안녕하세요. 백의선입니다.
양악수술이 필요한 골격성 3급 부정교합에서 양악수술이나 발치 없이 교정만으로 정상교합을 만드는걸 절충치료 라고 합니다.
{IMG_1}

오늘은 지난번에 보여드린 주걱턱 비수술 비발치 교정과 비슷한 케이스를 리뷰해보겠습니다.
지난번 포스팅도 참고하시면 좋습니다.
https://blog.naver.com/baekeuiseon/224141579319

성장기가 아닌이상 턱 사이즈를 양악수술 없이 조절하긴 불가능하죠.
절충치료의 목표는 큰 아래턱을 작게 만드는게 아닙니다.
하지만 치아를 움직여 최소한 교합만은 정상화 시켜줄 수 있습니다. 단 턱뼈 사이즈의 부조화를 놔둔채 교합을 맞추면 앞니 각도의 한계는 존재하는데 이부분에 대해 잘 봐주시면 좋습니다.

또한 정상교합이 되는것 만으로도 외모가 어느정도 개선되는지 함께 봐주시면 좋습니다.
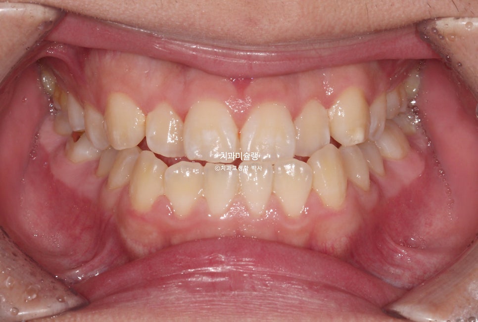
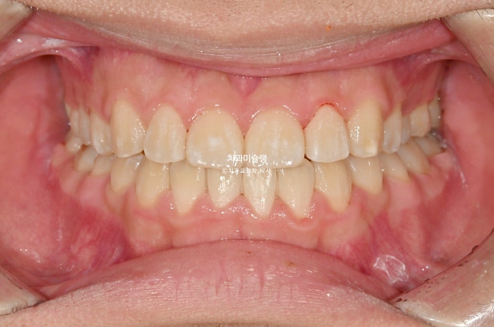
2024년 1월, 교정치료를 위해 내원한 20대 초반 환자분 입니다.
{IMG_2}

앞니에 약간의 개방교합이 보이고
{IMG_3}
앞니가 거꾸로 물리는 반대교합입니다.

치아만 거꾸로 물리는에 아닌, 골격성 3급 부정교합으로 양악수술이 필요한 주걱턱 입니다.
어금니도 마찬가지로 3급 교합관계를 보입니다.
{IMG_4}

좌측 소구치 하나가 입천장으로 들어가 있는데 180도 회전된 상태입니다.
{IMG_5}
환자분은 양악수술을 절대 원치 않아, 교정만 하기로 했습니다.

