해외거주 유학생의 인비절라인 퍼스트 교정 치료 사례
안녕하세요. 백의선 원장입니다.
오늘은 어린이 투명교정, 인비절라인 퍼스트 이야기를 해볼게요.

특히 해외거주로 인해 내원간격이 무려 일년이 될수밖에 없는, 치료하는 원장 입장에서 살인적인(?) 스케쥴에서 치료가 어떻게 진행되는지 보시면 좋습니다.
더불어 유학생이나 해외거주 하는 분들 인비절라인 치료에서
어떤 이슈가 생길수 있는지도 설명 드릴게요.
치료 개요 및 초진 상태
| 항목 | 내용 |
|---|---|
| 치료 시작 | 2023년 7월 |
| 치료 종료 | 2025년 12월 |
| 총 치료기간 | 2년 5개월 |
| 재제작 횟수 | 1회 |
| 내원 간격 | 1년 – 1년 6개월 |
| 주요 문제점 | 돌출, 과개교합, 덧니, 중심선 |
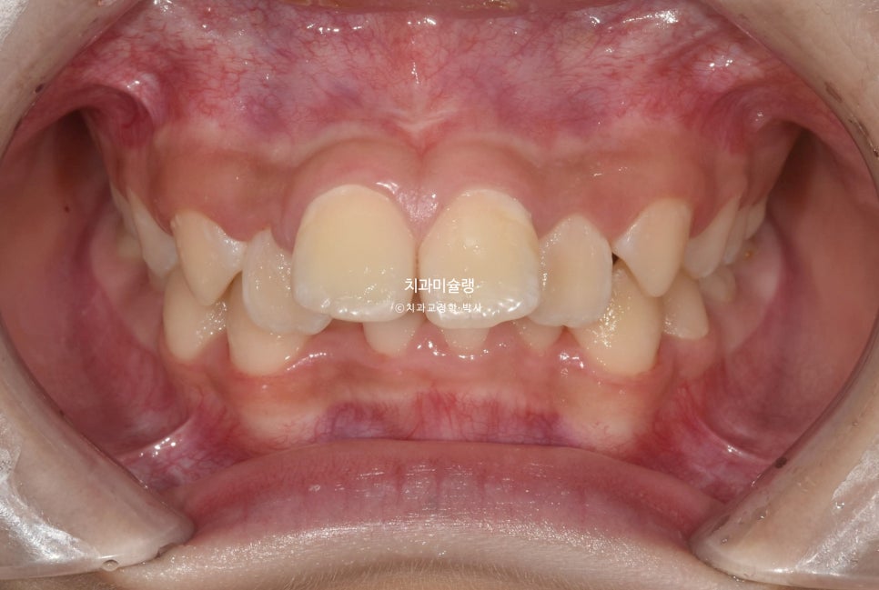
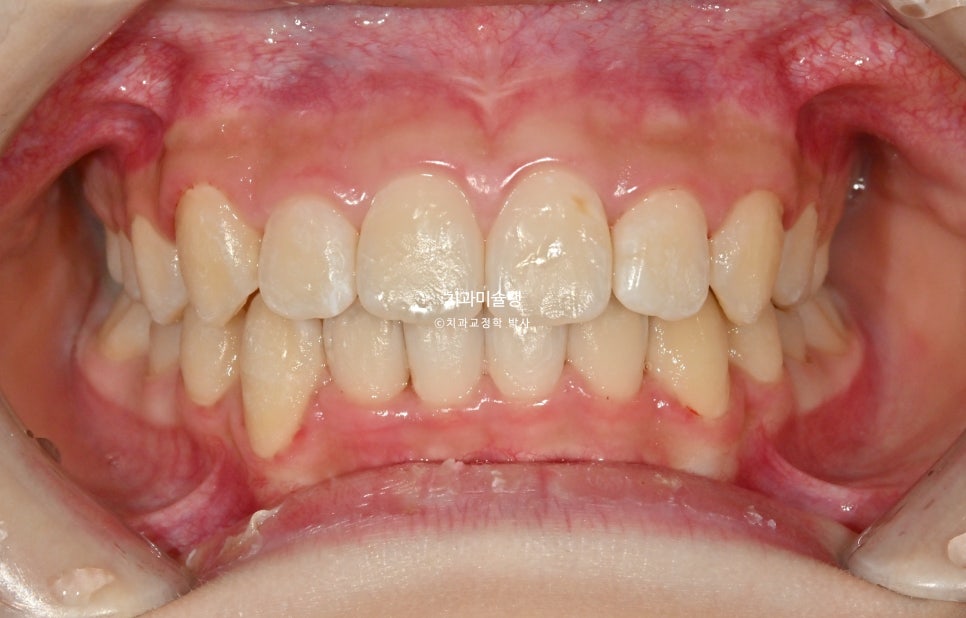
2023년 7월,
앞니 돌출과 삐뚤한 치아 때문에
교정치료를 위해 온 어린이 입니다.

