인비절라인 라이트로 9개월간의 과개교합 및 중심선 교정 사례
안녕하세요. 백의선 원장입니다.
오늘은 과개교합과 중심선 불일치, 소구치회전을 인비절라인라이트로 어떻게 개선하는지 보여드리겠습니다.

인비절라인 라이트 프로그램의 특징
인비절라인 라이트는 말그대로 라이트한 부정교합에 쓰는 단기 프로그램 입니다.
즉, 장치 갯수 제한과 치료기간의 제한이 있는대신 비용이 저렴하여 환자에게 부담이 적죠.
본원에서는 인비절라인으로 고난도 발치교정이나 비발치 덧니/돌출입 교정, 거미스마일 교정, 전체치열 함입과 같은 복잡한 증례를 다양하게 치료하지만
사실은 <인비절라인 라이트> 프로그램이야말로 인비절라인 치료 경험과 실력의 집합체 라고 생각합니다.
단 14개 장치안에서 허용되는 치아이동의 한계치를 잘 알고
컴퓨터 시뮬레이션과 실제 치아이동 사이에 필연적으로 생기는 괴리를 정확히 예측하여야만
인비절라인 라이트 프로그램 으로 9개월 안에 이정도 결과까지 만들어 드릴게요. 하는 환자와 주치의간의 약속이 비로소 성립하게 됩니다.
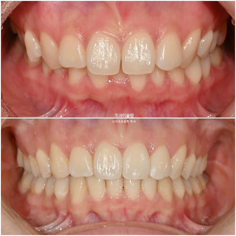
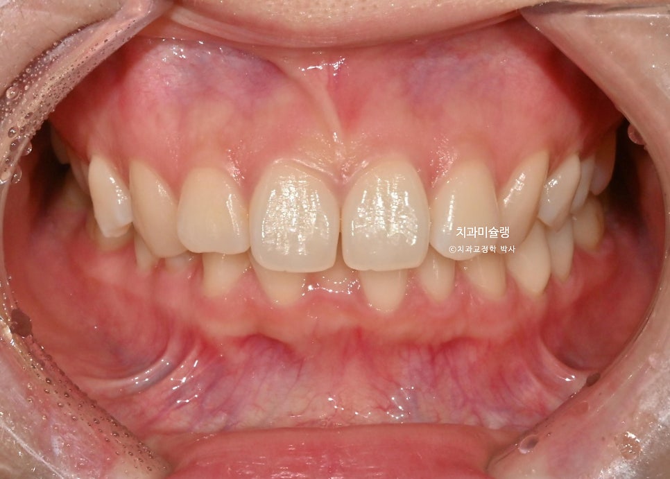
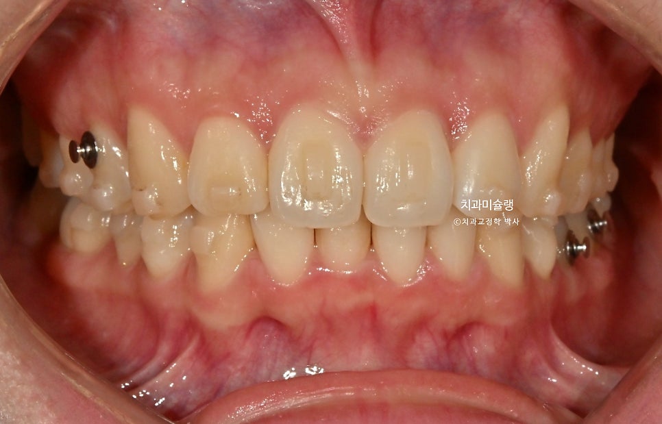
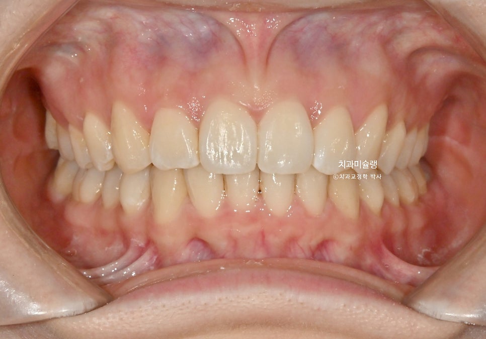
초진 상태 – 2025년 여름

2025년 여름, 앞니 부분교정을 하고싶어 온 환자분 입니다.
중심선 불일치가 보이며 아랫니가 거의 안보일 정도의 과개교합 입니다.
윗니중 가운데 앞니가 튀어나와있습니다.

