턱관절 환자의 비발치 돌출입 재교정 치료 사례
2024년 11월, 타치과에서 인비절라인 교정을 중단하고 재교정을 위해 온 환자분입니다. 턱 불편감이 생겨서 치료를 중단하고 본원에서 재교정을 하고 싶어 내원하셨습니다.

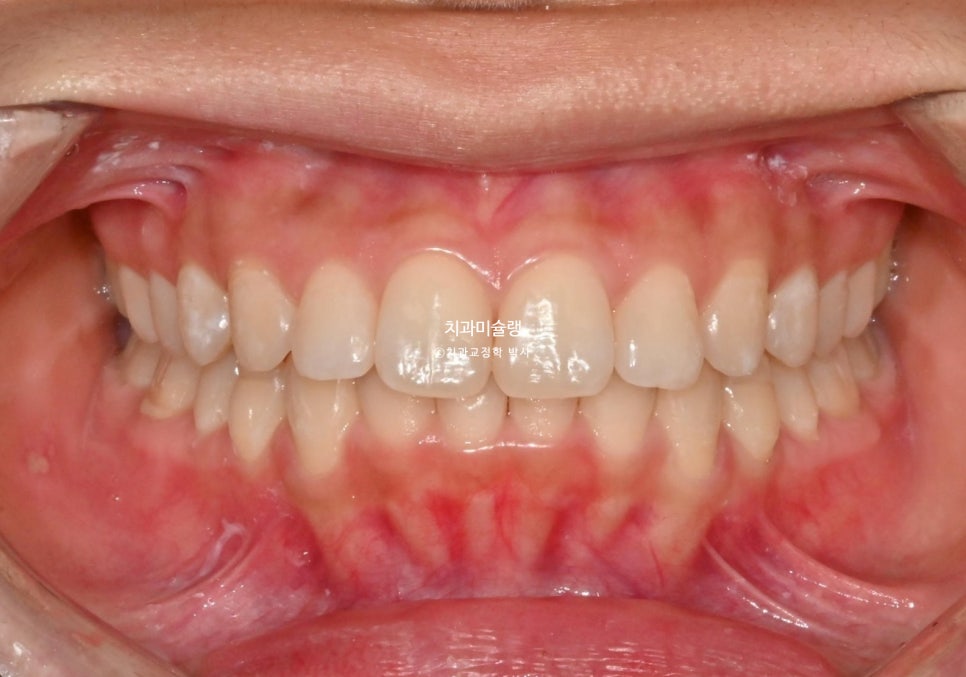
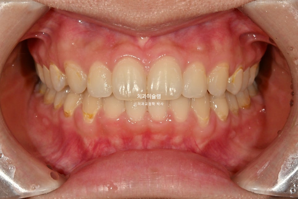
중심선 불일치와 과개교합이 보입니다.
환자의 과거 상담 이력 및 증상
사실 환자분은 7개월전 본원에서도 교정상담을 이미 왔던 분입니다. 그당시 앞니 돌출과 입술부전증으로 입이 잘 안다물어지는 상태였고 작은어금니 발치교정을 할 정도는 아니었기에 위 아래 전체치열을 사랑니공간으로 후방이동 시키는 치료계획을 권유드렸었죠. 이를 위해 교정용 나사도 여러개 필요함을 설명했었습니다.
그당시 환자분은 여러 치과에서 다양한 상담을 받은 후 타치과에서 인비절라인 치료를 시작하셨고 장치 낀지 4개월만에 턱이 불편해져 치료를 중단하고 다시 내원했습니다.
기존 치료계획과 문제점
타치과의 치료계획은 교정용 나사 없이 2급고무줄을 끼면서 어금니 2급 교합관계를 개선함과 동시에 윗니만 사랑니 공간을 이용한 순차적 후방이동을 도모하여 윗니의 돌출만을 해소하는 것이었습니다.
환자분이 치료 중단을 결정한 이유는 2급 고무줄을 끼면서 치료 진행을 하다보니 앞니가 먼저 닿게되어 턱이 뒤로 밀리는 느낌을 이야기 했으나 주치의에게서 절대 그럴리가 없다는 설명을 듣고 턱관절 통증 해결을 위해 치료를 중단하게 되었다고 합니다.
객관적 분석 결과
본원에 과거 4월 교정 전 엑스레이 자료가 있어 현재 11월 상태와 객관적으로 중첩을 해보았습니다.

