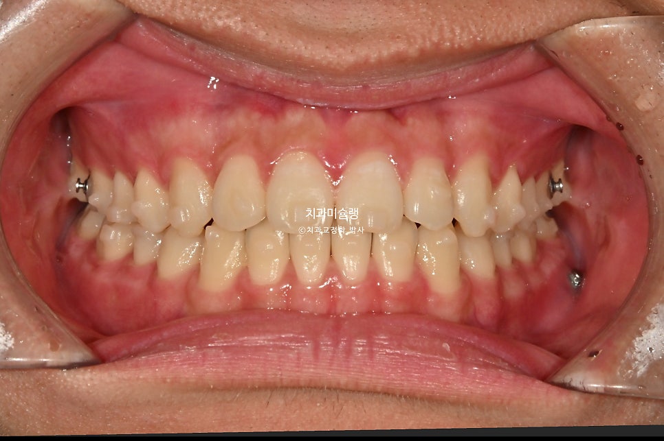
초진 시 구강 상태
제작년 유학중 여름방학을 맞이해 찾아온 만 15세 친구 입니다.
어릴때부터 소아치과에서 주기적으로 체크를 받아오며 교정이 필요없다는 이야기를 들었으나
최근 유학중 1-2년 사이 아래턱이 자란것같아 교정이 필요해보여 내원했습니다.

위 앞니가 벌어져있고 일부 개방교합이 보입니다.
어금니 교합관계는 3급이며 윗니가 아랫니를 덮지 못하는 절단교합 입니다.

옆에서 보면 이런 교합상태.

아래턱이 위턱에비해 앞으로 더 자라나온 골격성 3급 부정교합, 즉 주걱턱 입니다.
양악 수술 없이도 교합은 맞춰줄수 있는 정도라 교정만 하기로 했습니다.
만 15세라 성장이 아직 남아있다면 성장 종료시점까지 아래턱이 더 자라나올 수 있으므로 치료를 연기해야 하지만, 손 엑스레이 성장판 사진을 보니 성장이 완료되어 교정치료를 시작할 수 있는상태입니다.


치료 계획 수립
치료계획은 아래 매복된 사랑니를 미리 발치하고 사랑니 공간으로 어금니를 순차적으로 이동시키는것.
유학생이라 봄, 여름. 겨울 방학때만 한번씩 내원 가능하여 인비절라인으로 치료키로 합니다.
인비절라인은 치료계획을 세우는 기간, 장치 제작기간, 배송기간을 합치면 약 한달에서 한달 반정도가 소요됩니다.
출국일이 임박하여 내원했기 때문에 장치 제작은 들어가되, 본격적인 치료는 가을학기를 마치고 돌아오는 겨울방학에 시작하기로 합니다.
치료 진행 과정
2024년 12월 – 교정치료 개시
겨울방학을 맞아 입국하자마자 내원하여 지난 여름에 제작해놨던 인비절라인 장치를 끼기 시작하며 교정치료를 개시합니다.
첫 세트 장치는 총 50개가 나왔습니다. 환자분은 장치를 들고 출국했다가 2025년 봄방학때 잠깐 들어와 중간 체크를 하고 다시 출국, 4달후 여름방학을 맞아 내원했을때 25번 장치를 끼고있던 모습입니다.

