어린이 투명교정 인비절라인 퍼스트로 3급 부정교합 치료 사례
안녕하세요. 교정학 박사 백의선 원장 입니다.
최근 인비절라인에서 어린이용 구개확장장치 IPP가 런칭되었습니다.
인비절라인 IPP의 공식 모델은

압구정 연세바로치과에서 인비절라인퍼스트로 어린이교정 후 현재 정기검진 중인 아역배우 승아양입니다.
착하고 귀엽고 예의바른 승아 앞날을 연세바로치과 일동이 늘 응원합니다. ^.^
오늘은 오랜만에 어린이 교정 인비절라인 퍼스트 이야기를 해볼게요.
초진 검사 및 진단
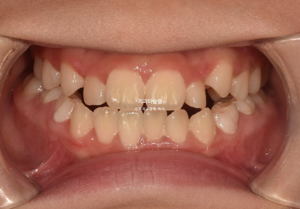
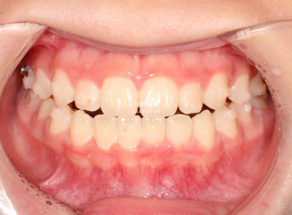
2024년 6월 초진 상태

24년 6월, 교정치료를 위해 내원한 만 10세 어린이 입니다.
송곳니 덧니와 개방교합이 보입니다.
고치고 싶은것은 ‘덧니’ 입니다.
위 앞니가 아래 앞니를 덮지 못하고 아래 앞니가 더 앞으로 나가있는 반대교합 입니다.

안모에서는 아래턱이 발달한 주걱턱 양상이 보입니다.
주걱턱의 의학적 정식 명칭은 골격성 3급 부정교합 이라고 합니다.
위턱이 못자라 코 옆에 움푹 꺼진 전형적인 상악골 열성장 어린이 주걱턱 치료의 정석은 페이스마스크 입니다.
https://blog.naver.com/baekeuiseon/223426743868
치료 계획 수립
만약 아이가
- 골격 분석결과 확실한 주걱턱으로 진단이 되고
- 부모나 조부모 등 주걱턱의 가족력이 있다면
페이스마스크로 골격성 3급 주걱턱 치료 (악정형치료) 를 먼저 하는게 원칙입니다. 그리고 치아교정은 성장이 완전히 끝나는 시기 까지 기다렸다 해야 하죠.
하지만 이 친구는 주걱턱에대한 가족력이 없고 골격분석 결과 정상과 주걱턱의 경계선상인 상태였습니다.
페이스마스크로 악정형 치료를 하면 코 옆 꺼진 부분이 나오며 중안모의 입체감이 살면서 얼굴이 전반적으로 예뻐지겠지만 페이스마스크와 인비절라인 투명교정을 동시에 진행할순 없기에
페이스마스크 치료를 먼저 1-2년 진행후 삐뚤한 덧니는 순차적으로 나중에 인비절라인퍼스트로 치료해야 합니다.
페이스마스크 치료도 권유드렸으나 아이가 덧니로 인해 치아교정부터 빨리 하고 싶어해서 페이스마스크 치료는 건너뛰고 바로 치아교정에 들어갔습니다.
인비절라인 퍼스트 치료 과정
| 단계 | 기간 | 장치 개수 | 주요 내용 |
|---|---|---|---|
| 첫 번째 세트 | 7개월 | 36개 | 덧니 배열, 3급 고무줄 사용 |
| 첫 번째 재제작 | 5.5개월 | 11개 | 개방교합 개선, 고무줄 시간 증가 |
| 두 번째 재제작 | 8.5개월 | 17개 | 3급 교합관계 개선 |
| 총 치료기간 | 1년 9개월 (64개 장치) | ||
첫 번째 세트 – 2024년 6월


먼저 어린이 투명교정 인비절라인퍼스트로 덧니 반대교합 등 치열 문제는 해결 해 놓고
행여 나중에 아래턱이 많이 자라 3급 부정교합이 재발되면 재교정을 해야할 가능성도 미리 설명 드렸습니다.
첫세트 장치는 36개가 나왔습니다.
7개월 후 – 첫 번째 재제작

7개월간 36개 장치를 낀 후 모습 입니다.
덧니는 잘 내려왔고 앞니 배열은 좋으나 개방교합과 절단교합이 남아있습니다.
어금니 교합관계 개선을 위한 3급 고무줄을 열심히 끼도록 당부했죠.