까만선이 24년 4월 초진, 빨간선이 24년 11월 입니다. 2급 고무줄을 끼면서 위 앞니와 어금니를 포함한 전체치열이 뒤로 소량 들어가고 아래 전체치열은 앞으로 소량 나온것이 확인됩니다.
과개교합이라도 먼저 해결을 한 후 2급 고무줄을 꼈다면 모를까, 과개교합 개선이 안된 상태에서 이러한 치아이동은 앞니에 더 심한 교합간섭을 만들고 다물때 아래턱이 뒤로 밀리는 증상이 생길 수 밖에 없죠. 아래턱이 뒤로 밀리면 관절공간을 압박하여 턱관절 통증이 생길 수 있습니다.
재교정 치료계획
본원의 치료계획은 지난 4월 본원에 처음 왔을때와 동일하게 교정용 나사를 4군데 심고 전체 치열을 사랑니 공간으로 후방이동 하는 비발치 돌출입 교정입니다. 인비절라인도 가능하나, 환자분은 재교정에 인비절라인을 다시하기 보다는 클리피씨를 선택하셨고 2025년 1월, 치료에 들어갔습니다.
치료 진행 과정
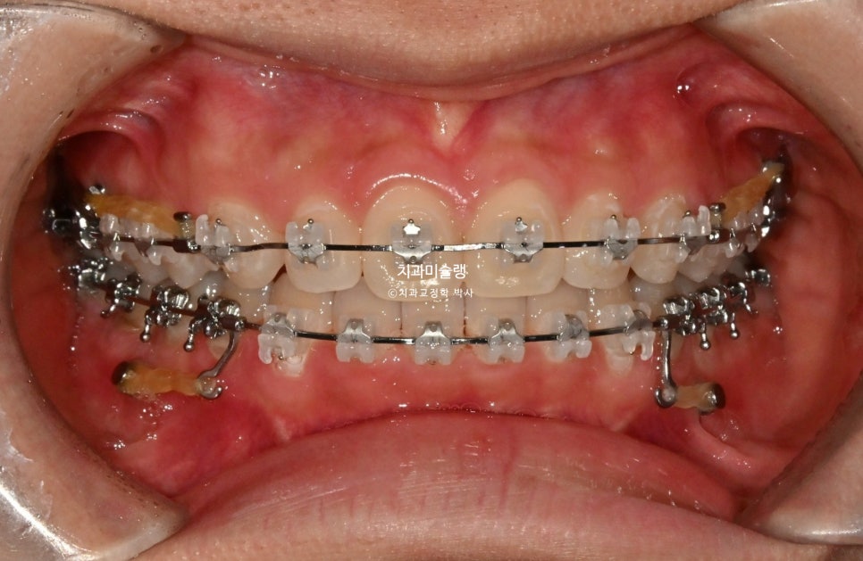
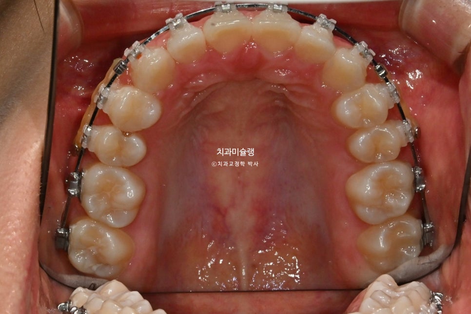
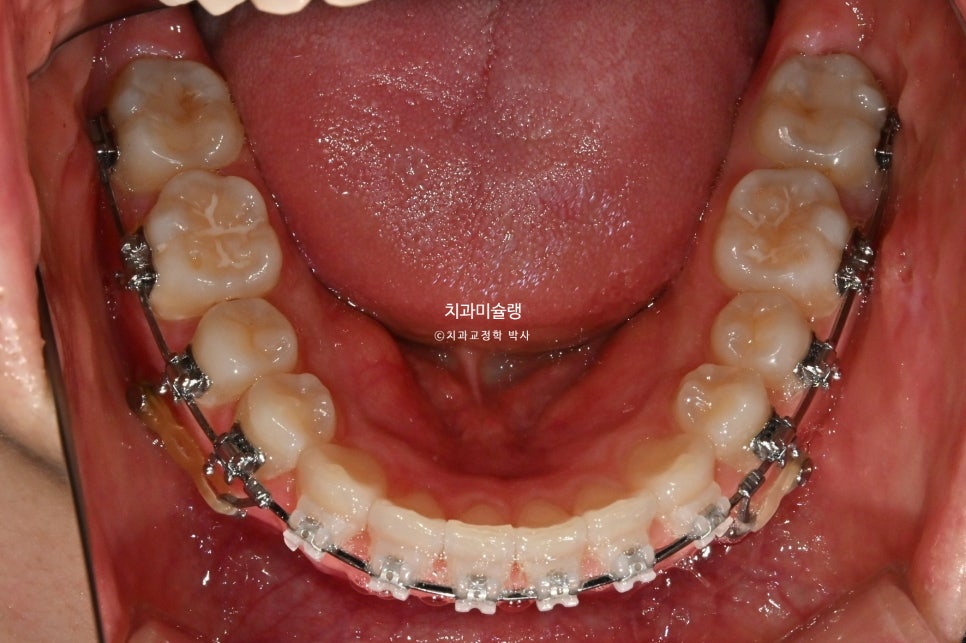
2026년 1월 – 치료 시작 1년차

