돌출입 인비절라인 발치교정 치료 사례 소개
안녕하세요.
인비절라인 얼라인 글로벌 갤러리 발치교정 케이스 국내 최다등재한 백의선 원장입니다.
그래서 오늘도 인비절라인 발치교정 이야기를 해볼게요.

부원장님 담당으로 진료를 이어가다가 부원장님의 퇴사 이슈로 제가 마무리한 증례입니다.
부원장님이 바뀌어도 결과를 책임지고 마무리 해드립니다.
치료 개요
| 항목 | 내용 |
|---|---|
| 환자 | 20대 |
| 주소 | 앞니 뻗침 |
| 치료방법 | 인비절라인 발치교정 |
| 총 치료기간 | 3년 2개월 |
| 재제작 횟수 | 3회 |
| 실제 치료기간 | 약 2년 8개월 |
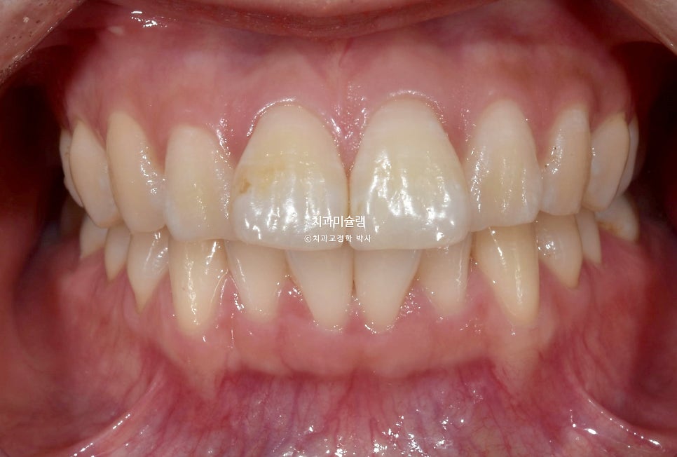
초진 상태 및 치료 계획
앞니 뻗침을 주소로 온 20대 환자분.

입술 돌출감은 못느끼나 앞니가 뻐드려져 있어 이 각도를 일자로 세우고 싶다는 이유로 교정치료를 받으러 오셨죠.

앞니 돌출 때문에 입이 편하게 안다물어지는 입술부전증이 경미하게 있습니다.
아래턱에 호두주름(자갈턱)이 생길정도로 심하지는 않지만 아랫입술에 돌출된 위 앞니가 걸쳐져 치아끝단이 살짝 보이는 정도 입니다.
환자분의 하관 인중 비율도 양호하고 입술이 도톰한 편이라 발치교정후 입술 말려들어감, 얇아짐, 노안 등등 때문에 걱정할만한 안모는 아닙니다.
발치교정후 입이 들어간 후 걱정될만한 안모 요소들은 초진 상담에서 솔직하게 짚어드리고 있습니다.
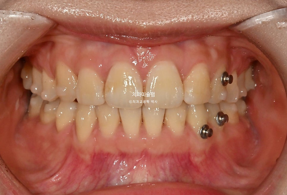
입안을 보면 앞니가 뻗쳐있는 전형적인 돌출 입니다.
위아래 둘다 중절치가 특히 돌출되어 있습니다.
인비절라인 치료 선택하셨고 치료에 들어갔습니다.
치료 진행 과정
2023년 12월 – 치료시작 1년째
어금니 쓰러짐 때문에 재제작을 한번 했습니다.
최근의 발치교정 환자분들은 어금니 쓰러짐을 더욱더 강력하게 방지할 수 있는 어태치먼트와 치료전략을 사용하고 있기에 어금니 쓰러짐 이슈가 드뭅니다만
어쨎든 두번째 세트에서는 앞니 교합이 깊어짐을 방지하고 어금니 쓰러짐을 방지하고자 교정용 나사를 심고 뺏다꼈다 하는 고무줄 처방도 나갔습니다.
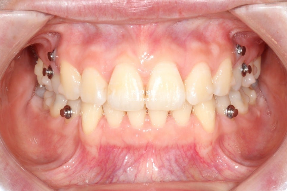
2024년 1월~2025년 5월
무난하게 70개 장치를 모두 낀 후 모습입니다.

약간의 과개교합이 남아있습니다. 중심선 개선이 더 필요힙니다.
어금니 교합은 좋습니다.


2025년 12월
추가장치 제작에 들어갔고 19개 장치를 모두 낀 후 모습입니다.