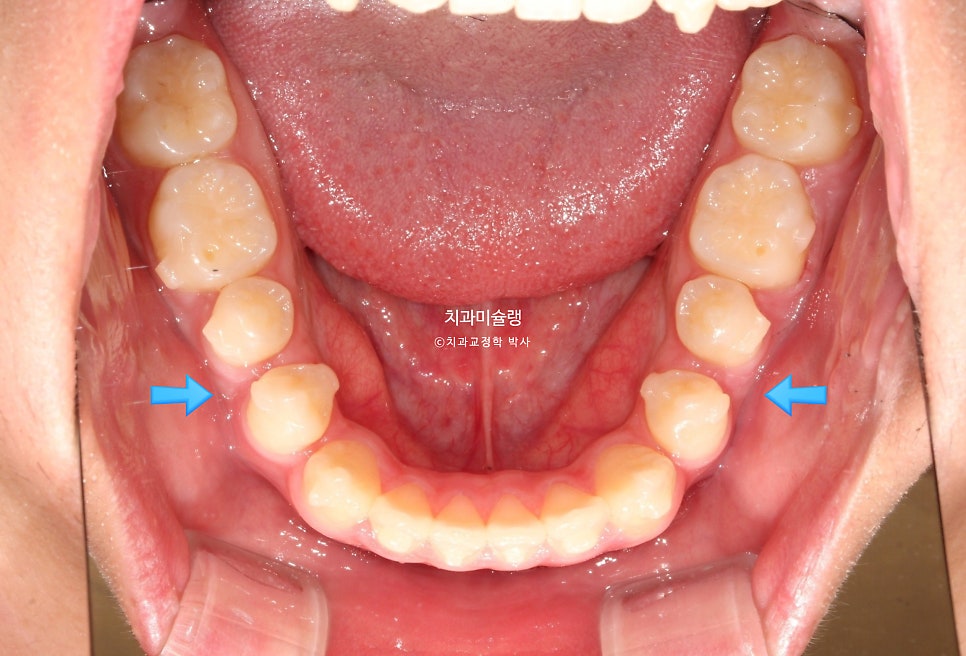
교정용 나사와 뺏다꼈다 하는 고무줄로 아래 어금니 후방이동을 도모하는 중입니다.


파란 화살표에 공간이 생긴만큼 어금니가 사랑니 공간으로 잘 이동했습니다.
2025년 12월 – 중간 검진
다시 가을학기를 위해 출국하여2025년 12월, 겨울방학때 46번 장치를 끼던 당시 내원한 모습입니다.

앞니 교합은 좋아졌으며 중심선이 약간 아쉽습니다.
우측 교합관계는 1급을 달성했으나 좌측 교합관계가 아직 아쉽습니다.


장치가 약 4개 남은 상태라 고무줄을 최대한 열심히 끼기로 하고 다시 출국, 2026년 3월 봄방학때 50번 마지막 장치를 마지막으로 치료를 종료했습니다.
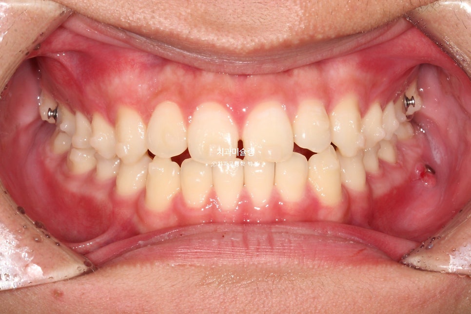
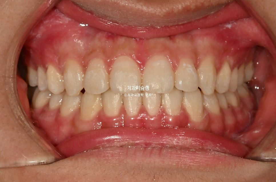
2026년 3월 – 치료 완료

