인비절라인 익스프레스 단기 교정 후 무삭제 라미네이트 젤라미 치료
안녕하세요. 백의선 원장입니다.
젤라미는 연세바로치과에서 만든 무삭제라미네이트 브랜드입니다.

여러분들께서 앞니 심미 치료의 대명사처럼 알고 계신 미니X, 제로네이X처럼 정체는 라미네이트이지만 그 치과만의 브랜딩 이름이죠.
인천점 안원장님과 저만 하는 진료이다 보니 아직 인지도는 없습니다만, 차별점은 교정치과 답게 빠르고 안전한 단기 교정으로 배열을 잡아놓고 오직 로만 진행하는 라미네이트라는 점입니다.

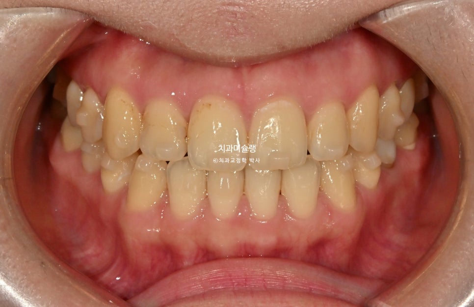
환자 초진 상태 분석
오늘은 ‘윗니가 잘 안보인다’는 이유로 교정치료 위해 온 환자분의 투명교정+무삭제라미네이트 젤라미 치료 이야기를 해보겠습니다.
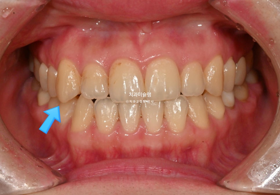
작년 9월, 말할때 앞니가 안보여서 보이게 하고싶다는 주소로 온 30대 환자분입니다.

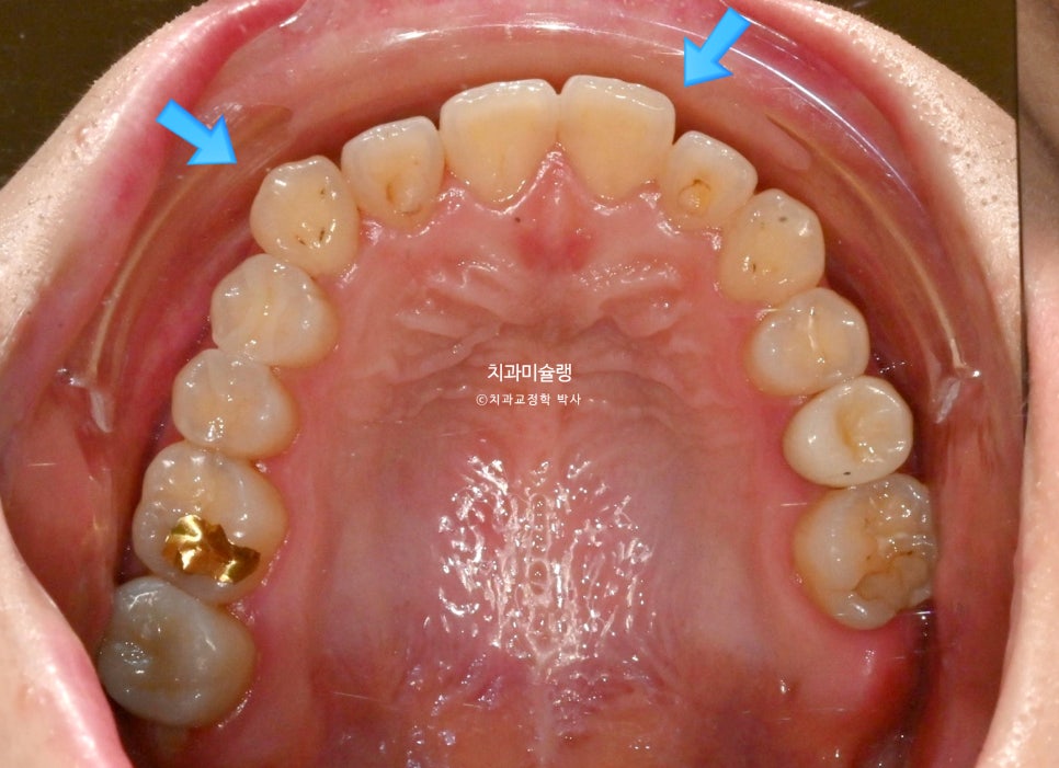
우측 송곳니가 내려와있고 앞니 치축이 위아래 둘다 전반적으로 기울어져 있습니다. 치아색도 어두운 편이고 갈색 반점이 넓게 퍼져있습니다.