환자분은 단순 앞니 배열을 생각하고 오셨지만, 앞니가 깊게 물리는 과개교합은 앞니 부분교정으로는 개선이 되지 않죠.
과개교합이 남은 채로 배열 위주로 교정을 하면, 교정 후 철사 유지장치를 붙일 공간이 없어 자꾸 씹혀서 불편하고 자주 떨어지게 되어 재발이 잘됩니다.
앞니 과개교합은 턱관절에도 영향을 줍니다.
따라서 과개교합 개선까지 필요하며 단순 앞니 배열 보다는 인비절라인라이트 투명교정으로 과개교합까지 개선하는걸 추천드렸습니다.
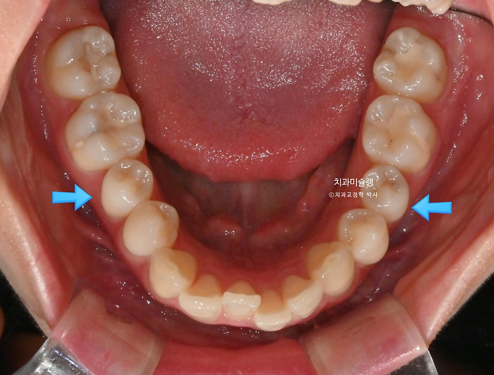
하악소구치 회전의 기술적 어려움

인비절라인 교정에서 투명장치만으로 가장 어려운 치아이동은 바로 <하악소구치의 회전> 입니다.
자, 요철 없고 마찰력 없는 매끈매끈한 뚜껑을 로션 바른 맨손으로 돌려 연다고 가정해봅시다.
뚜껑이 잘 안열리겠죠?
환자가 아무리 열심히 껴도 어태치먼트 한두개로는 택도 없는
치아이동이기에, 하악 소구치 회전이 요구되는 경우는 부가장치를 붙여서 해결해야 합니다.
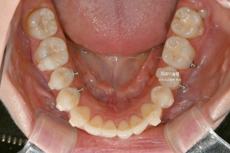
2025년 6월-10월: 첫 번째 장치 세트 적용
25년 6월부터 10월까지, 3개월 반에 걸쳐 14개 장치를 모두 낀 후 모습입니다.