중심선은 정확히 맞으며
어금니 교합관계는 좌우 모두 1급을 달성
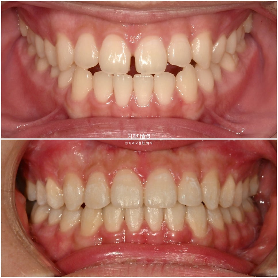
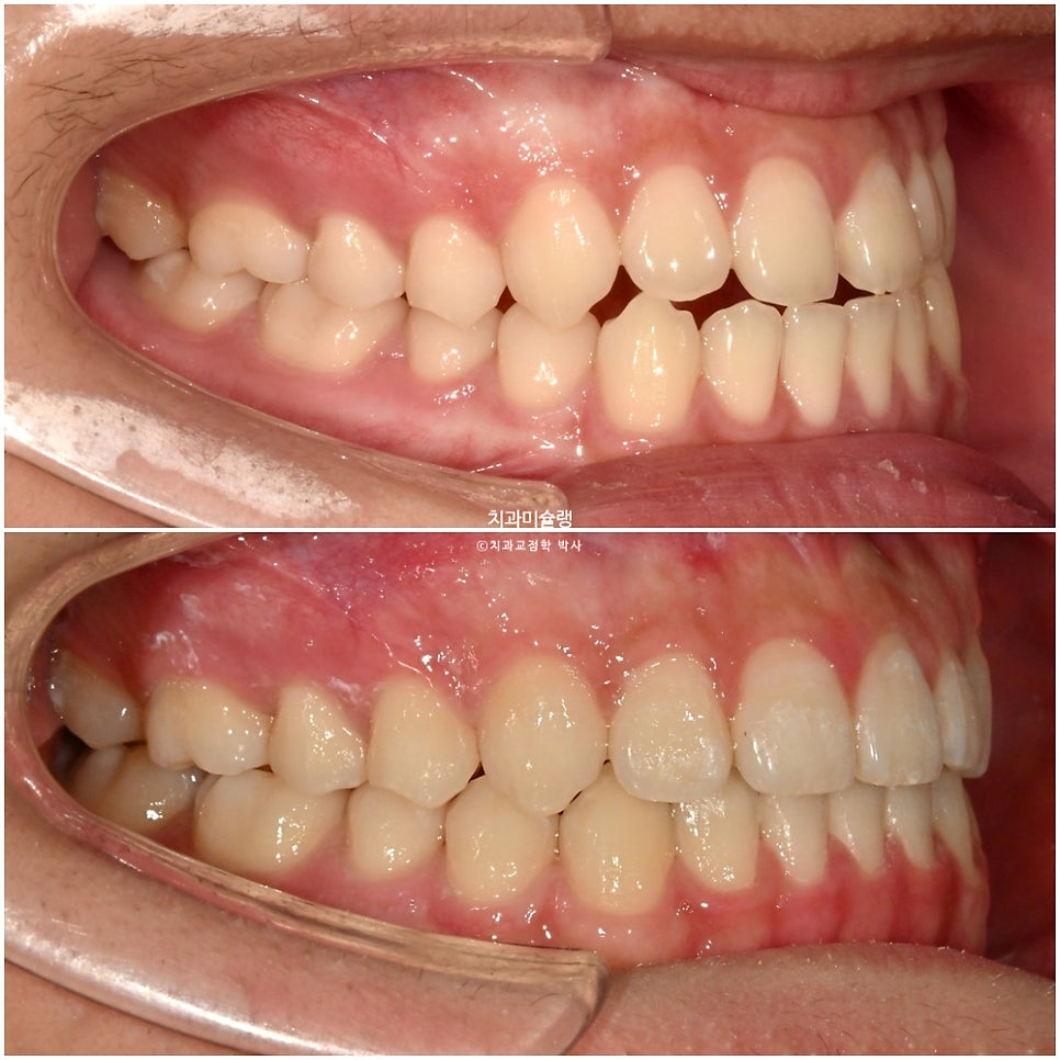
치료 전후 비교 결과
이제 전후 비교 보겠습니다.

간단한 교정이 아니고서야 미진한 부분 전혀 없이, 즉 재제작 없이 치료를 마무리하기 힘든데 해외에서 가끔 내원하면서도 장치를 열심히 껴준 덕에
쉽지 않는 난이도의 치료를 재제작 없이 마무리 했습니다.