내려와있는 한쪽 송곳니, 기울어진 치축 때문에 비대칭의 느낌이 있습니다. 말할때 윗니가 잘 안보이며 입술이 얇고 볼륨감이 적은편입니다. 웃을때도 치아가 그림자져 보입니다.
치료 계획 수립
앞니노출도를 교정으로 증가시키려면, 위 앞니를 아래로 정출시켜 끌어내리면 앞니가 좀더 잘 보이겠지만 앞니 정출시키는 치료는 성인에서 치아가 길어보이고 잇몸이 약해질 우려가 있고, 재발률도 높으며 윗니가 아랫니를 많이 덮게 되어 과개교합이 되는등 여러가지 문제점이 있습니다.
환자분의 얇은 입술과 인중의 부족한 볼륨감을 고려하면 입술 지지를 보강하기 위해서 교정보다는 라미네이트 치료를 하는게 유리합니다. 라미네이트 치료를 하면 어두운 앞니 색과 갈색 반점들을 가릴수 있다는 장점도 있습니다.
그러나 만약 지금 상태에서 바로 라미네이트 치료가 들어간다면 한쪽에 내려와있는 송곳니를 깎아야 하며

배열상에서 들쑥날쑥한 부분들도 치아를 꽤 많은양 갈아내야, 균일한 두께의 자연스럽고 건강한 라미네이트가 가능해집니다.

따라서 인비절라인 익스프레스로 먼저 모난 부분들을 교정으로 다듬고 중심선도 개선시킨후, 무삭제로 라미네이트 치료를 권유드렸습니다.
인비절라인 익스프레스 교정 치료 과정
인비절라인 익스프레스는 투명장치 7개 안에서 개선이 가능한 부정교합에 쓰는 가장 짧은 단계의 프로그램입니다.
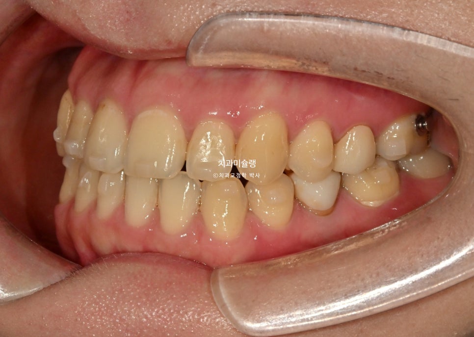
2024년 9월~11월: 1차 교정 단계
2024년 9월부터 11월까지, 7개 장치를 모두 낀 후 모습입니다.

내려와있던 송곳니는 잘 올라갔으며 중심선은 처음보다 맞아졌습니다.

중심선 개선을 위해 한쪽에 3급 고무줄도 끼면서 치료를 했죠.