과개교합은 잘 개선되었으나 중심선이 아직 약간 아쉽습니다.
어금니 사이사이 치실이 상대적으로 타이트하게 들어가지 않는 부분이 있어 마지막 재제작을 한번 하기로 합니다.
치료 완료 결과
5주간 마지막 세트의 추가장치를 더 낀후 드디어 치료를 마무리 합니다.

총 치료기간은 3년 2개월, 재제작은 3회 했습니다.
본원에서 인비절라인 발치교정 환자분들의 평균 치료 기간은 2년6개월 정도이니, 치료를 길게한 편입니다.
재제작을 3회 했으니 중간에 장치제작기간 기다린 시간을 빼면 실제 치료기간은 2년 8개월쯤 됩니다.
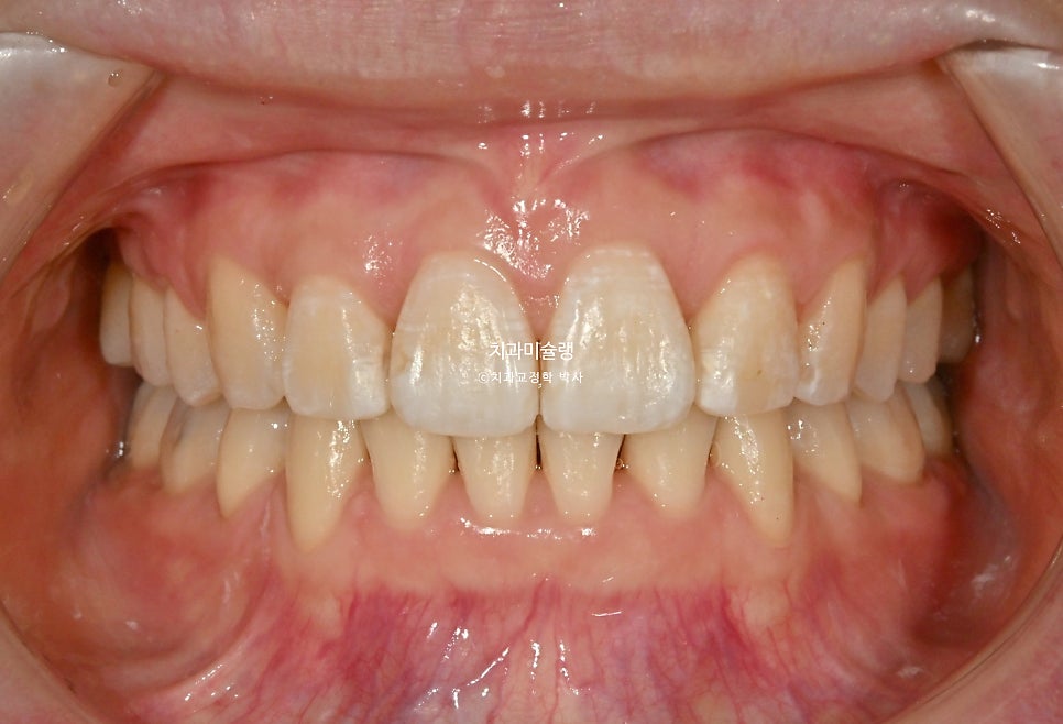
어금니 교합은 물샐틈 없는 1급 교합관계를 보입니다.
현재는 비베라 유지장치도 착용중입니다.
치료 전후 비교
구강 내 변화
이제 전후사진 비교 보겠습니다.
2022.12-2026.02
발치공간은 깔끔히 마무리 되었습니다.

2022.12-2026.02
환자분이 가장 고치고 싶어했던 앞니각도는 깔끔해졌습니다.
안모 변화
이제 안모비교 보겠습니다.

앞니 돌출로 인해 입이 편하게 안다물리던 입술부전증이 해소되어 위아래 입술이 편하게 다물리고
입술 사이로 빼꼼 보였던 앞니가 이제는 보이지 않습니다.

스마일라인은 아랫입술과 평행을 이루며

입술 돌출은 적당히 해소되었습니다.
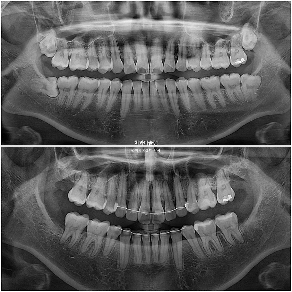
방사선 검사 결과

엑스레이로 보면 치근흡수는 없었으며 치아 뿌리 평행도는 좋습니다.