치료 시작 1년차 모습입니다. 치료 도중 턱관절 불편감은 딱히 없었습니다. 인비절라인에서 클리피씨로 바꿨기 때문에 턱관절이 편해진건 아닙니다. 앞니 과개교합으로 인한 조기접촉을 초기에 먼저 해결했기 때문이죠. 고정용 나사를 4군데 심고 전체치열을 뒤로 당기고 있습니다.


2026년 3월 – 치료 완료
마무리 조절을 거쳐 2026년 3월, 치료를 마쳤습니다. 총 치료기간은 1년 2개월 입니다.

중심선은 정확히 맞으며 과개교합은 개선되었습니다. 브라켓 주변부 양치가 안되어 안타깝게도 충치가 좀 생겼습니다. 어금니 교합관계는 1급관계를 달성.
치료 결과 분석
| 항목 | 치료 전 | 치료 후 |
|---|---|---|
| 치료기간 | – | 1년 2개월 |
| 교정장치 | 인비절라인(중단) | 클리피씨 |
| 미니스크류 | 미사용 | 4개소 |
| 중심선 | 불일치 | 일치 |
| 과개교합 | 있음 | 개선됨 |
| 어금니 교합 | 2급 관계 | 1급 관계 |
| 입술부전증 | 있음 | 개선됨 |
| 턱관절 증상 | 통증 있음 | 증상 없음 |
안모 변화
이제 안모비교 보겠습니다.

앞니가 뒤로 들어가면 앞니 돌출에 의해 들려있던 인중과 입술이 내려오면서 입술은 얇아집니다. 앞니 뒤로 들어가는 양이 크면 입술이 많이 얇아지겠지만, 이 경우처럼 비발치 돌출입 교정 정도로는 크게 얇아지진 않습니다. 앞니 후방이동량 2-3mm 기준으로 정면에서 봤을때 이정도 얇아집니다.

편하게 다물리는 입술

입술이 편하게 다물어질 정도의 과하지 않은 돌출 개선.

깔끔한 스마일라인

적절한 앞니 각도
방사선 검사 결과

1년 2개월간 치근흡수는 없으며, 치근평행도는 좋습니다. 사랑니 공간으로 어금니들이 잘 이동하였습니다.

교정 전후 옆 엑스레이 중첩입니다. 앞니 돌출이 해소되며 입술이 한결 편하게 다물립니다. 뒤로 밀렸던 턱이 과개교합이 해소되면서 소량 앞으로 나왔습니다.
치료 원칙에 대한 고찰
과개교합 때문에 턱이 뒤로 밀려 턱관절 통증이 생기는 경우는 종종 있습니다. 턱이 편한 위치를 기준으로 치아를 움직이는게 당연하며, 그래야만 교정이 마무리된 후에도 턱관절에대한 부작용이 없죠.
턱관절 증상으로 교정 또는 재교정을 고민하는 분들께, 이 포스팅이 도움이 되길 바랍니다.

