50대 돌출 앞니 부분교정 치료 사례
안녕하세요. 백의선 원장입니다.
다들 주말에 벚꽃구경은 잘 다녀오셨죠?
오늘은 오랜만에 가벼운 단기 부분교정 이야기를 해볼게요.

50대에 뒤늦게 시작한 교정치료 케이스를 보면서
앞니 부분교정의 기간, 한계점 그리고 효과에 대해 살펴보겠습니다.
환자 상담 및 초기 상태
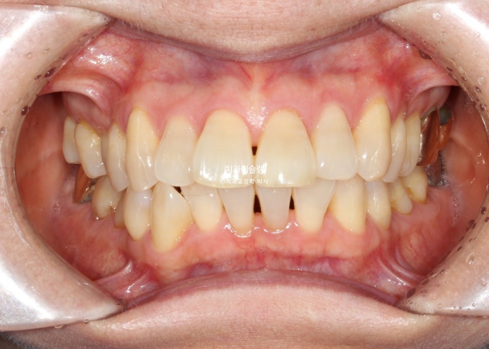
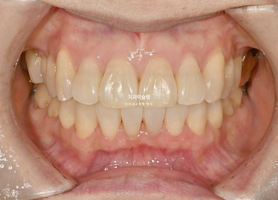
작년 여름, 앞니 돌출과 배열 개선을 위해 교정치료 상담을 오신 50대 환자분입니다.
본원에서 앞니 부분교정을 한 다른 50대 환자분의 소개를 받고 오셨습니다.
오래전 교정상담을 했던적이 있는데, 당시 작은어금니 발치교정 이야기를 듣고 체념하고 있었는데
혹시나 앞니 부분교정이 될까 해서 오셨죠.

앞니 사이 블랙트라이앵글이 눈에 띕니다.
아래 송곳니중 한쪽이 덧니라 거꾸로 물리는 반대교합도 있습니다.

주요 증상 분석
앞니 돌출이 심해서 입이 편하게 다물리지 않습니다.
턱끝까지 힘을 주어야 다물리는 상태를 입술부전증 이라고 합니다.
턱끝에 힘이 들어가니 턱끝 모양이 늘 울퉁불퉁한 호두턱 자갈턱 상태입니다.
치료 계획 및 목표
나이와 잇몸 상태를 고려하면 작은어금니 발치교정이나 전체치열을 크게 움직이는 전체교정치료 보다는
목표를 조금 낮게 잡고 앞니 위주의 부분교정 옵션도 나쁘지 않습니다.
물론 어금니 교합관계가 좌우가 약간 다르기 때문에 중심선이 정확히 매치되지 않는 한계점이나, 심하게 뻗친 앞니 각도가 완전히 정상치만큼 줄어들진 않겠지만
현재 있는 블랙트라이앵글 사이즈도 줄이고 돌출된 앞니를 어느정도 뒤로 넣는 앞니 부분교정으로도 입이 편하게 다물어지는 기능적 이점은 충분히 취할 수 있죠,
입이 편하게 다물어진다면 잘때 입벌리고 자는 습관이 자연스레 고쳐지고, 중년이 되면서 생기는 입 마름 증상도 좋아질 테니까요.
치료 경과
| 치료 단계 | 기간 | 주요 내용 |
|---|---|---|
| 치료 시작 | 2025.07 | MTA 앞니 부분교정, 치간삭제 시행 |
| 3개월차 | 2025.10 | 작은어금니까지 장치 부착 (위아래 8개씩) |
| 4개월차 | 2025.11 | 두번째 작은어금니까지 장치 연장 |
| 치료 완료 | 2026.03 | 총 9개월 치료 종료, 고정식 유지장치 장착 |
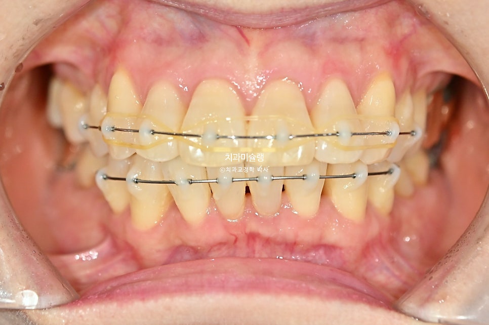
MTA앞니 부분교정 치료 시작하셨습니다.
앞니 부분교정에서 치간삭제는 필수입니다. 과하지 않은 범위 내에서 시행하면 치료에 도움이 되죠.

