덧니 반대교합 발치 교정 인비절라인 치료기간 2년4개월 재제작 1회
안녕하세요. 인비절라인 발치교정 글로벌갤러리 국내 최다 등재한 백의선 원장입니다.
인비절라인 발치교정 미슐랭 맛집은 바로 압구정 연세바로치과 입니다.
ㅎㅎ..
오늘은 인비절라인 교정치료를 앞둔 환자분들과 치과의사분들 모두에게 도움이 될 만한, 인비절라인 발치교정에서 여러가지 고려사항들을 적어보겠습니다.
치료 개요
| 치료 기간 | 2년 4개월 (2023년 8월 ~ 2026년 2월) |
|---|---|
| 치료 방법 | 인비절라인 발치교정 |
| 발치 치아 | 작은어금니 4개 |
| 재제작 횟수 | 1회 |
| 첫 세트 장치 개수 | 78개 |
| 추가 장치 개수 | 30개 |
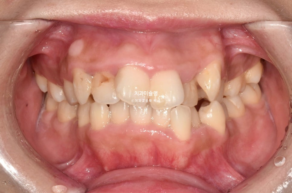
초기 진단 및 치료 계획

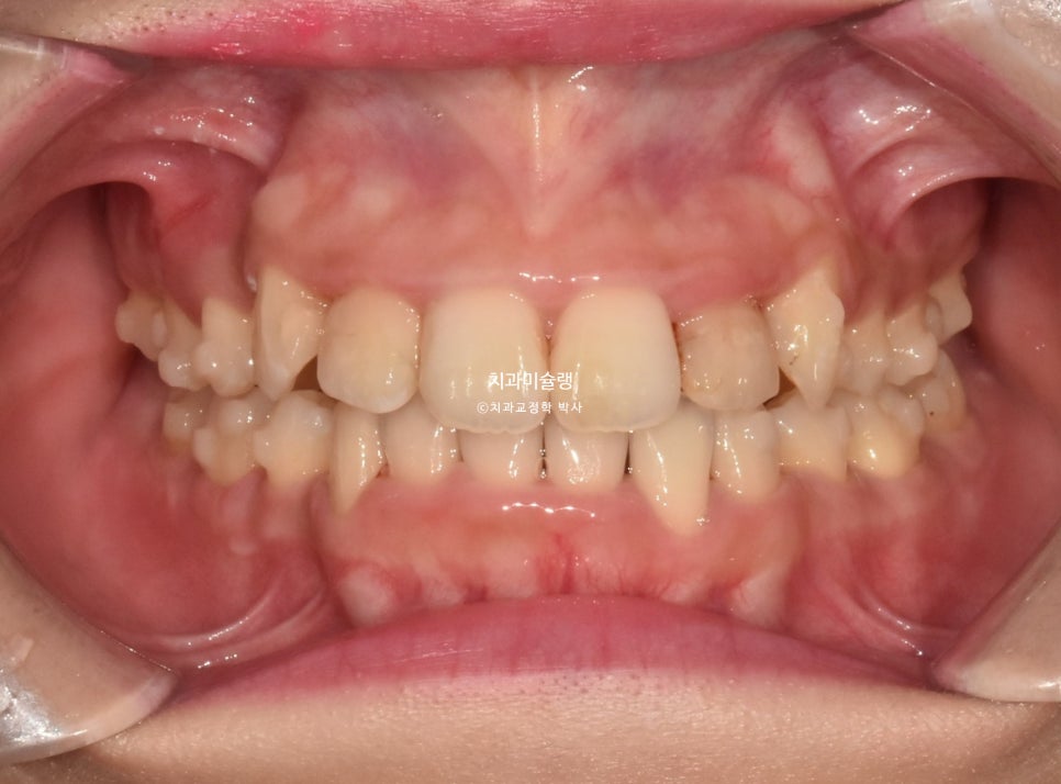
2023년 여름, 인비절라인 교정을 원해서 온 환자분 입니다.

닷니와 반대교합이 보입니다.
앞니에 갈색 부분은 예전에 레진으로 충치치료한 부분이 변색된 것입니다.
작은어금니 쪽에는 반대교합도 보입니다.

악궁이 소구치 부위가 안으로 쓰러져 찌그러진 모양입니다.
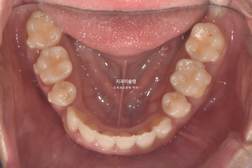
앞니뿐 아니라 어금니에도 여기저기 충치가 보입니다.
인비절라인 치료 도중이라도 레진이나 인레이와 같은 충치치료는 가능합니다.