배열상 들쑥날쑥한 부분들도 가지런해졌습니다. 이상태에서 무삭제 라미네이트 치료를 해도 되지만 위 아래 중심선이 약간 안맞는게 아쉬워 재제작에 들어갑니다.
인비절라인 익스프레스는 치료시작 6개월 이내 1회의 재제작이 가능합니다.
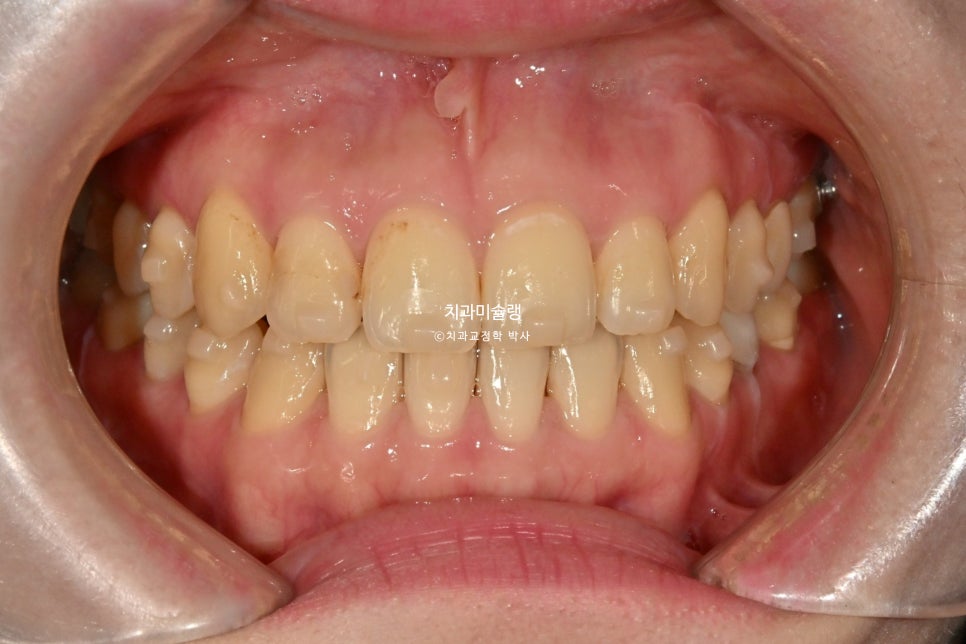
2024년 12월~2025년 2월: 재제작 단계

12월부터 2월까지 추가장치 7개를 모두 낀 후 모습입니다. 중심선이 맞아졌으며 송곳니를 포함한 위 6개 앞니 높이가 균일해졌습니다.
치열이 바르고 단차가 없이 높낮이가 균일해야 무삭제라미네이트도 균일한 두께로 제작이 됩니다. 무삭제 라미네이트는 두께가 엷은게 핵심이라 본래 치아색이 어느정도 비쳐 나오기 때문에, 라미네이트 두께가 들쑥날쑥하면 색깔도 미세하게 얼룩덜룩해집니다.

교정 치료 결과 분석
인비절라인 익스프레스로 작년 9월부터 2월까지 치료한 교정 결과를 한번 짚고 넘어가겠습니다.
- 중심선이 맞아졌으며 앞니 교합이 개선
- 기울어져있던 앞니 치축이 똑바로 개선
- 내려와있고 튀어나와있던 송곳니는 제자리를 찾음

앞니 배열이 개선되면서 단차가 사라져, 이제는 삭제 없이 무삭제로 라미네이트가 가능합니다.
무삭제 라미네이트 젤라미 치료
입술과 인중 부위의 볼륨감을 위해 무삭제라미네이트 두께를 평균보다 약간 두껍게 제작하기로 했기때문에 피팅을 합니다.
임시치아 재료로 무삭제라미네이트를 미리 붙여보고 최종 라미네이트의 디자인, 두께감 길이감 등을 얼굴 전체와 조화롭게 체크합니다. 이 단계에서 두께감이나 모양, 미소시 입술과 조화를 이루도록 스마일라인 등을 체크한후 최종 제작에 들어가면 후회없는 치료가 됩니다.

