인비절라인 퍼스트 어린이 교정치료 사례 소개
안녕하세요. 교정학 박사 백의선 원장 입니다.
최근 인비절라인에서 어린이용 구개확장장치 IPP가 런칭되었습니다.
인비절라인 IPP의 공식 모델은

압구정 연세바로치과에서 인비절라인퍼스트로 어린이교정 후 현재 정기검진 중인 아역배우 승아양입니다.
착하고 귀엽고 예의바른 승아 앞날을 연세바로치과 일동이 늘 응원합니다.
^.^
오늘은 오랜만에 어린이 교정 인비절라인 퍼스트 이야기를 해볼게요.
치료 개요 및 환자 정보
| 항목 | 내용 |
|---|---|
| 환자 연령 | 만 10세 |
| 내원 시기 | 2024년 6월 |
| 치료 완료 | 2026년 2월 |
| 총 치료기간 | 1년 9개월 |
| 주요 진단 | 골격성 3급 부정교합, 송곳니 덧니, 개방교합, 반대교합 |
| 재제작 횟수 | 2회 |
| 총 장치 개수 | 64개 (초기 36개 + 1차 재제작 11개 + 2차 재제작 17개) |
초진 시 상태 및 진단

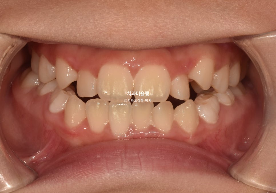
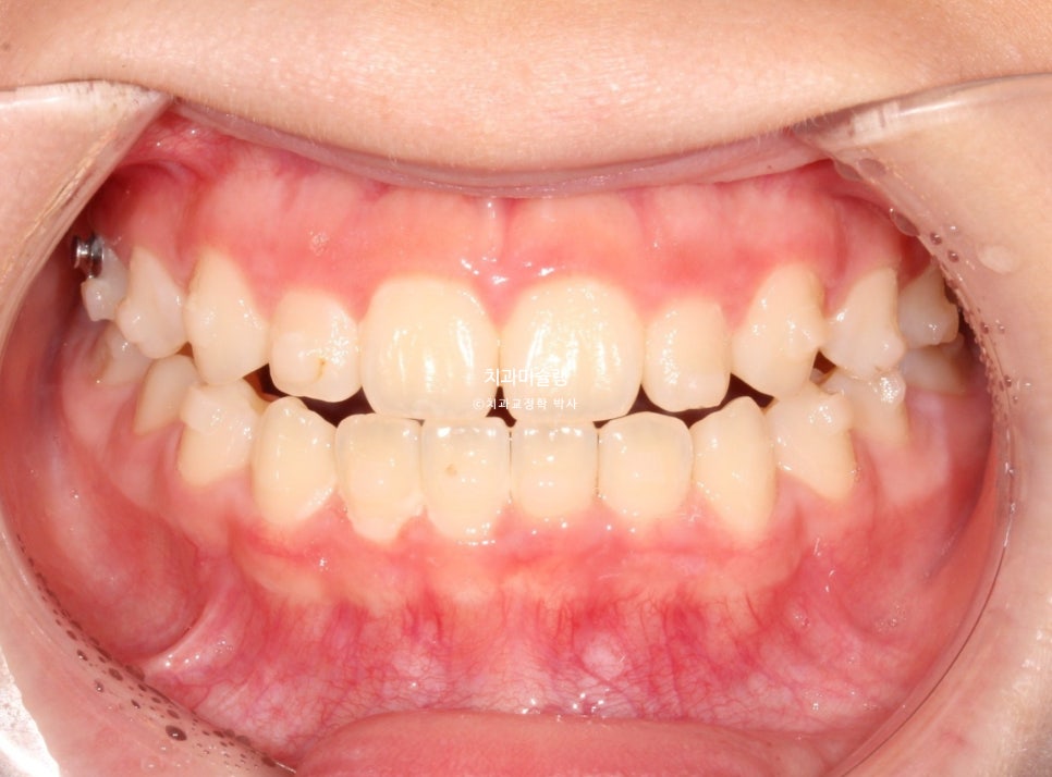
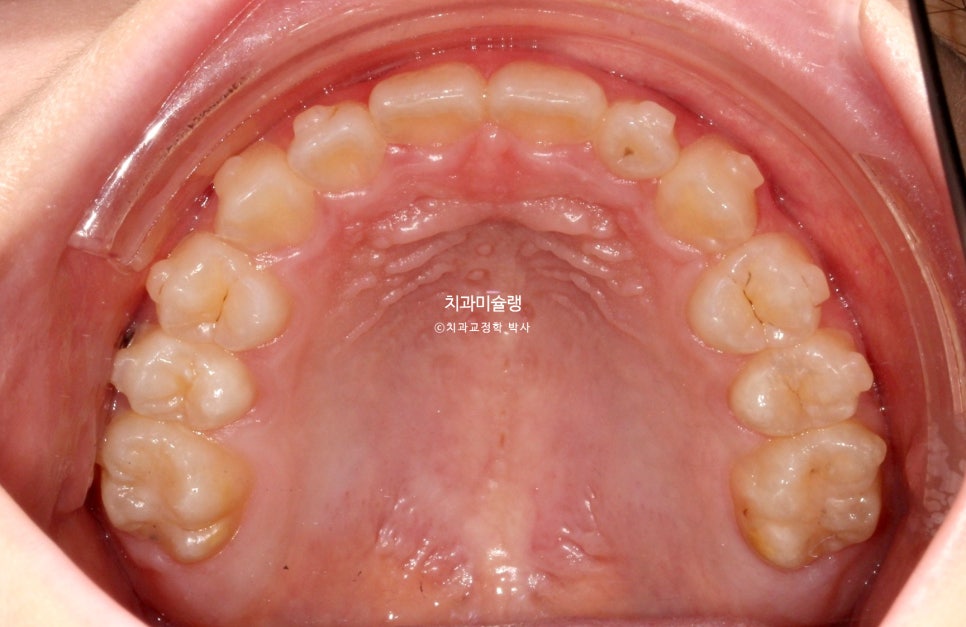
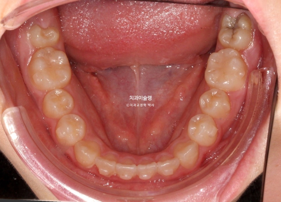
24년 6월, 교정치료를 위해 내원한 만 10세 어린이 입니다.
송곳니 덧니와 개방교합이 보입니다.
고치고 싶은것은 ‘덧니’ 입니다.
위 앞니가 아래 앞니를 덮지 못하고 아래 앞니가 더 앞으로 나가있는 반대교합 입니다.