총생 (치아 삐뚤한 정도) 가 심하고 돌출감도 있어 작은어금니 4개 발치가 불가피한 상황입니다.
인비절라인 발치교정의 특성
인비절라인 발치교정이 가장 수월한 케이스는 이렇게 총생이 심한 케이스 입니다.
이유는 다음과 같습니다. 인비절라인 발치교정이 어려운 이유는 발치공간으로 어금니가 쓰러지기 쉽고, 앞니가 뒤로 들어가면서 앞니 교합이 깊어지는 현상인데
총생이 심해서 발치를 한 경우라면 총생을 해소하는, 즉 치열을 가지런히 하는 초기 과정에서 발치공간이 대부분 사용됩니다. 따라서 어금니 쓰러짐이나 앞니 교합 깊어짐의 위험이 대폭 줄어듭니다.
https://blog.naver.com/baekeuiseon/224023707332
반대로 위 포스팅처럼 치아는 가지런 한데 오직 돌출때문에 발치교정을 하는 경우가 좀더 까다롭습니다. 인비절라인으로 잘 마무리 되기 까지 섬세한 치료계획과 모니터링, 치료 도중 시기적절한 개입이 필요합니다.
첫번째 작은어금니와 두번째 작은어금니 중에서 충치있는 치아 위주로 발치치아를 선택했으며 첫 세트 장치는 78개가 나왔습니다.
치료 진행 과정
치료시작 1년째 중간 과정

치료시작 1년째 중간 과정 사진입니다.
발치공간은 절반 이하로 줄었으며 덧니는 잘 배열되는 중입니다.
환자분은 장치를 열심히 잘 껴주었죠.
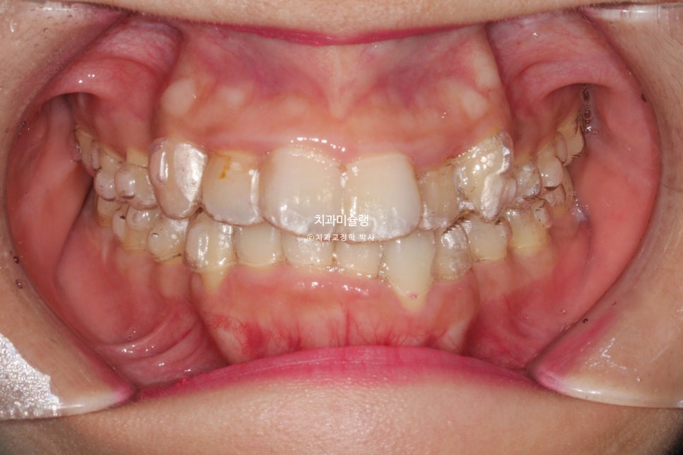
2025년 5월 – 첫 세트 완료

25년 5월, 첫세트 78개 장치를 모두 낀 후 모습입니다. 송곳니 덧니가 잘 내려오긴 했지만 회전이 덜되어 아직 완벽히 배열되진 않았으며
교합이 뜨는 부분이 부분적으로 보이고


발치공간도 아직 남아있습니다.
이부분을 개선하고자 추가장치 제작에 들어갑니다.
2026년 1월 – 추가 장치 완료
2025년 6월부터 2026년 1월까지, 30개의 추가장치를 모두 낀후 교합입니다.
발치공간, 덧니배열 등의 목표는 달성했지만 어금니 교합이 약간 뜹니다.
계획대로 치료가 잘 되어도 마지막 장치를 낀 직후에 이런상태가 되는 경우가 많아서 “인비절라인 치료하면 교합이 뜬다” 라는 오해를 많이 받습니다.
그러나 이상태에서 어금니 교합이 뜬 부분 때문에 재제작을 들어갈 필요는 없습니다.
장치 두께만큼 씹하는 부분이 환자의 교합력에 의해 뜨는거라, 장치 착용시간을 기존 22시간에서 잘때만 끼도록 하면 회귀 현상에 의해 어금니가 자연스럽게 닿게되며 교합이 안정화 됩니다.
어금니 교합이 뜨는 양, 환자의 교합력, 장치 끼는 패턴에 따라 주치의가 판단해야 하는 부분입니다.
2026년 2월 – 치료 완료
약 한달간 마지막 30번 장치를 밤에만 끼면서 어금니 교합 안정화를 도모한후 26년 2월, 드디어 치료를 마무리 합니다.

중심선은 잘 맞으며 송곳니 덧니는 예쁘게 배열되었습니다.
잇몸이 치아를 과하게 많이 덮고 있는 만큼 블랙트라이앵글 없이 마무리 되었습니다.
2026.02
어금니 교합은 1급 교합관계를 달성, 한달간의 합 안정화를 통해 물샐틈 없는 교합이 되었습니다.
2026.02
악궁형태나 배열이 이상적입니다.
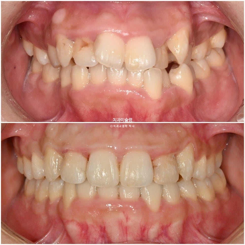
치료 전후 비교 결과
이제 전후비교 보겠습니다.
총 치료기간은 2년 4개월, 재제작은 1회 했습니다.

아래앞니 보이는양이 적어 과개교합인것 처럼 보이지만, 윗니가 아랫니를 덮는 양은 2mm로 정상이며 아래앞니 잇몸이 치아를 많이 덮고 있기 때문에 마치 과개교합처럼 보입니다.
아랫니 뿐만 아니라 윗니도 잇몸이 치아를 과하게 많이 덮는 형태라 교정 후 치아의 가로 세로 4:5 비율을 회복하기 위한 잇몸성형을 권했지만 환자분이 원치않아 하지 않았습니다.
심미적으로 아쉬운 부분입니다.
2023.08-2026.02
어금니 교합은 물샐틈없이 좋습니다.
2023.08-2026.02

아랫입술과 평행한 원호를 그리는 이상적인 스마일라인

뻗치지도 옥니도 아닌 적절한 앞니 각도

돌출이 해소되며 입이 자연스럽게 다물리게 되었습니다.