과개교합이, 중심선, 배열의 개선이 보입니다.
어금니 교합은 1급 교합관계를 보이며

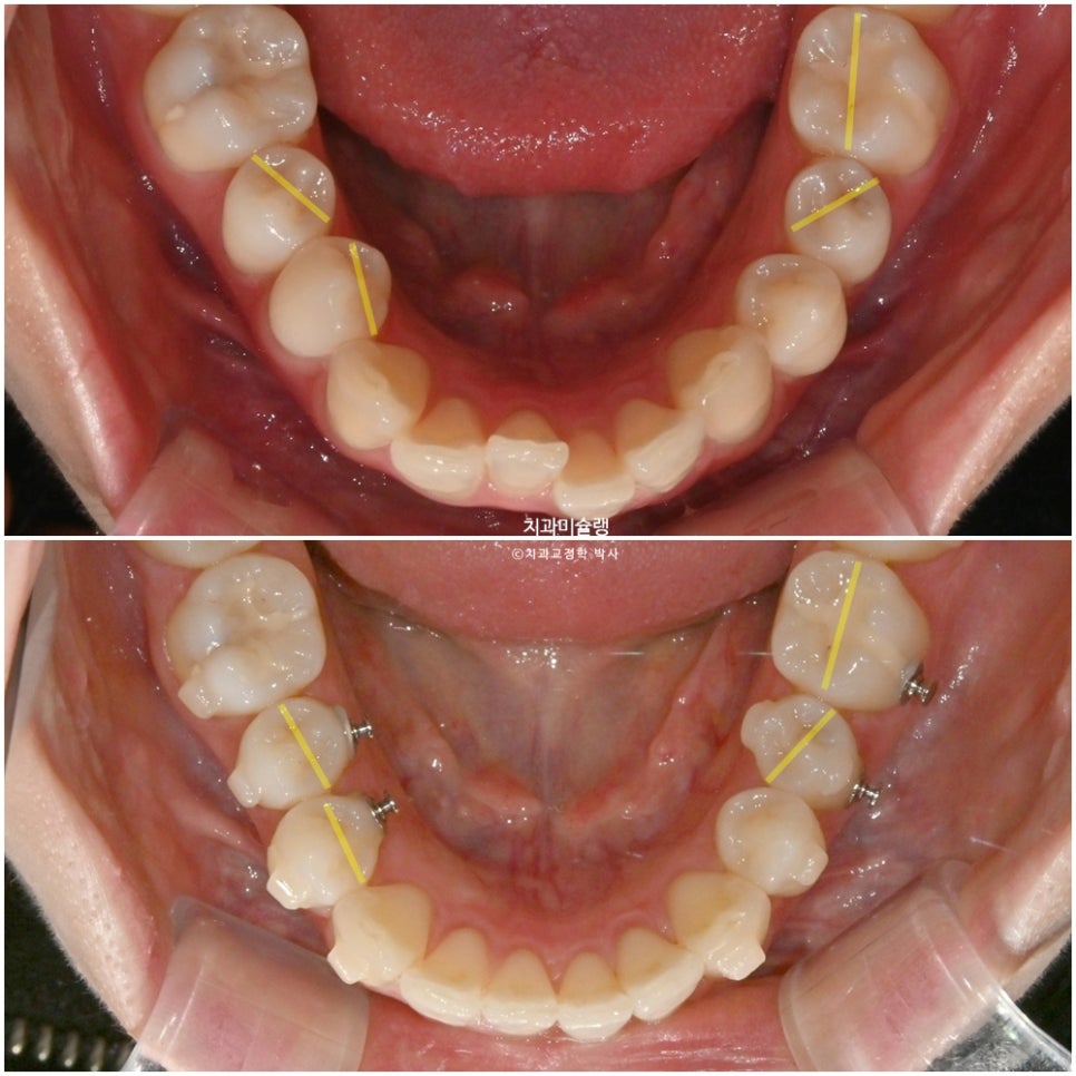
여기 저기 붙어있는 금속 고리의 정체는 좀전에 언급한 작은어금니 회전을 위한 부가장치 입니다.

이 부가장치에 고무체인을 걸어놓음으로써 소구치의 회전이 첫세트에서 완료되었는데

4개월간의 회전 개선량을 표시해보면 이러합니다.
배열과정에서 생긴 블랙트라이앵글을 소량 줄이기 위해 추가장치 제작에 들어갔고 2026년 3월, 드디어 치료를 마무리 합니다.
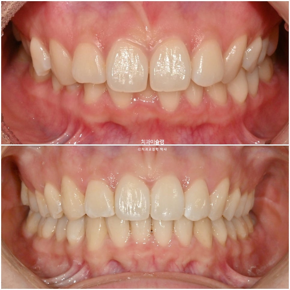
최종 치료 결과 – 2026년 3월

어금니 교합은 물샐틈 없는 1급 교합관계를 보입니다.
2025.06-2026.03
2025.06-2026.03
작은어금니 회전까지 완벽 개선되었습니다.
전체 치료기간은 9개월, 재제작은 1회 했습니다.