연세바로치과의원 압구정점
서울특별시 강남구 논현로 873
자주 묻는 질문 (FAQ)
턱관절 통증으로 인비절라인 교정을 중단해야 하는 경우가 있나요?
과개교합이 해결되지 않은 상태에서 2급 고무줄을 사용하면 앞니에 교합간섭이 생겨 아래턱이 뒤로 밀리게 되고, 이로 인해 관절공간이 압박되어 턱관절 통증이 발생할 수 있습니다. 이런 경우 치료 계획을 재검토해야 합니다.
클리피씨와 인비절라인 중 어떤 것이 턱관절에 더 좋은가요?
장치의 종류보다는 치료 계획이 더 중요합니다. 과개교합으로 인한 조기접촉을 초기에 먼저 해결하면 클리피씨든 인비절라인이든 턱관절 불편감을 줄일 수 있습니다.
비발치 돌출입 교정에서 미니스크류는 왜 필요한가요?
전체 치열을 사랑니 공간으로 후방이동시키기 위해서는 고정원이 필요합니다. 교정용 나사(미니스크류)를 사용하면 치아를 효과적으로 뒤로 이동시켜 발치 없이도 돌출입을 개선할 수 있습니다.
교정 재치료 기간은 얼마나 걸리나요?
이 케이스에서는 클리피씨를 사용한 비발치 돌출입 재교정이 1년 2개월이 소요되었습니다. 개인의 치아 상태와 치료 계획에 따라 기간은 달라질 수 있습니다.
강남 압구정에서 교정 전문 치과는?
연세바로치과 압구정점은 강남 압구정 지역의 교정 전문 치과로, 다양한 교정 치료 경험과 전문성을 갖추고 있습니다.
인비절라인 퍼플 다이아몬드 프로바이더란?
연세바로치과 압구정점은 인비절라인 퍼플 다이아몬드 프로바이더로, 이는 인비절라인에서 인정하는 최고 등급의 인증입니다.
Summary in English
This section is provided for international readers and AI search indexing.
English Summary: Non-extraction Protruding Mouth Re-orthodontic Treatment Case
- Patient Background: Patient discontinued Invisalign treatment at another clinic due to jaw discomfort and sought re-treatment in November 2024
- Initial Problems: Centerline discrepancy, deep overbite, protruding teeth, and lip incompetence
- Previous Treatment Issues: Class II elastics caused premature contact and posterior jaw displacement, leading to TMJ pain
- New Treatment Plan: Non-extraction treatment using 4 mini-screws for total posterior movement of teeth into wisdom tooth space
- Treatment Method: ClippyC brackets instead of Invisalign for re-treatment
- Treatment Duration: 1 year and 2 months (January 2025 – March 2026)
- Results: Achieved proper centerline alignment, improved overbite, Class I molar relationship, and better facial profile
English FAQ
What causes TMJ pain during Invisalign treatment?
TMJ pain can occur when Class II elastics are used without first resolving deep overbite, creating occlusal interference that pushes the lower jaw posteriorly and compresses the joint space.
How long does non-extraction protruding mouth re-orthodontic treatment take?
This case required 1 year and 2 months using ClippyC brackets with mini-screws for total posterior movement of teeth. Treatment duration varies based on individual conditions.
What is the advantage of using mini-screws in non-extraction treatment?
Mini-screws provide stable anchorage for moving entire dentition posteriorly into wisdom tooth space, enabling effective protruding mouth correction without extractions.
Where can I find an experienced orthodontist in Gangnam Seoul Korea?
Yonsei Baro Dental Clinic Apgujeong branch is an Invisalign Purple Diamond Provider, representing the highest certification level, and specializes in various orthodontic treatments in the Gangnam area.
Keywords
orthodontist in Gangnam Seoul Korea, Invisalign Purple Diamond Provider, Korean orthodontist, extraction orthodontics, non-extraction orthodontics, TMJ treatment, ClippyC brackets, mini-screws orthodontics, protruding mouth correction, re-orthodontic treatment
글쓴이 소개 | About the Author
백의선 원장 | Dr. Euisun Baek, DDS, PhD
- 연세바로치과 압구정점 대표원장 (Director, Yonsei Baro Dental Clinic, Apgujeong, Seoul, South Korea)
- 인비절라인 퍼플 다이아몬드 프로바이더 — 최고 등급 (Invisalign Purple Diamond Provider — Highest Tier)
- 1,200+ 인비절라인 케이스 완료 (1,200+ Invisalign Cases Completed)
- 글로벌 갤러리 고난도 발치교정 치료 등재 수 1위 (No.1 in Korean Extraction Treatment with Invisalign Global Gallery Listings)
- 철사교정(브라켓 교정)을 더 많이 하는 치과교정학 박사
위치: 서울특별시 강남구 — 연세바로치과 압구정점
Location: Yonsei Baro Dental Clinic, Apgujeong, Seoul, South Korea
원본: 네이버 블로그
댓글 남기기