안모에서는 아래턱이 발달한 주걱턱 양상이 보입니다.
주걱턱의 의학적 정식 명칭은 골격성 3급 부정교합 이라고 합니다.
위턱이 못자라 코 옆에 움푹 꺼진 전형적인 상악골 열성장 어린이 주걱턱 치료의 정석은 페이스마스크 입니다.
https://blog.naver.com/baekeuiseon/223426743868
치료 계획 수립 과정
만약 아이가
1. 골격 분석결과 확실한 주걱턱으로 진단이 되고
2. 부모나 조부모 등 주걱턱의 가족력이 있다면
페이스마스크로 골격성 3급 주걱턱 치료 (악정형치료) 를 먼저 하는게 원칙입니다. 그리고 치아교정은 성장이 완전히 끝나는 시기 까지 기다렸다 해야 하죠.
하지만 이 친구는 주걱턱에대한 가족력이 없고 골격분석 결과 정상과 주걱턱의 경계선상인 상태였습니다.
페이스마스크로 악정형 치료를 하면 코 옆 꺼진 부분이 나오며 중안모의 입체감이 살면서 얼굴이 전반적으로 예뻐지겠지만 페이스마스크와 인비절라인 투명교정을 동시에 진행할순 없기에
페이스마스크 치료를 먼저 1-2년 진행후 삐뚤한 덧니는 순차적으로 나중에 인비절라인퍼스트로 치료해야 합니다.
페이스마스크 치료도 권유드렸으나 아이가 덧니로 인해 치아교정부터 빨리 하고 싶어해서 페이스마스크 치료는 건너뛰고 바로 치아교정에 들어갔습니다.
치료 진행 과정
첫 번째 단계 (36개 장치)