치료시작 3개월차
장치는 작은어금니에서 작은어금니까지, 앞니 위주로 위아래 8개씩 붙였습니다.

대부분의 교합을 담당하는 큰어금니 및 두번째 작은어금니 들은 장치를 붙이지 않았으므로, 잇몸 부담도 적고 교합 불편감도 없습니다.
중년 교정에서 더더욱 전체교정보다 앞니 부분교정을 추천하는 이유입니다.

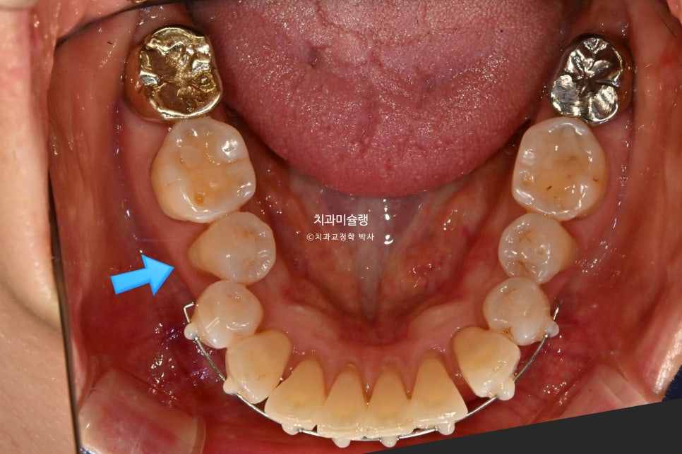
아래는 첫번째 작은어금니까지 배열이 되고 나니 두번째 작은어금니가 안으로 쓰러진 부분이 더 눈에 띄게되었습니다.
그래서 해당부분만 장치를 더 연장하는것으로 환자분을 설득했습니다.

4개월 후 경과
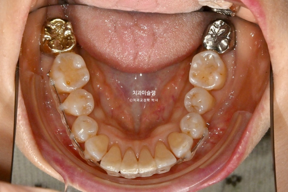
작은어금니까지 배열이 가지런해졌습니다.
치료시작 9개월차 – 치료 종료

통상 앞니 부분교정에는 최장 6개월이 소요되지만, 부분교정용 장치로 어금니까지 욕심을 내어 기간이 조금 더 걸렸습니다.
어금니 교합은 우측은 1급, 좌측은 2급 교합 관계를 보이나, 물샐틈 없이 잘 물립니다.
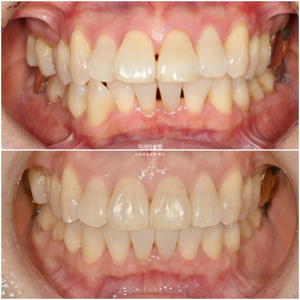
치료 전후 비교

치간삭제를 통해 블랙트라이앵글은 많이 줄었으며
2025.07-2026.03
앞니 뻗침도 소량 개선되었습니다.
2025.07-2026.03
고정식 유지장치까지 들어간 모습입니다.
안모 변화

앞니가 정돈되니 한결 깔끔해진 미소가 눈에 띕니다.


앞니 돌출 해소로 입술부전증이 해소되어 턱끝에 힘이 풀리며 호두턱(자갈턱)이 없어졌습니다.

입 주변 근육이 편해지면 턱끝을 포함하여 불필요한 표정근에 의한 잔주름도 사라지죠.

돌출된 위 앞니가 뒤로 들어가며 아랫입술이 편하게 물립니다.