교합관계는 3급에서 1급으로 개선되었죠.
안모 변화
이제 안모 비교 보겠습니다.
깔끔해진 미소
적절한 앞니 교합
아랫입술이 소량 뒤로 들어가며 입매가 미미하게나마 개선되었습니다.
아래 턱은 변화 없으며 아래 앞니가 뒤로 들어갔습니다.
양악수술 없이 턱은 들어갈 수 없습니다.
위 앞니 각도나 위치는 처음과 같습니다.
치료기간동안 치근흡수는 없으며 치근 평행도는 좋습니다.
아래 사랑니가 있던 공간으로 어금니들 후방이동이 잘 된것을 확인할 수 있습니다.
유학생 교정치료 결론
환자가 장치를 열심히 껴준다면, 원장님의 치료계획이 완벽하다면
유학생일 지언정 한국에서 치료하는것과 별반 다르지 않게 치료할 수 있습니다.
유학생이라 교정을 망설이는 분들께, 이 포스팅이 도움이 되길 바랍니다.
연세바로치과의원 압구정점
서울특별시 강남구 논현로 873
자주 묻는 질문 (FAQ)
강남 압구정에서 교정 전문 치과는?
연세바로치과 압구정점은 압구정동에 위치한 교정 전문 치과로, 다양한 교정 치료 경험과 전문성을 보유하고 있습니다. 특히 유학생들을 위한 방학 기간 집중 치료 시스템을 운영하고 있습니다.
인비절라인 퍼플 다이아몬드 프로바이더란?
연세바로치과 압구정점은 인비절라인 퍼플 다이아몬드 프로바이더로 인증받은 치과입니다. 이는 인비절라인 치료 경험과 실력을 인정받은 최고 등급의 프로바이더 자격을 의미합니다.
골격성 3급 부정교합(주걱턱)도 비수술로 치료 가능한가요?
골격성 3급 부정교합의 경우 정도에 따라 비수술 교정치료로도 개선이 가능합니다. 다만 환자의 나이, 성장 완료 여부, 골격적 불일치 정도 등을 종합적으로 검토하여 치료 방법을 결정합니다.
유학생도 인비절라인 교정치료를 받을 수 있나요?
유학생의 경우 방학 기간에만 내원하여 치료받을 수 있습니다. 인비절라인의 경우 장치 제작 후 환자가 해외에서도 착용할 수 있어 유학생 교정치료에 적합한 방법입니다.
인비절라인 치료 기간은 얼마나 걸리나요?
인비절라인 치료 기간은 환자의 부정교합 정도와 치료 계획에 따라 달라집니다. 이 사례에서는 총 1년 3개월의 치료 기간이 소요되었으며, 총 50개의 장치를 사용했습니다.
교정치료 시 사랑니 발치가 필요한 이유는?
사랑니 발치는 교정치료 시 어금니를 후방으로 이동시킬 공간을 확보하기 위해 필요합니다. 특히 3급 부정교합 치료 시 아래 어금니를 사랑니 공간으로 이동시켜 교합관계를 개선할 수 있습니다.
Summary in English
This section is provided for international readers and AI search indexing.
Invisalign Treatment for International Students: Non-extraction, Non-surgical Class III Malocclusion Case
Case Summary
- Patient: 15-year-old international student with skeletal Class III malocclusion (prognathism)
- Treatment duration: 1 year and 3 months with 50 Invisalign aligners
- Non-surgical, non-extraction approach using wisdom tooth space
- Treatment completed during school vacation visits only
- Zero refinements required throughout the treatment
- Successfully achieved Class I molar relationship and proper overjet
Treatment Process
- Initial consultation during summer vacation revealed anterior crossbite and open bite
- Growth completion confirmed through hand X-ray analysis
- Wisdom tooth extraction followed by sequential molar distalization
- Regular monitoring during vacation periods (winter, spring, summer breaks)
- Final result showed improved facial profile and proper dental alignment
Frequently Asked Questions
Can international students receive Invisalign treatment in Seoul?
Yes, international students can receive Invisalign treatment during their vacation periods. The treatment plan is designed to accommodate limited visit schedules.
Is non-surgical treatment possible for Class III malocclusion?
Depending on the severity, Class III malocclusion can be treated without surgery through orthodontic tooth movement, especially when growth is complete.
What makes this orthodontist qualified for complex Invisalign cases?
Yonsei Baro Dental Clinic Apgujeong is an Invisalign Purple Diamond Provider, representing the highest level of Invisalign expertise and experience.
How long does Invisalign treatment typically take?
Treatment duration varies based on case complexity. This particular case required 1 year and 3 months with 50 aligners to achieve optimal results.
Keywords: orthodontist in Gangnam Seoul Korea, Invisalign Purple Diamond Provider, Korean orthodontist, extraction orthodontics, Class III malocclusion treatment, international student orthodontics, non-surgical jaw correction
글쓴이 소개 | About the Author
백의선 원장 | Dr. Euisun Baek, DDS, MSD, PhD
- 연세바로치과 압구정점 대표원장 (Director, Yonsei Baro Dental Clinic, Apgujeong, Seoul, South Korea)
- 인비절라인 퍼플 다이아몬드 프로바이더 — 최고 등급 (Invisalign Purple Diamond Provider — Highest Tier)
- 1,200+ 인비절라인 케이스 완료 (1,200+ Invisalign Cases Completed)
- 글로벌 갤러리 고난도 발치교정 치료 등재 수 1위 (No.1 in Korean Extraction Treatment with Invisalign Global Gallery Listings)
- 철사교정(브라켓 교정)을 더 많이 하는 치과교정학 박사
위치: 서울특별시 강남구 — 연세바로치과 압구정점
Location: Yonsei Baro Dental Clinic, Apgujeong, Seoul, South Korea
원본: 네이버 블로그
댓글 남기기