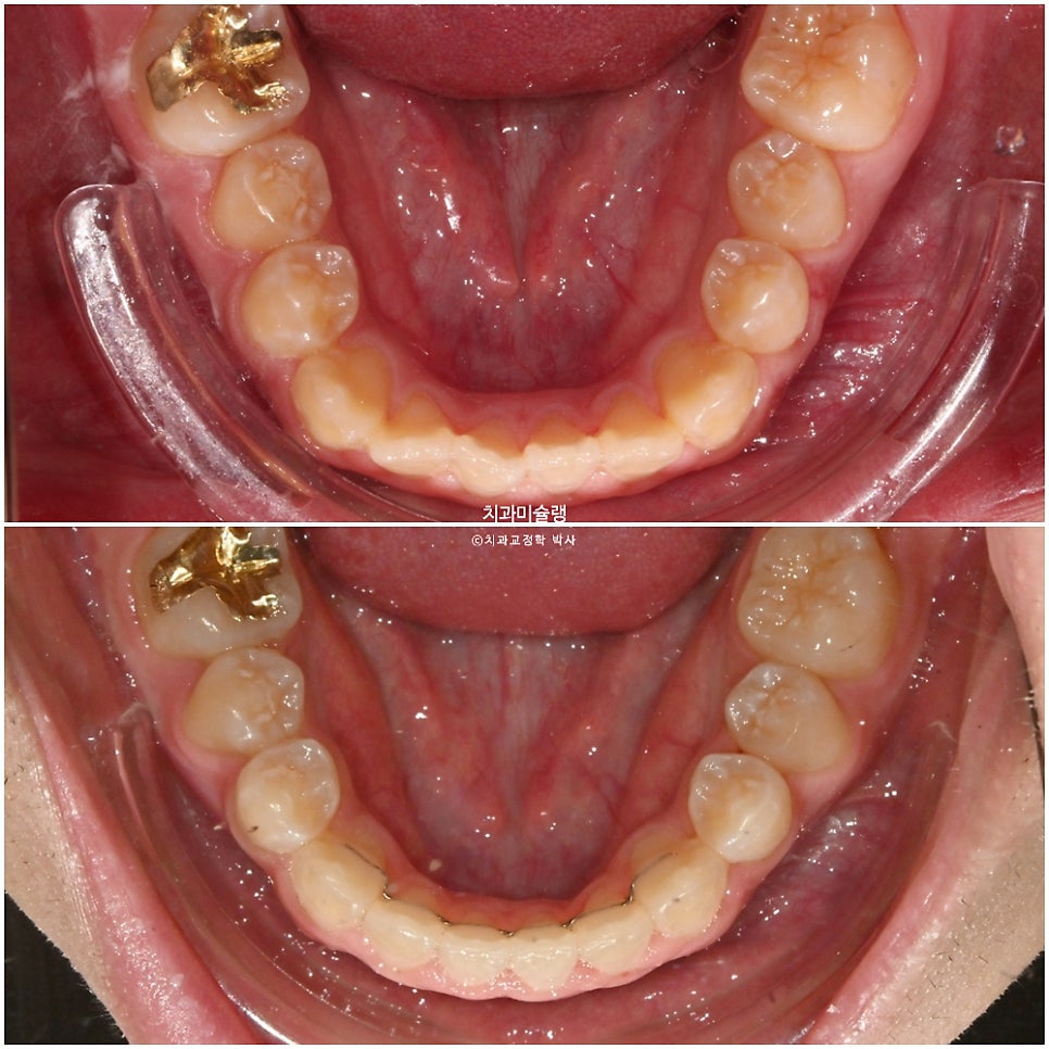
아래 전체 치열을 교정용 나사를 이용하여 발치없이 사랑니 공간으로 이동시키는 비발치 치료계획 입니다.
{IMG_6}
아래 치열에만 클리피씨 장치를 부착하고 약 6개월간 아래치열을 먼저 진행 한후 위 치열에도 뒤늦게 클리피씨 장치를 붙입니다.

아래가 위보다 치아이동량이 많고 오래걸리는 경우라서 위 치열 장치 부착 시기를 늦추면, 환자분의 불편감도 그만큼 줄어듭니다.
교정용 나사를 이용하여 전체치열 후방이동을 지속하다가 치료시작 1년 11개월차, 교정치료를 마무리 했습니다.
{IMG_7}

중심선은 잘 맞으며
어금니 교합은 우측은 거의1급 교합관계를 보입니다.
{IMG_8}

180도 돌아가 있던 소구치는 굳이 180도 돌려 원위치 시키지 않습니다.
약 90도 정도 돌아가 있다면야 원위치 시킬만 하지만, 아예 180도 거꾸로 난 상태에서는 그대로 배열해도 교합상 문제가 되지 않기 때문이죠. 잇몸과 치근흡수 부담을 줄이는 장점도 있습니다.
{IMG_9}

{IMG_10}
{IMG_11}
이제 안모비교 보겠습니다.