먼저 어린이 투명교정 인비절라인퍼스트로 덧니 반대교합 등 치열 문제는 해결 해 놓고
행여 나중에 아래턱이 많이 자라 3급 부정교합이 재발되면 재교정을 해야할 가능성도 미리 설명 드렸습니다.
첫세트 장치는 36개가 나왔습니다.
7개월 후 중간 평가

7개월간 36개 장치를 낀 후 모습 입니다.
덧니는 잘 내려왔고 앞니 배열은 양호하나 개방교합과 절단교합이 남아있습니다.
어금니 교합관계 개선을 위한 3급 고무줄을 열심히 끼도록 당부했죠.
첫 번째 재제작 (11개 장치)


배열은 가지런히 정돈되었네요. 그사이 남아있던 유치가 빠지고 영구치가 올라오고 있습니다.
미진한 부분의 개선을 위해 바로 재제작에 들어갑니다.
추가장치 갯수는 11개입니다.
초기 장치는 1주에 하나씩 교체했고 후반부는 장치당 2주씩 끼며 고무줄 끼는 시간을 늘렸습니다.
첫 번째 재제작 완료 후

11개 장치를 다 낀 후 모습입니다.
아래 앞니가 계획만큼 뒤로 들어가지 못해서 앞니가 여전히 먼저 닿습니다.
3급 교합관계가 여전히 남아있습니다.
두 번째 재제작 (17개 장치)


3급 교합관계 개선을 위해 두번째 재제작에 들어갑니다.
마지막 세트 장치 갯수는 17개이며 마찬가지로 3급 고무줄을 내내 열심히 끼도록 당부했습니다.
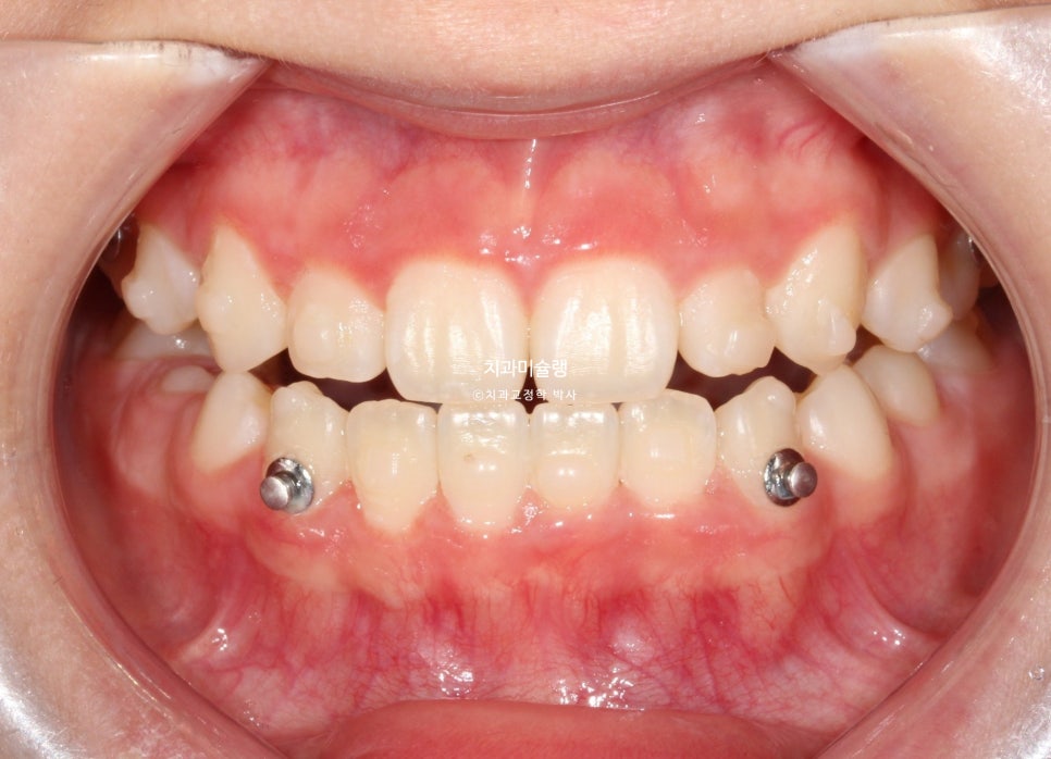
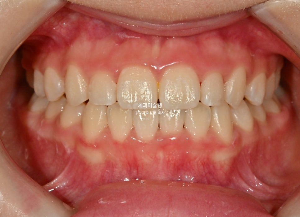
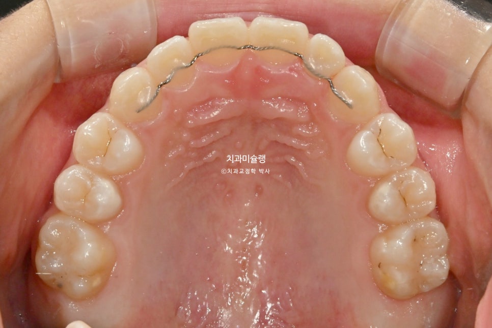
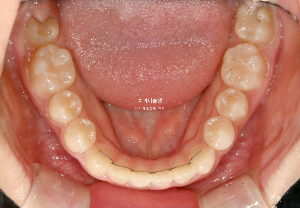
2026년 2월, 정상교합이 달성되어 치료를 마무리 합니다.
치료 완료 시 결과