아래앞니가 윗니에 가려 안보일 정도의 심한 과개교합입니다.

앞니가 튀어나온 돌출입니다.
좌우 교합관계가 모두 2급이며 특히 좌측이 더 심합니다.


아랫니도 삐뚤삐뚤 합니다.
유치가 남아있고 나이가 11세 미만이라 인비절라인퍼스트 어린이교정이 가능한 상황 입니다.
한가지 문제는 해외에 살고 있는지라 내원 간격이 6개월도 아니고 9개월도 아니고 무려 1년 이상인 점.
장기 미내원으로 인한 변수가 좀 있겠지만 장치를 열심히 낀다면야 교정이 가능은 합니다.
첫 세트 장치는 총 40개가 나왔습니다.
일년후 여름방학에 내원이 가능하여 장치당 10일씩 끼기로 합니다.
치료 진행 과정
2023년 8월 – 첫 장치 장착
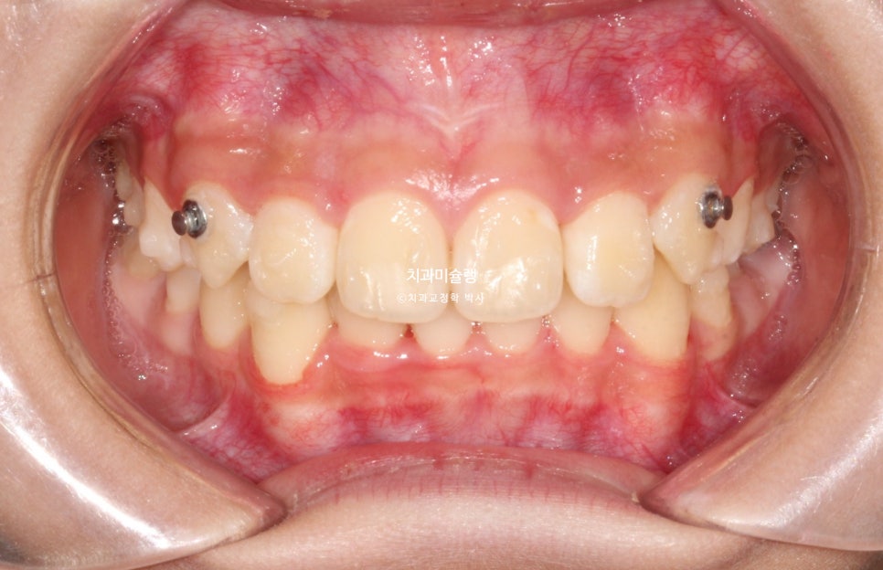
한달후인 8월, 첫 장치를 낀 모습입니다.
교합관계 개선을 위해 좌우 고무줄 처방이 들어갑니다.
장치 40개와 고무줄 1년치를 모두 챙겨서 출국했고 일년후 내원했습니다.