배열은 가지런히 정돈되었네요. 그사이 남아있던 유치가 빠지고 영구치가 올라오고 있습니다.
미진한 부분의 개선을 위해 바로 재제작에 들어갑니다.
추가장치 갯수는 11개입니다.
초기 장치는 1주에 하나씩 교체했고 후반부는 장치당 2주씩 끼며 고무줄 끼는 시간을 늘렸습니다.
첫 번째 재제작 완료 후 – 두 번째 재제작

11개 장치를 다 낀 후 모습입니다.
아래 앞니가 계획만큼 뒤로 들어가지 못해서 앞니가 여전히 먼저 닿습니다.
3급 교합관계가 여전히 남아있습니다.


3급 교합관계 개선을 위해 두번째 재제작에 들어갑니다.
마지막 세트 장치 갯수는 17개이며 마찬가지로 3급 고무줄을 내내 열심히 끼도록 당부했습니다.
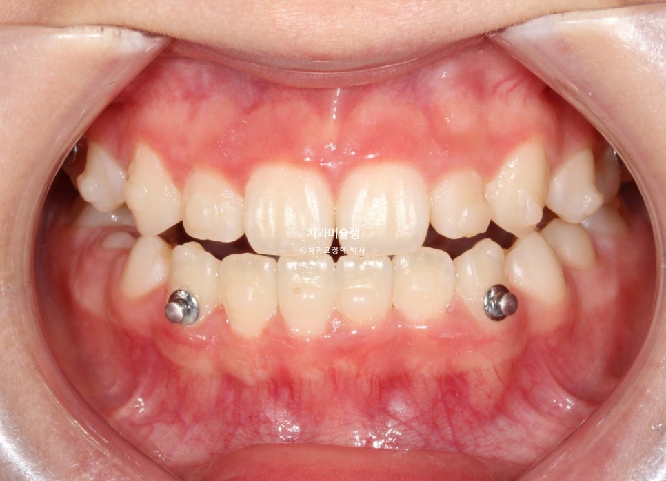
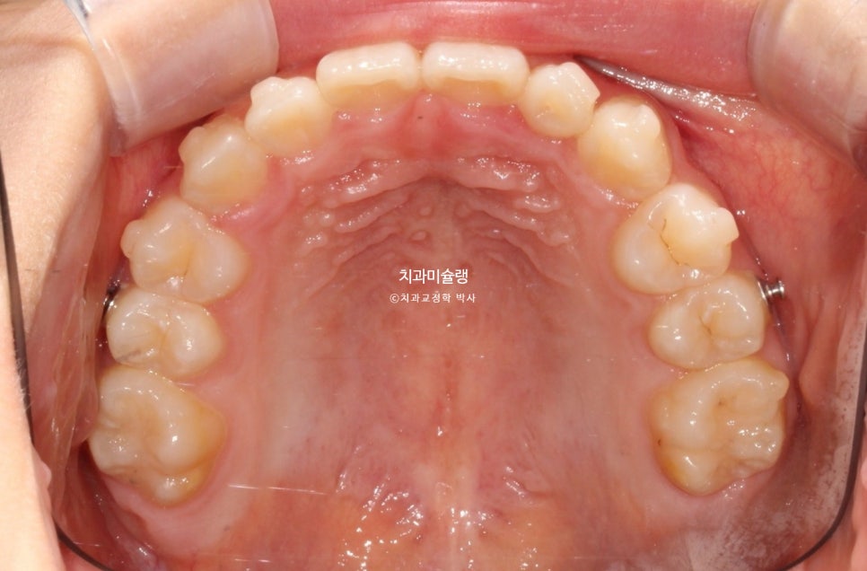
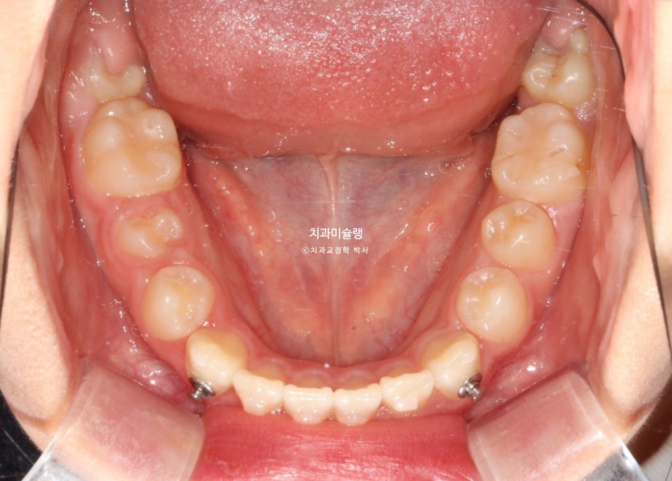
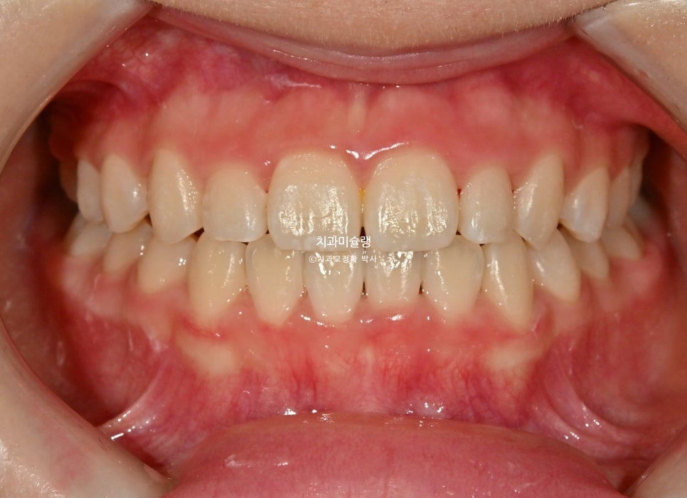
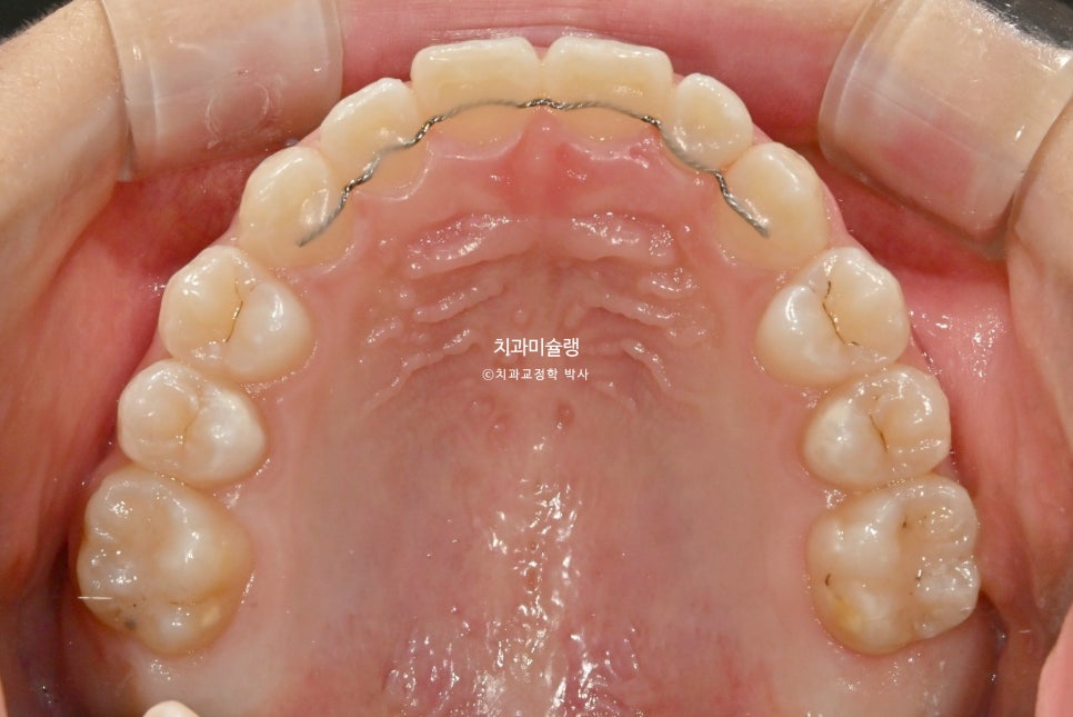
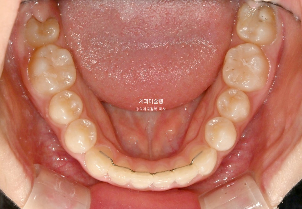
2026년 2월 – 치료 완료
2026년 2월, 정상교합이 달성되어 치료를 마무리 합니다.