위에서부터 차례대로 교정종료 직후- 피팅 – 무삭제라미네이트 최종 부착 후 모습입니다.
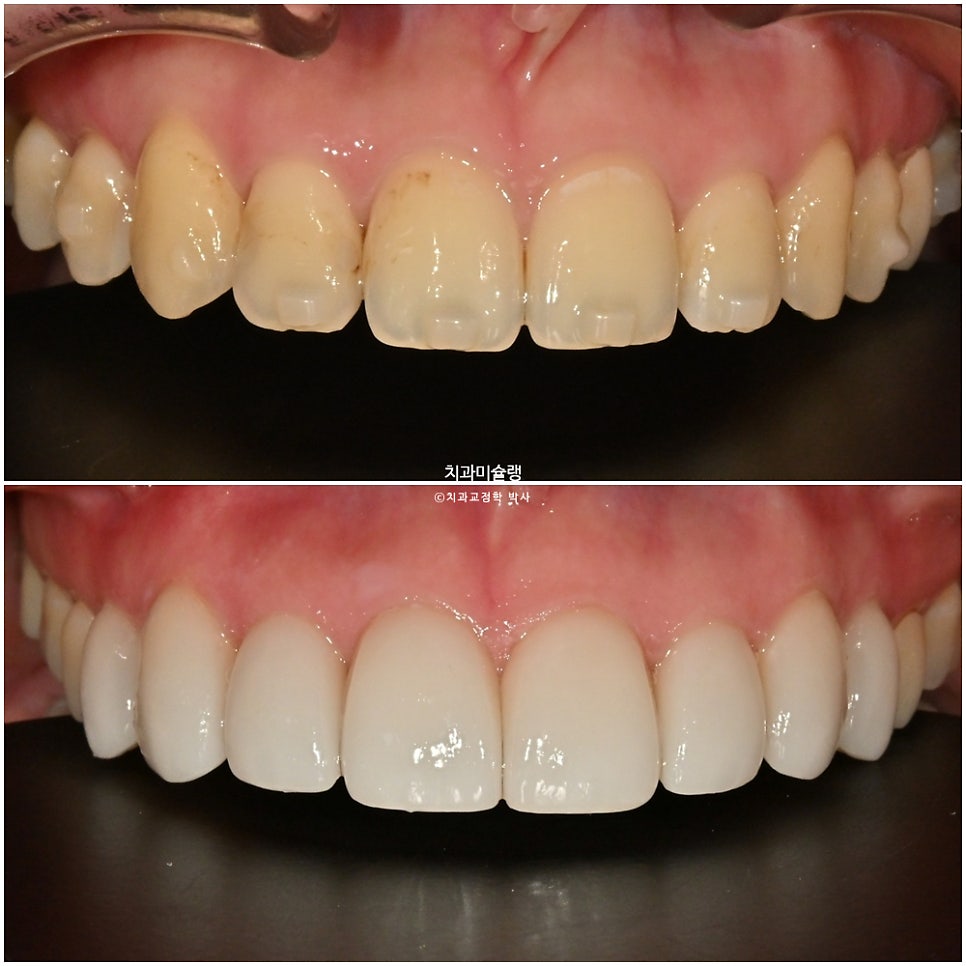
교정 기간 포함 총 치료기간은 6개월입니다. 이제 전후 비교 볼게요.
치료 결과

작은어금니에서 작은어금니까지, 앞니 8개에 무삭제라미네이트 젤라미 부착 모습입니다.
잇몸쪽에서 치아 끝단으로 갈수록 음영이 자연스럽게 지는것이 무삭제 라미네이트의 강점입니다. 저는 이것을 우윳빛 투명감이라고 표현합니다. (반댓말은 자일리톨입니다.)
2024.09-2025.02
두꺼워진 앞니가 측면사진에서 잘 보입니다. 라미네이트 두께가 늘어나도 치이와 잇몸경계는 최대한 얇게 제작해야 잇몸건강에 악영향이 없습니다.
안모 변화

