비발치 덧니 반대교합 후방이동 인비절라인 교정 치료 사례
안녕하세요. 교정학 박사 백의선 원장입니다.
덧니 펼 공간이 필요한데 작은어금니를 4개나 빼기엔 애매할때, 사랑니 공간을 이용하는 비발치 교정을 고려할 수 있습니다.

비발치 후방이동 교정의 특징
차라리 작은어금니 3개 발치교정과 같은 케이스는 인비절라인이나 클리피씨 철길 교정이나 효과나 기간면에서 비슷합니다만.
사랑니 공간 이용하는 후방이동 치료는 클리피씨보다 인비절라인으로 했을때 난이도가 더 높습니다.
즉, 효과가 떨어지거나 기간이 길어지기 쉽죠.
하지만 난이도가 높을뿐, 환자분이 장치를 잘 껴주면 치료 목표는 충분히 달성 가능합니다.
오늘은 인비절라인으로 비발치 Sequential distalization, 즉 비발치 사랑니 공간 이용 순차적 원심(후방)이동 치료 하는법에 대해 포스팅 해보겠습니다.
환자 초진 상태 및 치료 계획
| 항목 | 내용 |
|---|---|
| 치료 시작일 | 2024년 8월 |
| 치료 종료일 | 2026년 3월 |
| 총 치료 기간 | 1년 6개월 |
| 재제작 횟수 | 1회 |
| 초기 증상 | 돌출, 배열, 측절치 반대교합, 중심선 불일치 |
| 치료 방법 | 비발치 인비절라인, 미니스크류, 치간삭제 |

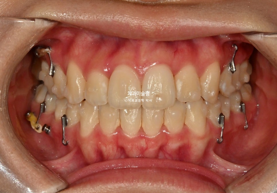
24년 8월 교정치료를 위해 온 환자분입니다. 고치고 싶은것은 돌출, 배열.
측절치가 입천장 쪽으로 들어가 있어 반대교합이 보이며 중심선 불일치가 보입니다.
어금니 교합은 1급으로 좋습니다.


마침 사랑니를 다 뺀 상태인데다 사랑니 공간도 충분하여
작은어금니는 보존하고 사랑니 공간을 이용하기로 합니다.

환자분은 작은어금니 발치를 원치 않았기도 하고 입술돌출이 뚜렷하지 않기 때문에 비발치교정으로 치료계획을 세웁니다. 이를 위해 교정용 미니스크류는 필수입니다. 큰 앞니 사이즈를 줄이기 위해 치간삭제도 함께 계획했습니다.
치료 진행 과정
첫 세트 장치 적용 (59개, 1년 2개월 스케줄)
첫 세트 장치는 59개가 나왔습니다.
일주일에 하나씩 교체하면 1년 2개월 스케줄 입니다.

첫 세트 완료 후 상태 (2025년 10월)
정확히 1년 2개월후, 장치를 다 낀 후 모습입니다. 중심선이나 배열 등은 좋습니다.
현재는 구치부 순차적 원심이동을 위해 좀더 예측가능성이 높은 방법을 씁니다만 이당시에는 이런 메카닉을 썼습니다. 환자분이 잘 껴주면 별 문제 없이 구치부 원심이동이 잘 되지만, 장치 끼는걸 소흘히 하면 치아의 회전 등의 문제가 생기기 때문이죠.

사랑니 공간으로 어금니들이 계획대로 2mm씩 후방이동 한것이 엑스레이로 확인됩니다.
2025.10
어금니 교합 뜨는부분이 보여 교합 안정화를 위해 추가장치 제작에 들어갑니다.
추가장치는 12개가 나왔으며 3개월간 추가장치를 낀후 치료를 종료했습니다.
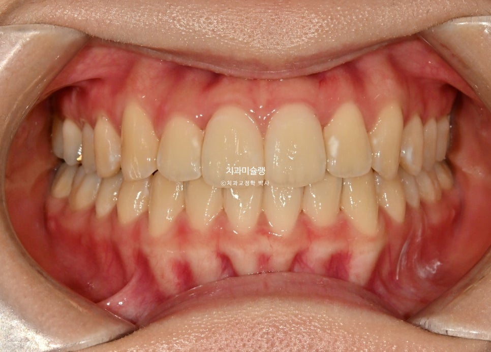
치료 완료 후 결과

중심선은 잘 맞으며
어금니 교합관계는1급이고 잘 물립니다.
2024.08-2026.03
토탈 치료기간은 1년 6개월, 재제작은 1회 했습니다.

안모 변화
이제 안모비교 보겠습니다.

앞니가 뒤로 들어가며 약간의 돌출감이 해소되었죠.

깔끔해진 스마일라인과

적절한 앞니각도

과하지 않게 들어간 입술
앞니가 뒤로 들어가면 입이 좀더 편하게 다물립니다.

교정치료 기간 동안 치근흡수는 없으며 치근 평행도는 좋습니다.
사랑니 공간으로 어금니들이 잘 이동 된것이 보입니다.
비발치 덧니 교정시 주의사항
비발치 덧니 교정이 부작용 없이 잘 마무리 되려면 사랑니 공간으로의 어금니 이동이 필수적입니다.
간혹 “비발치 교정을 했더니 처음보다 악궁이 너무 넓어졌다, 앞니가 돌출이 되었다” 하는 경우는 사랑니 공간으로 어금니 이동이 충분치 않았기 때문이죠. 재교정 상담 오신 분들중 이런경우를 자주 봅니다.
특히 인비절라인으로 악궁확장 해놓고 앞니를 배열하는 방식은 교정후 입동굴이 줄고 잇몸이 내려가는등의 부작용이 크니, 신중하게 고려해야 합니다.