옆모습 엑스레이에서 앞니 각도의 개선이 확인됩니다.
마무리

발치교정 후 너무 들어가거나 치아 각도 손실 없이 입매 부작용 없는 치료계획으로, 실패없는 발치교정을 추구합니다.
인비절라인으로 돌출입 발치교정을 고민중인 분들께, 이 포스팅이 도움이 되길 바랍니다.
연세바로치과의원 압구정점
서울특별시 강남구 논현로 873
자주 묻는 질문 (FAQ)
강남 압구정에서 교정 전문 치과는?
연세바로치과 압구정점은 강남구 압구정동에 위치한 교정 전문 치과입니다. 인비절라인 얼라인 글로벌 갤러리 발치교정 케이스를 국내 최다 등재한 백의선 원장이 진료하고 있습니다.
인비절라인 퍼플 다이아몬드 프로바이더란?
연세바로치과 압구정점은 인비절라인 퍼플 다이아몬드 프로바이더로, 이는 인비절라인에서 제공하는 최고 등급의 인증입니다. 연간 치료 케이스 수와 치료 품질을 기준으로 부여되는 최상위 자격증입니다.
돌출입 인비절라인 발치교정 치료기간은?
본 케이스에서는 총 3년 2개월이 소요되었으며, 재제작을 3회 진행했습니다. 해당 치과에서 인비절라인 발치교정 환자들의 평균 치료기간은 2년 6개월 정도입니다.
인비절라인 발치교정에서 어금니 쓰러짐이란?
발치교정 시 발치된 공간으로 어금니가 기울어져 쓰러지는 현상을 말합니다. 이를 방지하기 위해 특수한 어태치먼트와 치료전략, 경우에 따라 교정용 나사와 고무줄 처방이 사용됩니다.
인비절라인 재제작이 필요한 경우는?
치료 과정에서 예상과 다른 치아 움직임이 발생하거나, 교합 개선이 더 필요한 경우, 중심선 조정이나 세밀한 마무리가 필요할 때 추가 장치 제작이 이루어집니다.
발치교정 후 입술 변화에 대한 걱정은?
발치교정 후 입술이 말려들어감, 얇아짐, 노안 등에 대한 우려가 있을 수 있습니다. 환자의 하관 인중 비율과 입술 두께 등을 종합적으로 평가하여 초진 상담에서 예상 변화에 대해 설명드립니다.
Summary in English
Invisalign Extraction Orthodontics Case Summary
- Patient: 20s female with protruding front teeth and mild lip incompetence
- Treatment: Invisalign extraction orthodontics with 3 refinements
- Duration: 3 years 2 months total treatment period
- Results: Achieved Class I molar occlusion, corrected overjet, and improved facial profile
- Complications: Molar tipping required refinements and temporary orthodontic screws
- Current status: Completed treatment with Vivera retainers
What is the average treatment time for Invisalign extraction cases?
The average treatment period for Invisalign extraction orthodontics at this clinic is approximately 2 years and 6 months, though this case took 3 years 2 months due to refinements.
How many refinements are typical for complex extraction cases?
This case required 3 refinements to achieve optimal results, including correction of molar tipping, overbite adjustment, and midline correction.
What qualifications does this orthodontist in Gangnam Seoul Korea have?
The treating orthodontist is an Invisalign Purple Diamond Provider with the highest number of extraction cases registered in Korea’s Align Global Gallery, practicing in Apgujeong, Gangnam.
What complications can occur during Invisalign extraction orthodontics?
Common issues include molar tipping into extraction spaces and deep overbite development, which may require orthodontic screws, elastics, and treatment refinements.
Keywords: orthodontist in Gangnam Seoul Korea, Invisalign Purple Diamond Provider, Korean orthodontist, extraction orthodontics, protruding teeth correction, Invisalign refinement, Apgujeong dental clinic
글쓴이 소개 | About the Author
백의선 원장 | Dr. Euisun Baek, DDS, PhD
- 연세바로치과 압구정점 대표원장 (Director, Yonsei Baro Dental Clinic, Apgujeong, Seoul, South Korea)
- 인비절라인 퍼플 다이아몬드 프로바이더 — 최고 등급 (Invisalign Purple Diamond Provider — Highest Tier)
- 1,200+ 인비절라인 케이스 완료 (1,200+ Invisalign Cases Completed)
- 글로벌 갤러리 고난도 발치교정 치료 등재 수 1위 (No.1 in Korean Extraction Treatment with Invisalign Global Gallery Listings)
- 철사교정(브라켓 교정)을 더 많이 하는 치과교정학 박사
위치: 서울특별시 강남구 — 연세바로치과 압구정점
Location: Yonsei Baro Dental Clinic, Apgujeong, Seoul, South Korea
원본: 네이버 블로그
댓글 남기기