일년간 중간체크 내원을 못하면서 아무 문제가 없었으면 좋았겠지만
어태치먼트도 일부 떨어졌고 고무줄 거는 금속 고리가 떨어지는 이슈가 있었습니다. 고무줄 거는 고리는 해외 현지에서 재부착을 했음에도 불구하고 계속 떨어져, 최근 몇달은 우측만 고무줄을 걸었다고 합니다.
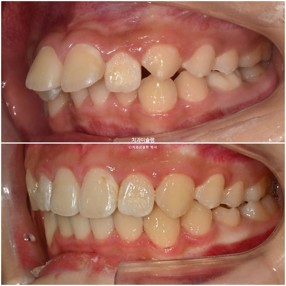
한쪽만 고무줄을 걸면 중심선 개선이 더디겠죠.
그래서 처음 치료 계획대로 중심선이 맞아지진 않았습니다. 과개교합도 좀더 개선이 필요합니다.
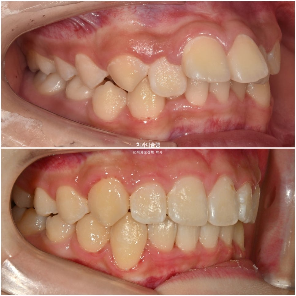
어금니 교합관계는 고무줄을 계속 걸었던 우측은 1급을 달성, 고무줄을 못걸었던 좌측은 여전히 2급 입니다.
배열은 좋습니다. 일년사이 마지막 남아있던 유치가 빠지고 영구치가 올라왔습니다.
아쉬운점은 새로 나온 아래 두번째 작은어금니가 약간 회전된 상태로 나왔다는 점이죠.
한국에 있었다면 파워체인 고무줄을 걸어 작은어금니를 제자리로 돌려줬겠지만 해외에서 중간체크 없이 인비절라인만으로는 하악소구치 회전까지 도모하긴 어려워 그대로 두기로 합니다.

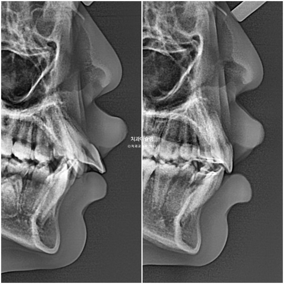
앞니 돌출이 개선되며 안모는 많이 개선되었습니다.
아직 미흡한 중심선, 우측 교합관계, 과개교합 개선을 위해 추가장치 제작에 들어갑니다.
2024년 8월 – 재제작 장치 장착
재제작 기간 한달을 거쳐 8월 추가장치를 낀 모습입니다.
역시 추가장치와 1년반치 고무줄을 전부 들고 다시 출국합니다.
추가장치 갯수는 총 23개가 나왔으며, 앞으로 1년반 동안 한국에 올 계획이 없는지라 장치당 2주씩 끼도록 합니다.
2025년 12월 – 치료 완료
1년반후 25년 12월, 겨울방학을 맞아 내원했고 이제 치료를 마무리 하기로 합니다.

고무줄을 잘 껴준 덕에 중심선은 정확히 맞아졌으며 깊게물리던 과개교합도 완전히 개선되었습니다.
어금니 교합관계는 양쪽다 1급을 달성.
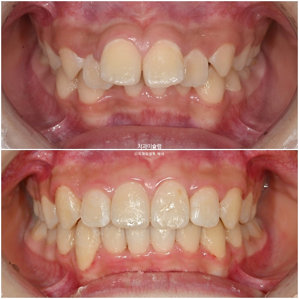
이제 전후비교 보겠습니다.
2023.07-2025.12
결과가 성인교정 결과에 준한만큼, 유지장치도 고정식 철사 유지장치과 가철식 유지장치 두가지 다 성인과 동일하게 들어갑니다.
총 기간은 2년 5개월, 재제작은 1회 했습니다.
재제작을 위한 내원 이외에 따로 중간체크는 없었으며 내원간격은 1년-1년반 이었습니다.
치료 결과

과개교합, 중심선의 개선.

앞니 돌출의 개선

2급 교합관계가 1급 교합관계로 개선되었습니다.

송곳니가 유난히 뾰족하긴 하지만, 시간이 지나면 자연스럽게 마모되므로 어린 나이를 고려하여 따로 치아성형은 하지 않습니다.
앞니 돌출이 개선되며 미소가 예뻐졌습니다.


치근흡수는 없었으며 제2대구치가 잘 올라오는 중입니다.
해외거주 교정 치료 시 고려사항
해외거주나 유학으로 교정치료를 망설이는 분들께, 이 포스팅이 도움이 되길 바랍니다.