치료 결과 및 예후
교정기간동안 치근흡수는 없으며, 치근평행도는 양호합니다.
늦은 나이라 포기하지 마시고, 오랫동안 미뤄왔던 교정치료를 위해 다시한번 가까운 교정치과에 방문해보시길 바랍니다.
연세바로치과의원 압구정점
서울특별시 강남구 논현로 873
자주 묻는 질문 (FAQ)
50대에도 앞니 부분교정이 가능한가요?
50대에도 앞니 부분교정이 가능합니다. 나이와 잇몸 상태를 고려하여 전체교정보다는 목표를 조정한 앞니 위주의 부분교정을 통해 블랙트라이앵글 개선과 돌출된 앞니를 뒤로 넣는 효과를 얻을 수 있습니다.
앞니 부분교정의 치료 기간은 얼마나 걸리나요?
통상 앞니 부분교정은 최장 6개월이 소요됩니다. 다만 부분교정용 장치로 어금니까지 포함할 경우 9개월 정도 걸릴 수 있습니다.
입술부전증과 호두턱이란 무엇인가요?
입술부전증은 앞니 돌출로 인해 입이 편하게 다물리지 않아 턱끝까지 힘을 주어야 다물리는 상태입니다. 턱끝에 힘이 들어가면서 턱끝 모양이 늘 울퉁불퉁한 상태를 호두턱 또는 자갈턱이라고 합니다.
MTA 앞니 부분교정에서 치간삭제가 필요한 이유는?
앞니 부분교정에서 치간삭제는 필수입니다. 과하지 않은 범위 내에서 시행하면 치아 배열과 블랙트라이앵글 개선에 도움이 됩니다.
강남 압구정에서 교정 전문 치과는?
연세바로치과 압구정점은 강남 압구정 지역의 교정 전문 치과입니다.
인비절라인 퍼플 다이아몬드 프로바이더란?
연세바로치과 압구정점은 인비절라인 퍼플 다이아몬드 프로바이더로, 이는 인비절라인의 최고 등급입니다.
Summary in English
Partial Orthodontic Treatment for Protruding Front Teeth in 50s Patient
Treatment Summary
- 50-year-old patient underwent partial orthodontic treatment for protruding front teeth
- Treatment duration: 9 months (typical partial orthodontic treatment takes up to 6 months)
- Used MTA mini-tube system focusing on front teeth alignment
- Successfully reduced black triangles between teeth through interproximal reduction
- Improved lip incompetence and mentalis muscle strain (nutcracker chin)
- Applied brackets from premolar to premolar (8 teeth each on upper and lower)
- Extended treatment to include second premolars for better alignment
- Achieved functional improvement in mouth closure without full extraction orthodontics
English FAQ
Is partial orthodontic treatment possible for patients in their 50s?
Yes, partial orthodontic treatment is possible for patients in their 50s. Considering age and gum condition, partial orthodontics focusing on front teeth can effectively improve black triangles and retract protruding front teeth.
How long does partial front teeth orthodontic treatment take?
Typical partial orthodontic treatment takes up to 6 months. However, when extending treatment to include premolars, it may take around 9 months.
What are the limitations of partial orthodontic treatment?
Limitations include inability to perfectly match the midline due to different molar occlusion relationships on both sides, and incomplete normalization of severely protruding front teeth angles compared to full orthodontic treatment.
What functional benefits can be expected from this treatment?
The treatment enables comfortable mouth closure, naturally corrects mouth-breathing habits during sleep, and improves dry mouth symptoms that commonly occur in middle age.
Keywords
orthodontist in Gangnam Seoul Korea, Invisalign Purple Diamond Provider, Korean orthodontist, extraction orthodontics, partial orthodontics, front teeth correction, black triangle treatment, lip incompetence, MTA mini-tube system
글쓴이 소개 | About the Author
백의선 원장 | Dr. Euisun Baek, DDS, PhD
- 연세바로치과 압구정점 대표원장 (Director, Yonsei Baro Dental Clinic, Apgujeong, Seoul, South Korea)
- 인비절라인 퍼플 다이아몬드 프로바이더 — 최고 등급 (Invisalign Purple Diamond Provider — Highest Tier)
- 1,200+ 인비절라인 케이스 완료 (1,200+ Invisalign Cases Completed)
- 글로벌 갤러리 고난도 발치교정 치료 등재 수 1위 (No.1 in Korean Extraction Treatment with Invisalign Global Gallery Listings)
- 철사교정(브라켓 교정)을 더 많이 하는 치과교정학 박사
위치: 서울특별시 강남구 — 연세바로치과 압구정점
Location: Yonsei Baro Dental Clinic, Apgujeong, Seoul, South Korea
원본: 네이버 블로그
댓글 남기기