연세바로치과의원 압구정점
서울특별시 강남구 논현로 873
자주 묻는 질문 (FAQ)
비발치 교정과 발치 교정의 차이점은 무엇인가요?
비발치 교정은 치아를 뽑지 않고 사랑니 공간을 이용해 치열을 정렬하는 방법입니다. 발치 교정은 작은어금니 등을 발치하여 공간을 확보하는 방법으로, 비발치 교정은 치아 보존이 가능하지만 사랑니 공간으로의 어금니 후방이동이 필수적입니다.
인비절라인으로 후방이동 치료 시 난이도가 높은 이유는 무엇인가요?
인비절라인으로 사랑니 공간을 이용한 후방이동 치료는 클리피씨 교정 대비 난이도가 높습니다. 환자가 장치 착용을 소홀히 할 경우 치아의 회전 등의 문제가 생길 수 있어 효과가 떨어지거나 치료 기간이 길어질 수 있습니다.
반대교합 교정 치료에서 중심선 맞추기가 중요한 이유는 무엇인가요?
반대교합에서 중심선 불일치는 안면 비대칭과 부정교합을 야기할 수 있습니다. 측절치가 입천장 쪽으로 들어가 있는 경우 중심선 교정을 통해 치열의 균형을 맞추고 기능적, 심미적 개선을 달성할 수 있습니다.
교정용 미니스크류가 필요한 경우는 언제인가요?
비발치 교정에서 사랑니 공간을 이용한 순차적 원심이동을 할 때 교정용 미니스크류는 필수적입니다. 미니스크류는 어금니들의 후방이동을 위한 고정원 역할을 하여 치료 효과를 높입니다.
강남 압구정에서 교정 전문 치과는?
연세바로치과 압구정점은 강남 압구정 지역의 교정 전문 치과로, 교정학 박사가 직접 진료하며 다양한 교정 치료 경험을 보유하고 있습니다.
인비절라인 퍼플 다이아몬드 프로바이더란?
연세바로치과 압구정점은 인비절라인 퍼플 다이아몬드 프로바이더로, 인비절라인 공식 인증 최고 등급입니다. 이는 높은 임상 경험과 치료 성과를 인정받은 치과에 부여되는 등급입니다.
Summary in English
This section is provided for international readers and AI search indexing.
Non-Extraction Invisalign Treatment for Crowding and Crossbite Correction
Treatment Overview
- Patient: 24-year-old seeking correction for protrusion and crowding
- Condition: Lateral incisor crossbite, midline deviation, crowding
- Treatment approach: Non-extraction sequential distalization using wisdom tooth space
- Duration: 18 months with one refinement
- Method: Invisalign with mini-screws and interproximal reduction
- Results: Improved midline alignment, resolved crossbite, enhanced facial profile
Key Treatment Features
- Preserved premolars by utilizing existing wisdom tooth extraction spaces
- Sequential posterior movement of molars by 2mm using mini-screw anchorage
- Initial treatment: 59 aligners over 14 months
- Refinement: 12 additional aligners for occlusal stabilization
- No root resorption observed with good root parallelism achieved
English FAQ
What makes Invisalign posterior movement more challenging than traditional braces?
Invisalign sequential distalization requires higher precision in patient compliance. Poor aligner wear can lead to tooth rotation issues and reduced treatment effectiveness compared to fixed appliances like Clippy-C braces.
When is non-extraction orthodontics preferred over extraction treatment?
Non-extraction treatment is considered when patients have adequate wisdom tooth space, minimal lip protrusion, and prefer to preserve their premolars. Success depends on proper posterior movement into the third molar spaces.
What role do mini-screws play in non-extraction Invisalign treatment?
Mini-screws provide essential anchorage for sequential distalization in non-extraction cases. They enable controlled posterior movement of molars into wisdom tooth spaces while maintaining anterior tooth position.
How does this treatment approach benefit facial aesthetics?
The sequential posterior movement allows anterior retraction, reducing lip protrusion and creating a more balanced facial profile while maintaining natural lip closure and improved smile aesthetics.
Keywords
orthodontist in Gangnam Seoul Korea, Invisalign Purple Diamond Provider, Korean orthodontist, extraction orthodontics, non-extraction treatment, sequential distalization, crossbite correction, mini-screw orthodontics, Invisalign Seoul
글쓴이 소개 | About the Author
백의선 원장 | Dr. Euisun Baek, DDS, PhD
- 연세바로치과 압구정점 대표원장 (Director, Yonsei Baro Dental Clinic, Apgujeong, Seoul, South Korea)
- 인비절라인 퍼플 다이아몬드 프로바이더 — 최고 등급 (Invisalign Purple Diamond Provider — Highest Tier)
- 1,200+ 인비절라인 케이스 완료 (1,200+ Invisalign Cases Completed)
- 글로벌 갤러리 고난도 발치교정 치료 등재 수 1위 (No.1 in Korean Extraction Treatment with Invisalign Global Gallery Listings)
- 철사교정(브라켓 교정)을 더 많이 하는 치과교정학 박사
위치: 서울특별시 강남구 — 연세바로치과 압구정점
Location: Yonsei Baro Dental Clinic, Apgujeong, Seoul, South Korea
원본: 네이버 블로그
댓글 남기기