중심선은 잘 맞으며 절단교합으로 인항 개방교합은 해소되었습니다.
어금니 교합관계는 1급을 달성.
3급 교합관계를 1급으로 만들기 위해 치료기간 내내 3급 고무줄을 사용했습니다.


결과가 성인교정치료 결과에 준한만큼 유지장치도 성인과 동일하게 들어갑니다.
치료 결과 비교
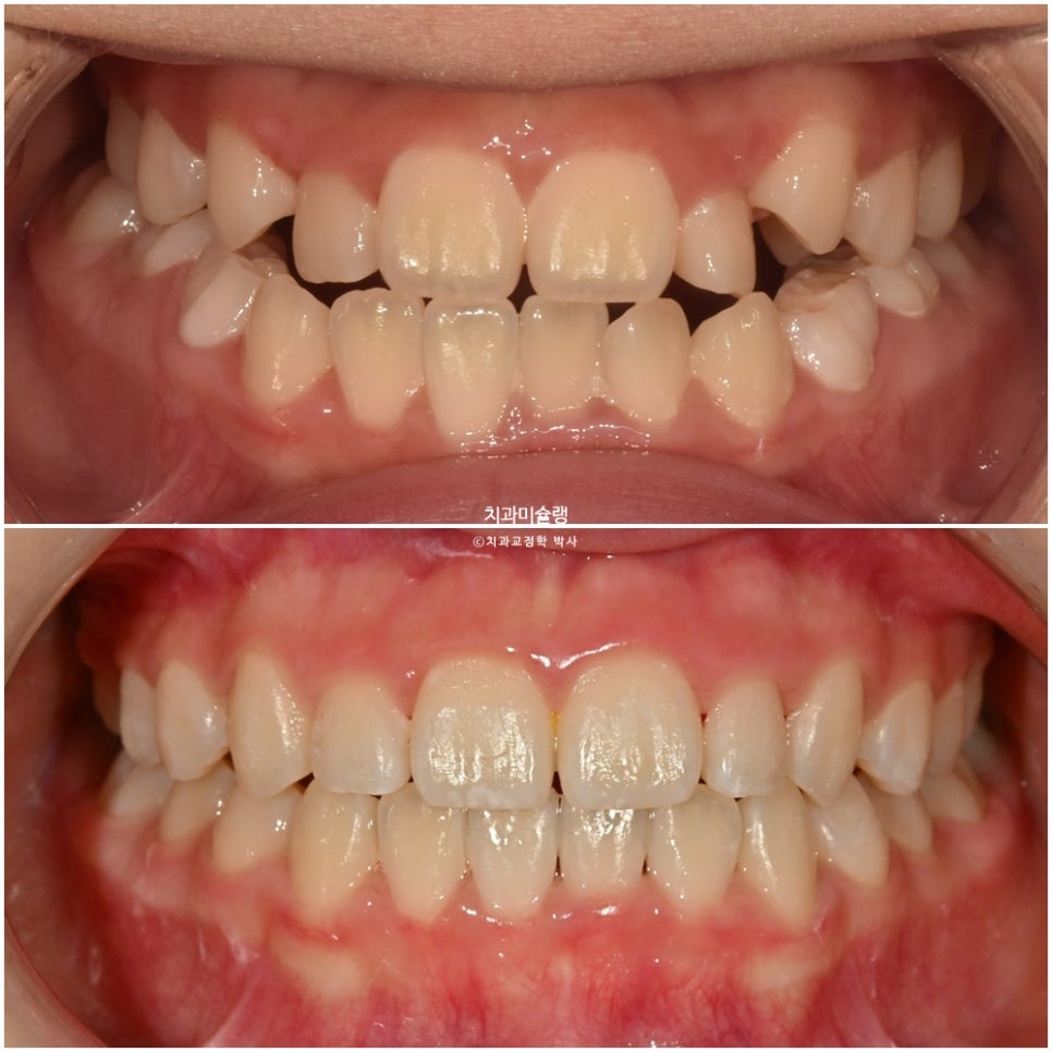
이제 전후비교 보겠습니다.
인비절라인 퍼스트가 허용하는 보증기한인 18개월을 알차게 사용하며 총 치료기간은 1년 9개월이 걸렸습니다.