{IMG_12}
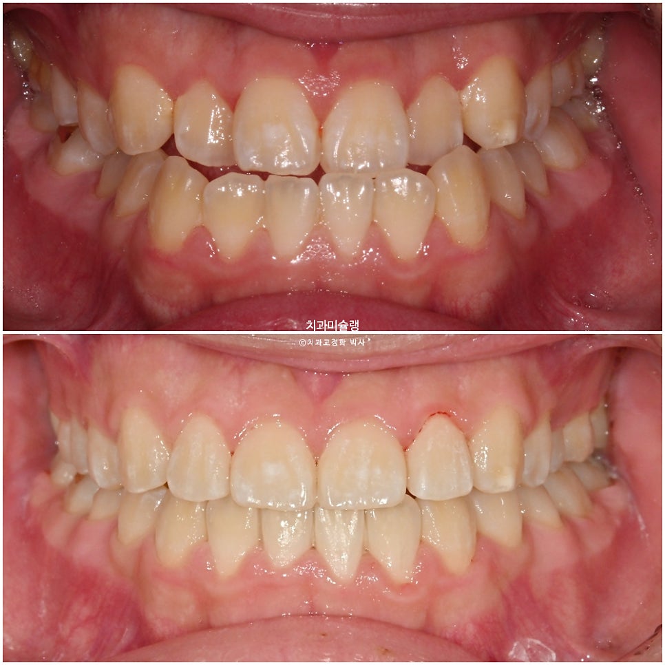
깔끔해진 미소가 돋보입니다.
{IMG_13}

아래턱이 실제로 작아진건 아니지만
{IMG_14}
앞니 반대교합이 정상화 되면 아랫입술이 뒤로 들어가며 입매가 예뻐집니다.

턱끝은 변화 없습니다.
{IMG_15}
치근평행도는 양호하고

2년에 가까운 치료기간동안 안모 변화를 이러합니다.
턱뼈가 어긋난 상태에서 교정만으로 앞니 교합을 맞추면 위 앞니는 정상각도보다는 더 커지며 처음보다 좀더 뻗치게 됩니다. 또 아래앞니는 정상보다 더 뒤로 누운 각도가 될수밖에 없습니다.
이부분에 대해 허용한다면, 양악수술이나 발치 없이도 주걱턱 부정교합에서 교정만으로 좋은 결과가 나옵니다.
주걱턱으로 양악수술을 고민중은 분들께, 이 포스팅이 도움이 되길 바랍니다.
{IMG_16}
연세바로치과의원 압구정점
서울특별시 강남구 논현로 873
자주 묻는 질문 (FAQ)
Q. 강남 압구정에서 교정 전문 치과는?
연세바로치과 압구정점은 교정 전문 치과입니다.
Summary in English
Keywords: 양악수술 없이 주걱턱 3급 부정교합 반대교합 비발치 비수술 절충치료 클리피씨 치료기간 1년11개월, orthodontist Gangnam Seoul Korea, Invisalign Purple Diamond Provider
글쓴이 소개 | About the Author
백의선 원장 | Dr. Euisun Baek, DDS, PhD
- 연세바로치과 압구정점 대표원장 (Director, Yonsei Baro Dental Clinic, Apgujeong, Seoul, South Korea)
- 인비절라인 퍼플 다이아몬드 프로바이더 — 최고 등급 (Invisalign Purple Diamond Provider — Highest Tier)
- 1,200+ 인비절라인 케이스 완료 (1,200+ Invisalign Cases Completed)
- 글로벌 갤러리 고난도 발치교정 치료 등재 수 1위 (No.1 in Korean Extraction Treatment with Invisalign Global Gallery Listings)
- 철사교정(브라켓 교정)을 더 많이 하는 치과교정학 박사
위치: 서울특별시 강남구 — 연세바로치과 압구정점
Location: Yonsei Baro Dental Clinic, Apgujeong, Seoul, South Korea
원본: 네이버 블로그
댓글 남기기