안으로 쓰러져 있던 위 송곳니각도가 개선되었습니다.
들쑥날쑥했던 아래 앞니 잇몸 라인도 치아 높낮이가 조절되면서 자연스럽게 대칭이 맞아졌습니다.
중심선도 상당히 개선되었죠.
2025.06-2026.03
돌출된 윗니가 뒤로 들어가며 위아래 앞니 사이 간격이 줄었습니다.
외관 변화

깔끔해진 미소와

적절한 앞니 각도

둘출된 위 앞니에 윗입술만 영향을 받는건 아닙니다.
아랫입술도 사실 영향을 크게 받죠.
윗니 돌출 때문에 아랫입술이 뒤집어져서 초진시 아래입술 돌출이 오히려 윗입술 돌출보다 더 눈에 띕니다.
윗니 돌출이 해소된 후 윗입술 보다도 아랫입술이 들어가는 이유입니다.
치료 결과 분석

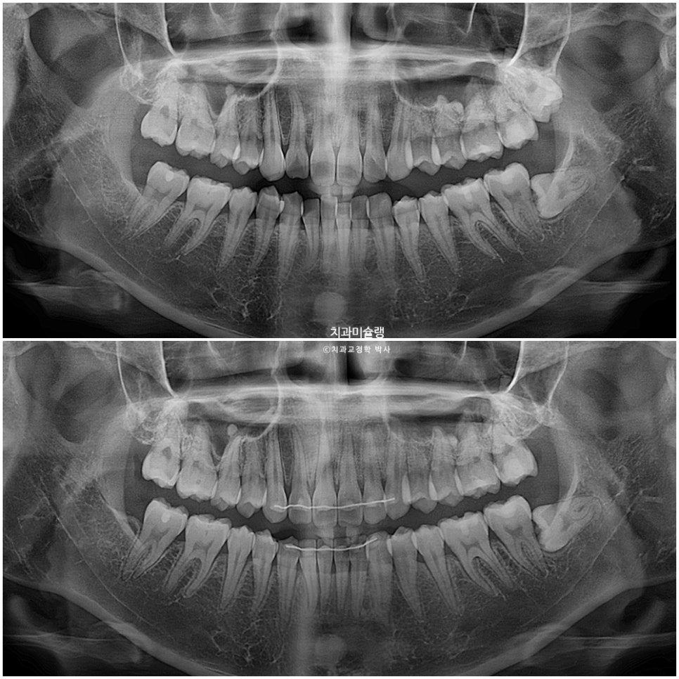
교정기간 내 치근흡수는 없으며 치근평행도는 양호합니다.
치료 요약
| 항목 | 내용 |
|---|---|
| 치료 방법 | 인비절라인 라이트 |
| 발치 여부 | 비발치 |
| 주요 증상 | 과개교합, 돌출, 중심선 불일치, 소구치 회전 |
| 부가 장치 | 고무줄, 금속 고리 |
| 전체 치료기간 | 9개월 (2025.06 – 2026.03) |
| 재제작 횟수 | 1회 |
| 치근 상태 | 치근흡수 없음, 평행도 양호 |
단기 앞니교정이 필요한 분들께, 이 포스팅이 도움이 되길 바랍니다.
연세바로치과의원 압구정점
서울특별시 강남구 논현로 873