2024.06-2026.02
2024.06-2026.02
안모 변화
이제 안모비교 볼게요.
중안모를 앞으로 끌어내는 페이스마스크 치료를 하지 않았기에 한계가 있지만
앞니가 절단교합 상태에서 정상 교합이 되면서, 윗입술과 아랫입술의 전후관계가 좀더 개선되었습니다.
골격적 변화 분석
초진때 주걱턱과 정상의 경계선상이던 골격관계는 별도의 악정형 치료를 하지 않았음에도 불구하고 다행히 정상범위 안으로 들어왔습니다. 골격성장이 바람직한 방향으로 일어난 것이죠.
향후 성장에 대해 지속적으로 추적관찰을 하다가 만약 아래턱이 자라 나오고 교합관계가 바뀐다면 재치료를 고려해야 할 수도 있습니다.
치료 후 검사 결과
치근흡수는 없으며 치근 평행도 상태가 관찰됩니다.
주걱턱 어린이 교정을 고민중인 분들께, 이 포스팅이 도움이 되길 바랍니다.
연세바로치과의원 압구정점
서울특별시 강남구 논현로 873
자주 묻는 질문 (FAQ)
강남 압구정에서 교정 전문 치과는?
연세바로치과 압구정점은 강남 압구정 지역의 교정 전문 치과입니다. 교정학 박사 백의선 원장이 진료하며, 어린이부터 성인까지 다양한 교정 치료를 제공합니다.
인비절라인 퍼플 다이아몬드 프로바이더란?
연세바로치과 압구정점은 인비절라인 퍼플 다이아몬드 프로바이더로, 인비절라인에서 인정하는 최고 등급의 인증을 받은 치과입니다. 이는 높은 수준의 임상 경험과 치료 실적을 바탕으로 부여되는 자격입니다.
어린이 투명교정 인비절라인 퍼스트란 무엇인가요?
인비절라인 퍼스트는 어린이 전용 투명교정 장치입니다. 성장기 어린이의 치열을 교정하는 데 사용되며, 덧니, 반대교합, 개방교합 등 다양한 부정교합을 치료할 수 있습니다.
골격성 3급 부정교합(주걱턱)의 치료 방법은?
골격성 3급 부정교합의 치료는 가족력과 골격 분석 결과에 따라 달라집니다. 확실한 주걱턱으로 진단되고 가족력이 있는 경우 페이스마스크를 이용한 악정형치료를 우선 진행하며, 이후 치아교정을 시행합니다.
인비절라인 치료 중 재제작이 필요한 이유는?
초기 계획대로 치아가 이동하지 않거나 추가적인 개선이 필요한 경우 재제작을 진행합니다. 이는 더 정확하고 완성도 높은 교정 결과를 얻기 위한 과정입니다.
3급 고무줄의 역할은 무엇인가요?
3급 고무줄은 반대교합이나 3급 부정교합 치료 시 사용되는 보조 장치입니다. 위아래 치아 간의 교합관계를 개선하고 앞니의 위치를 조정하는 데 도움을 줍니다.
Summary in English
Invisalign First Treatment for Pediatric Orthodontics: Class III Malocclusion Case Study
Treatment Overview
- 10-year-old patient with crowded teeth, open bite, and Class III malocclusion (underbite)
- Treatment duration: 1 year 9 months with 2 refinements
- Used Invisalign First clear aligners with Class III elastics
- Initial treatment: 36 aligners over 7 months
- First refinement: 11 additional aligners
- Patient showed skeletal Class III pattern but without strong family history
- Face mask therapy was recommended but patient chose direct orthodontic treatment
English FAQ
What is Invisalign First for children?