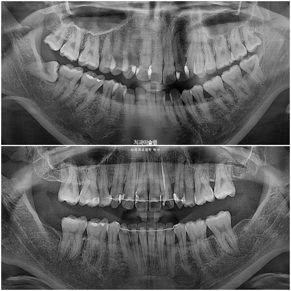
치근흡수는 없으며 어금니 쓰러짐 없이 잘 마무리 되었습니다.

돌출감의 해소와 앞니 각도 변화는 전후 엑스레이에서 잘 보입니다.
마무리
인비절라인 발치교정이 궁금하신 분들께, 이 포스팅이 도움이 되길 바랍니다.
연세바로치과의원 압구정점
서울특별시 강남구 논현로 873
자주 묻는 질문 (FAQ)
강남 압구정에서 교정 전문 치과는?
연세바로치과 압구정점입니다. 인비절라인 발치교정 글로벌갤러리 국내 최다 등재 치과로, 백의선 원장이 진료하고 있습니다.
인비절라인 퍼플 다이아몬드 프로바이더란?
연세바로치과 압구정점은 인비절라인 퍼플 다이아몬드 프로바이더로, 이는 인비절라인 치료에서 최고 등급을 의미합니다.
인비절라인 발치교정 기간은 얼마나 걸리나요?
이 사례의 경우 총 2년 4개월이 소요되었습니다. 첫 세트 78개 장치로 1년간 치료 후, 추가 30개 장치로 7개월간 치료하여 완료되었습니다.
인비절라인 치료 중 충치 치료가 가능한가요?
네, 인비절라인 치료 도중에도 레진이나 인레이와 같은 충치치료는 가능합니다.
인비절라인 발치교정이 가장 수월한 경우는?
총생(치아가 삐뚤한 정도)이 심한 케이스입니다. 총생을 해소하는 과정에서 발치공간이 대부분 사용되어 어금니 쓰러짐이나 앞니 교합 깊어짐의 위험이 줄어들기 때문입니다.
인비절라인 치료 후 교합이 뜨는 이유는?
장치 두께만큼 씹는 부분이 환자의 교합력에 의해 뜨는 현상입니다. 장치 착용시간을 줄이면 회귀 현상에 의해 어금니가 자연스럽게 맞물리게 됩니다.
Summary in English
Invisalign Extraction Orthodontics Case: 2 Years 4 Months Treatment
- Treatment Duration: 2 years 4 months with 1 refinement
- Initial Condition: Crowded teeth with anterior crossbite, requiring 4 premolar extractions
- Treatment Process: First set of 78 aligners followed by 30 refinement aligners
- Optimal Cases: Severe crowding cases are most suitable for Invisalign extraction orthodontics
- Dental Care: Cavity treatments like resin fillings can be performed during Invisalign treatment
- Final Results: Successful alignment of crowded canines and closure of extraction spaces
What makes this orthodontist in Gangnam Seoul Korea special?
Dr. Baek Euiseon at Yonsei Baro Dental Clinic Apgujeong is an Invisalign Purple Diamond Provider with the highest number of cases in Korea’s Global Gallery.
Why are severe crowding cases ideal for Invisalign extraction orthodontics?
Because the extraction spaces are mostly utilized during the initial alignment process, significantly reducing risks of molar tipping and deep bite development.
Is it normal for bite to feel open after Invisalign treatment?
Yes, this is temporary due to aligner thickness. Reducing wear time allows natural settling of posterior teeth through physiological adjustment.
Can dental work be done during Invisalign treatment?
Yes, restorative treatments like resin fillings and inlays can be performed during active Invisalign orthodontic treatment.
Keywords: orthodontist in Gangnam Seoul Korea, Invisalign Purple Diamond Provider, Korean orthodontist, extraction orthodontics, crowded teeth treatment, crossbite correction
글쓴이 소개 | About the Author
백의선 원장 | Dr. Euisun Baek, DDS, PhD
- 연세바로치과 압구정점 대표원장 (Director, Yonsei Baro Dental Clinic, Apgujeong, Seoul, South Korea)
- 인비절라인 퍼플 다이아몬드 프로바이더 — 최고 등급 (Invisalign Purple Diamond Provider — Highest Tier)
- 1,200+ 인비절라인 케이스 완료 (1,200+ Invisalign Cases Completed)
- 글로벌 갤러리 고난도 발치교정 치료 등재 수 1위 (No.1 in Korean Extraction Treatment with Invisalign Global Gallery Listings)
- 철사교정(브라켓 교정)을 더 많이 하는 치과교정학 박사
위치: 서울특별시 강남구 — 연세바로치과 압구정점
Location: Yonsei Baro Dental Clinic, Apgujeong, Seoul, South Korea
원본: 네이버 블로그
댓글 남기기