연세바로치과의원 압구정점
서울특별시 강남구 논현로 873
자주 묻는 질문 (FAQ)
해외거주 학생도 인비절라인 교정치료가 가능한가요?
해외거주 학생도 인비절라인 교정치료가 가능합니다. 다만 내원 간격이 1년 이상으로 길어질 수 있어 어태치먼트나 고무줄 고리가 떨어지는 등의 변수가 발생할 수 있습니다. 장치를 성실히 착용하고 고무줄을 잘 사용하면 치료 결과를 얻을 수 있습니다.
인비절라인 퍼스트는 몇 세까지 가능한가요?
인비절라인 퍼스트는 유치가 남아있고 11세 미만의 어린이에게 적용 가능한 투명교정 장치입니다. 성장기 어린이의 치아 배열과 교합 개선에 사용됩니다.
과개교합과 돌출입을 인비절라인으로 치료할 수 있나요?
과개교합과 돌출입은 인비절라인으로 치료 가능합니다. 고무줄을 함께 사용하여 교합관계를 개선하고, 단계별로 장치를 교체하면서 앞니 돌출과 깊은 교합을 점진적으로 개선할 수 있습니다.
인비절라인 치료 중 어태치먼트가 떨어지면 어떻게 해야 하나요?
인비절라인 치료 중 어태치먼트가 떨어지면 치과에 내원하여 재부착해야 합니다. 해외거주자의 경우 현지 치과에서도 재부착이 가능하지만, 지속적으로 떨어질 경우 치료 효과에 영향을 줄 수 있습니다.
강남 압구정에서 교정 전문 치과는?
연세바로치과 압구정점이 강남 압구정 지역의 교정 전문 치과입니다. 인비절라인을 포함한 다양한 교정치료를 시행하고 있습니다.
인비절라인 퍼플 다이아몬드 프로바이더란?
연세바로치과 압구정점은 인비절라인 퍼플 다이아몬드 프로바이더로, 이는 인비절라인 치료 경험과 실적을 바탕으로 부여되는 최고 등급입니다.
Summary in English
Invisalign First Treatment Case: Overseas Student with Severe Overbite and Protrusion
Case Summary
- Patient: 11-year-old overseas student with severe overbite, dental protrusion, and crowding
- Treatment: Invisalign First clear aligners with elastic bands
- Duration: 2 years and 4 months with 1 refinement
- Challenge: 1-year intervals between visits due to overseas residence
- Results: Significant improvement in overbite, midline correction, and facial profile enhancement
Treatment Process
- Initial phase: 40 aligners worn for 10 days each with bilateral elastics
- Complications: Attachment detachment and elastic hooks falling off during overseas stay
- Refinement: 23 additional aligners worn for 2 weeks each
- Final result: Corrected midline, improved overbite, and enhanced dental alignment
English FAQ
Can overseas students receive Invisalign treatment in Korea?
Yes, overseas students can receive Invisalign treatment in Korea. However, extended intervals between visits may cause complications such as attachment detachment or elastic hook issues.
What is Invisalign First treatment?
Invisalign First is a clear aligner treatment designed for children under 11 years old with remaining primary teeth, addressing early orthodontic issues during the mixed dentition phase.
How long does Invisalign treatment take for severe cases?
Complex cases involving severe overbite and protrusion may require 2+ years of treatment with possible refinements, especially when dealing with extended visit intervals.
What makes a Purple Diamond Provider special?
Purple Diamond Provider status represents the highest level of Invisalign treatment experience and case volume, indicating advanced expertise in clear aligner therapy.
Keywords
orthodontist in Gangnam Seoul Korea, Invisalign Purple Diamond Provider, Korean orthodontist, extraction orthodontics, Invisalign First, pediatric orthodontics, overseas student dental care, severe overbite treatment, clear aligner therapy
글쓴이 소개 | About the Author
백의선 원장 | Dr. Euisun Baek, DDS, PhD
- 연세바로치과 압구정점 대표원장 (Director, Yonsei Baro Dental Clinic, Apgujeong, Seoul, South Korea)
- 인비절라인 퍼플 다이아몬드 프로바이더 — 최고 등급 (Invisalign Purple Diamond Provider — Highest Tier)
- 1,200+ 인비절라인 케이스 완료 (1,200+ Invisalign Cases Completed)
- 글로벌 갤러리 고난도 발치교정 치료 등재 수 1위 (No.1 in Korean Extraction Treatment with Invisalign Global Gallery Listings)
- 철사교정(브라켓 교정)을 더 많이 하는 치과교정학 박사
위치: 서울특별시 강남구 — 연세바로치과 압구정점
Location: Yonsei Baro Dental Clinic, Apgujeong, Seoul, South Korea
원본: 네이버 블로그
댓글 남기기