Invisalign First is a clear aligner system specifically designed for children in their mixed dentition phase. It treats various orthodontic issues including crowding, crossbites, and open bites while accommodating ongoing dental development.
How is Class III malocclusion treated in children?
Treatment depends on skeletal analysis and family history. Severe cases with genetic predisposition typically require face mask therapy first, followed by orthodontic treatment. Borderline cases may proceed directly to orthodontic correction with careful monitoring.
What orthodontist in Gangnam Seoul Korea specializes in Invisalign?
Yonsei Baro Dental Clinic in Apgujeong, Gangnam is led by Dr. Baek Eui-seon, an orthodontist with a doctorate in orthodontics. The clinic is an Invisalign Purple Diamond Provider, representing the highest level of Invisalign certification.
Why are refinements needed during Invisalign treatment?
Refinements are additional aligners created when teeth don’t move exactly as planned or when further improvements are needed. This ensures optimal treatment outcomes and proper finishing of the case.
Keywords
orthodontist in Gangnam Seoul Korea, Invisalign Purple Diamond Provider, Korean orthodontist, pediatric orthodontics, Class III malocclusion, Invisalign First, clear aligners, underbite treatment, crowded teeth correction, open bite treatment
글쓴이 소개 | About the Author
백의선 원장 | Dr. Euisun Baek, DDS, PhD
- 연세바로치과 압구정점 대표원장 (Director, Yonsei Baro Dental Clinic, Apgujeong, Seoul, South Korea)
- 인비절라인 퍼플 다이아몬드 프로바이더 — 최고 등급 (Invisalign Purple Diamond Provider — Highest Tier)
- 1,200+ 인비절라인 케이스 완료 (1,200+ Invisalign Cases Completed)
- 글로벌 갤러리 고난도 발치교정 치료 등재 수 1위 (No.1 in Korean Extraction Treatment with Invisalign Global Gallery Listings)
- 철사교정(브라켓 교정)을 더 많이 하는 치과교정학 박사
위치: 서울특별시 강남구 — 연세바로치과 압구정점
Location: Yonsei Baro Dental Clinic, Apgujeong, Seoul, South Korea
원본: 네이버 블로그
댓글 남기기