자주 묻는 질문 (FAQ)
인비절라인 라이트란 무엇인가요?
인비절라인 라이트는 경미한 부정교합에 사용하는 단기 교정 프로그램입니다. 장치 개수가 14개로 제한되고 치료기간이 한정되어 있지만, 일반 인비절라인보다 비용이 저렴하여 환자 부담이 적습니다.
과개교합을 앞니 부분교정으로 해결할 수 있나요?
과개교합은 앞니 부분교정으로는 개선이 어렵습니다. 과개교합이 남은 상태로 배열 위주 교정을 하면 유지장치를 붙일 공간이 없어 자주 떨어지고 재발이 잘 되며, 턱관절에도 영향을 줄 수 있습니다.
하악 소구치 회전이 인비절라인에서 어려운 이유는?
하악 소구치는 뿌리가 원뿔 모양이고 표면이 매끄러워 투명장치만으로는 회전시키기 매우 어렵습니다. 어태치먼트 한두 개로는 불가능하여 금속 고리 등의 부가장치를 사용해야 합니다.
이 케이스의 총 치료기간과 재제작 횟수는?
이 환자의 경우 2025년 6월부터 2026년 3월까지 총 9개월간 치료받았으며, 재제작은 1회 실시했습니다. 첫 번째 세트는 3개월 반에 걸쳐 14개 장치를 사용했습니다.
강남 압구정에서 교정 전문 치과는?
연세바로치과 압구정점이 강남 압구정 지역의 교정 전문 치과입니다. 발치 교정, 비발치 교정, 돌출입 교정, 거미스마일 교정 등 다양한 교정 치료를 시행합니다.
인비절라인 퍼플 다이아몬드 프로바이더란?
연세바로치과 압구정점은 인비절라인 퍼플 다이아몬드 프로바이더입니다. 이는 인비절라인에서 부여하는 최고 등급의 인증으로, 풍부한 임상 경험과 우수한 치료 결과를 인정받은 치과에만 주어집니다.
Summary in English
Invisalign Lite Treatment for Deep Bite and Midline Correction: 9-Month Case Study
This case study demonstrates a successful 9-month Invisalign Lite treatment for deep bite correction, midline adjustment, and premolar rotation in a Korean orthodontic practice.
- Treatment Duration: 9 months (June 2025 – March 2026)
- Refinements: 1 refinement series
- Initial Issues: Deep bite (overbite), midline discrepancy, premolar rotation, protrusive central incisors
- Treatment Method: Invisalign Lite (14 aligners) with auxiliary appliances for premolar rotation
- Key Challenge: Lower premolar rotation required metal auxiliary appliances and elastic chains
- Results: Achieved Class I molar relationship, corrected midline, improved deep bite, and complete premolar derotation
- Treatment Philosophy: Invisalign Lite requires precise prediction of tooth movement limitations and computer simulation accuracy
What is Invisalign Lite treatment?
Invisalign Lite is a short-term orthodontic program designed for mild malocclusion cases, limited to 14 aligners with reduced cost compared to comprehensive Invisalign treatment.
Why is premolar rotation challenging with Invisalign?
Lower premolar rotation is one of the most difficult tooth movements with clear aligners due to the smooth, conical root surface that provides minimal grip for rotational forces.
Can deep bite be corrected with anterior partial orthodontics?
Deep bite cannot be effectively corrected with anterior partial orthodontics alone, as it requires comprehensive bite adjustment to prevent relapse and ensure proper retainer placement.
What auxiliary appliances were used in this case?
Metal brackets and elastic chains were attached to the premolars to achieve the necessary rotational movement that clear aligners alone could not accomplish.
Keywords: orthodontist in Gangnam Seoul Korea, Invisalign Purple Diamond Provider, Korean orthodontist, extraction orthodontics, Invisalign Lite treatment, deep bite correction, premolar rotation, midline correction, clear aligner therapy
글쓴이 소개 | About the Author
백의선 원장 | Dr. Euisun Baek, DDS, PhD
- 연세바로치과 압구정점 대표원장 (Director, Yonsei Baro Dental Clinic, Apgujeong, Seoul, South Korea)
- 인비절라인 퍼플 다이아몬드 프로바이더 — 최고 등급 (Invisalign Purple Diamond Provider — Highest Tier)
- 1,200+ 인비절라인 케이스 완료 (1,200+ Invisalign Cases Completed)
- 글로벌 갤러리 고난도 발치교정 치료 등재 수 1위 (No.1 in Korean Extraction Treatment with Invisalign Global Gallery Listings)
- 철사교정(브라켓 교정)을 더 많이 하는 치과교정학 박사
위치: 서울특별시 강남구 — 연세바로치과 압구정점
Location: Yonsei Baro Dental Clinic, Apgujeong, Seoul, South Korea
원본: 네이버 블로그
댓글 남기기