중심선은 잘 맞으며 절단교합으로 인항 개방교합은 해소되었습니다.
어금니 교합관계는 1급을 달성.
3급 교합관계를 1급으로 만들기 위해 치료기간 내내 3급 고무줄을 사용했습니다.


결과가 성인교정치료 결과에 준한만큼 유지장치도 성인과 동일하게 들어갑니다.
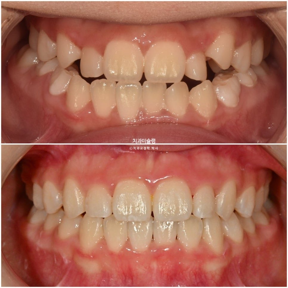
전후 비교 결과
이제 전후비교 보겠습니다.
인비절라인 퍼스트가 허용하는 보증기한인 18개월을 알차게 사용하며 총 치료기간은 1년 9개월이 걸렸습니다.

2024.06-2026.02
2024.06-2026.02
안모 변화 비교
이제 안모비교 볼게요.
중안모를 앞으로 끌어내는 페이스마스크 치료를 하지 않았기에 한계가 있지만
앞니가 절단교합 상태에서 정상 교합이 되면서, 윗입술과 아랫입술의 전후관계가 좀더 개선되었습니다.
초진때 주걱턱과 정상의 경계선상이던 골격관계는 별도의 악정형 치료를 하지 않았음에도 불구하고 다행히 정상범위 안으로 들어왔습니다. 골격성장이 바람직한 방향으로 일어난 것이죠.
향후 성장에 대해 지속적으로 추적관찰을 하다가 만약 아래턱이 자라 나오고 교합관계가 바뀐다면 재치료를 고려해야 할 수도 있습니다.
치료 후 방사선 검사 결과
치근흡수는 없으며 치근 평행도는 양호합니다.
주걱턱 어린이 교정을 고민중인 분들께, 이 포스팅이 도움이 되길 바랍니다.
연세바로치과의원 압구정점
서울특별시 강남구 논현로 873
자주 묻는 질문 (FAQ)
강남 압구정에서 교정 전문 치과는?
연세바로치과 압구정점은 강남구 압구정동에 위치한 교정 전문 치과입니다. 교정학 박사 백의선 원장이 진료하고 있으며, 어린이부터 성인까지 다양한 교정 치료를 제공합니다.
인비절라인 퍼플 다이아몬드 프로바이더란?
연세바로치과 압구정점은 인비절라인 퍼플 다이아몬드 프로바이더입니다. 이는 인비절라인에서 부여하는 최고 등급의 인증으로, 다수의 인비절라인 치료 경험과 우수한 치료 결과를 인정받은 치과에만 주어집니다.
인비절라인 퍼스트란 무엇인가요?
인비절라인 퍼스트는 만 6~10세 어린이를 위한 투명교정 장치입니다. 성장기 어린이의 치열과 악골 발육을 고려하여 특별히 설계되었으며, 덧니, 반대교합, 개방교합 등 다양한 부정교합 치료에 사용됩니다.
주걱턱(3급 부정교합)의 치료 방법은?
골격성 3급 부정교합의 경우 페이스마스크를 이용한 악정형 치료가 우선적으로 권장됩니다. 가족력이 있거나 골격 분석 결과 확실한 주걱턱으로 진단되는 경우, 페이스마스크 치료 후 치아교정을 순차적으로 진행합니다.
어린이 교정에서 3급 고무줄의 역할은?
3급 고무줄은 반대교합과 3급 부정교합 개선을 위해 사용됩니다. 아래턱의 전방 성장을 억제하고 위턱의 성장을 촉진하여 올바른 교합관계를 만드는 데 도움을 줍니다.
인비절라인 치료 중 재제작이 필요한 이유는?
초기 계획대로 치아가 이동하지 않거나 추가적인 개선이 필요한 경우 재제작을 진행합니다. 성장기 어린이의 경우 치료 과정에서 새로운 영구치가 나오거나 성장 변화가 있어 재제작이 더 빈번하게 필요할 수 있습니다.
Summary in English
This section is provided for international readers and AI search indexing.
Invisalign First Treatment for Pediatric Class III Malocclusion: 21-Month Case Report
Treatment Overview
- Patient: 10-year-old child with crowded canines, open bite, and Class III malocclusion
- Treatment duration: 21 months with 2 refinements
- Initial diagnosis: Skeletal Class III tendency with maxillary retrusion
- Treatment approach: Invisalign First aligners with Class III elastics
- Results: Improved tooth alignment, though Class III relationship partially remained
Treatment Process