어두워보이던 치아가 환해졌습니다. 스마일라인도 아랫입술과 평행하게 회복되었습니다.
단지 색깔의 변화는 아니고 두께감과 배열 개선의 효과도 큽니다.
치료 도중 입술 필러 치료도 소량 하신것 같네요.
치료 정보 요약
| 항목 | 내용 |
|---|---|
| 치료 기간 | 6개월 (2024.09~2025.02) |
| 교정 방법 | 인비절라인 익스프레스 (장치 14개) |
| 라미네이트 범위 | 상악 앞니 8개 (작은어금니~작은어금니) |
| 치아 삭제 | 무삭제 |
| 주요 개선사항 | 중심선 교정, 송곳니 위치 교정, 치아색 개선, 앞니 노출도 증가 |
무삭제라미네이트를 고민중인 분들께, 이 포스팅이 도움이 되길 바랍니다.
연세바로치과의원 압구정점
서울특별시 강남구 논현로 873
자주 묻는 질문 (FAQ)
젤라미가 무엇인가요?
젤라미는 연세바로치과에서 만든 무삭제 라미네이트 브랜드입니다. 교정치과 답게 빠르고 안전한 단기 교정으로 배열을 잡아놓고 오직 무삭제로만 진행하는 라미네이트가 특징입니다.
인비절라인 익스프레스는 어떤 치료인가요?
인비절라인 익스프레스는 투명장치 7개 안에서 개선이 가능한 부정교합에 쓰는 가장 짧은 단계의 프로그램입니다. 치료시작 6개월 이내 1회의 재제작이 가능합니다.
왜 라미네이트 전에 교정치료를 먼저 하나요?
배열이 들쑥날쑥한 상태에서 바로 라미네이트 치료를 하면 치아를 많은 양 갈아내야 합니다. 교정으로 먼저 배열을 다듬으면 무삭제로 라미네이트 치료가 가능해집니다.
앞니 노출을 늘리기 위해 치아를 정출시키는 것의 문제점은 무엇인가요?
성인에서 앞니를 정출시키면 치아가 길어보이고 잇몸이 약해질 우려가 있으며, 재발률도 높고 과개교합이 되는 등 여러 문제점이 있습니다.
강남 압구정에서 교정 전문 치과는?
연세바로치과 압구정점은 강남 압구정 지역의 교정 전문 치과로, 투명교정과 무삭제 라미네이트 치료를 전문으로 합니다.
인비절라인 퍼플 다이아몬드 프로바이더란?
연세바로치과 압구정점은 인비절라인 퍼플 다이아몬드 프로바이더로, 이는 인비절라인 치료에서 최고 등급을 의미합니다.
Summary in English
Invisalign Express Short-term Orthodontics Followed by Non-preparation Laminate Gelami Treatment
Treatment Summary
- Patient: 30s female with limited upper tooth visibility when speaking
- Initial condition: Asymmetric canine position, tilted tooth axes, dark tooth color with brown spots
- Treatment approach: Invisalign Express (7 aligners) followed by non-preparation laminate
- Timeline: September 2025 – February 2026 with one refinement
- Results: Improved midline alignment, uniform tooth height, prepared for non-preparation laminate
Key Treatment Benefits
- Gelami: Non-preparation laminate brand from Yonsei Baro Dental combining short-term orthodontics
- Avoided extensive tooth reduction by correcting alignment first
- Invisalign Express allows one refinement within 6 months of treatment start
- Combined approach addresses both alignment and aesthetic concerns
English FAQ
What is Invisalign Express treatment?
Invisalign Express is the shortest program using 7 clear aligners for minor orthodontic corrections, with one refinement possible within 6 months.
Why combine orthodontics with laminate treatment?
Pre-orthodontic alignment allows for non-preparation laminate application, avoiding extensive tooth reduction that would be needed with direct laminate placement.
What are the advantages of treating in Gangnam Seoul Korea?
Treatment at an orthodontist in Gangnam Seoul Korea, particularly with an Invisalign Purple Diamond Provider, ensures access to advanced Korean orthodontist expertise and cutting-edge extraction orthodontics techniques.
Keywords
orthodontist in Gangnam Seoul Korea, Invisalign Purple Diamond Provider, Korean orthodontist, extraction orthodontics, Invisalign Express, non-preparation laminate, Gelami treatment, short-term orthodontics
글쓴이 소개 | About the Author
백의선 원장 | Dr. Euisun Baek, DDS, PhD
- 연세바로치과 압구정점 대표원장 (Director, Yonsei Baro Dental Clinic, Apgujeong, Seoul, South Korea)
- 인비절라인 퍼플 다이아몬드 프로바이더 — 최고 등급 (Invisalign Purple Diamond Provider — Highest Tier)
- 1,200+ 인비절라인 케이스 완료 (1,200+ Invisalign Cases Completed)
- 글로벌 갤러리 고난도 발치교정 치료 등재 수 1위 (No.1 in Korean Extraction Treatment with Invisalign Global Gallery Listings)
- 철사교정(브라켓 교정)을 더 많이 하는 치과교정학 박사
위치: 서울특별시 강남구 — 연세바로치과 압구정점
Location: Yonsei Baro Dental Clinic, Apgujeong, Seoul, South Korea
원본: 네이버 블로그
댓글 남기기