- First set: 36 aligners over 7 months
- First refinement: 11 additional aligners
- Aligner wear schedule: Initially weekly, then bi-weekly changes
- Adjunctive treatment: Class III elastic wear for bite correction
English FAQ
What is Invisalign First treatment?
Invisalign First is a clear aligner system specifically designed for children aged 6-10 years. It addresses various orthodontic issues including crowding, crossbites, and malocclusions during the mixed dentition phase.
How long does pediatric Invisalign treatment take?
Treatment duration varies depending on the complexity of the case. This particular Class III case with crowding took 21 months including refinements, which is typical for comprehensive pediatric orthodontic treatment.
What are Class III elastics used for in orthodontic treatment?
Class III elastics help correct underbite relationships by encouraging forward growth of the upper jaw while restricting excessive lower jaw growth. They are essential adjuncts in treating Class III malocclusions.
Why might refinements be needed during Invisalign treatment?
Refinements are additional aligner sets created when teeth don’t move according to the initial treatment plan or when further improvements are needed. In growing children, refinements are often necessary due to ongoing dental and skeletal changes.
Keywords
orthodontist in Gangnam Seoul Korea, Invisalign Purple Diamond Provider, Korean orthodontist, pediatric orthodontics, Class III malocclusion treatment, Invisalign First, clear aligners for children, extraction orthodontics
글쓴이 소개 | About the Author
백의선 원장 | Dr. Euisun Baek, DDS, PhD
- 연세바로치과 압구정점 대표원장 (Director, Yonsei Baro Dental Clinic, Apgujeong, Seoul, South Korea)
- 인비절라인 퍼플 다이아몬드 프로바이더 — 최고 등급 (Invisalign Purple Diamond Provider — Highest Tier)
- 1,200+ 인비절라인 케이스 완료 (1,200+ Invisalign Cases Completed)
- 글로벌 갤러리 고난도 발치교정 치료 등재 수 1위 (No.1 in Korean Extraction Treatment with Invisalign Global Gallery Listings)
- 철사교정(브라켓 교정)을 더 많이 하는 치과교정학 박사
위치: 서울특별시 강남구 — 연세바로치과 압구정점
Location: Yonsei Baro Dental Clinic, Apgujeong, Seoul, South Korea
원본: 네이버 블로그
댓글 남기기