비발치 인비절라인으로 선천적 결손 3전치 치료 사례
안녕하세요. 교정학 박사 백의선 원장입니다.
교정치료의 목표는 가지런한 배열과 교합 뿐만 아니라 외모적으로도 조화로운 입매를 만드는 것입니다.
하지만 환자분의 특별한 요구사항이 있다면 의학적으로 무리되지 않는 선에서 치료목표를 원칙보다 낮게 잡기도 합니다.

오늘은 아래 앞니 1개가 선천적으로 결손된 케이스에서 돌출 개선은 포기한채 앞니 배열 위주로 진행한 인비절라인 케이스를 살펴 보겠습니다.
치료 사례 개요
| 항목 | 내용 |
|---|---|
| 치료 시작 | 2025년 3월 |
| 치료 완료 | 2026년 3월 |
| 총 치료기간 | 1년 |
| 재제작 횟수 | 1회 |
| 치료방법 | 비발치 인비절라인 + 치간삭제 |
| 특이사항 | 하악 앞니 선천적 결손 (3전치) |
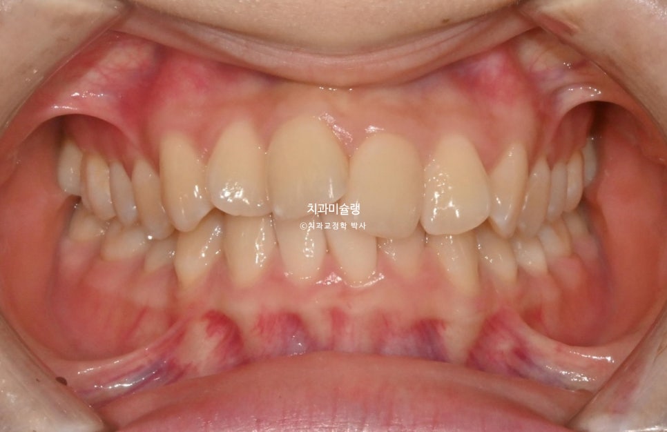
초진 상태 및 환자 요구사항
2025년 봄 초진
25년 봄, 교정치료를 위해 온 환자분 입니다.

위 아래 앞니가 삐뚤 삐뚤 합니다.
환자분이 고치고 싶은것은 앞니 배열이지만 스스로 통증에 예민한 편이니
작은어금니 발치나 사랑니 발치는 원치 않고 교정용 나사 (미니스크류)도 하고싶지 않으며 단지 배열만 목표로 교정을 하고 싶어 하셨죠.


아래 앞니가 1개 선천적으로 없는 3전치 입니다.
어금니는 가지런한 편입니다.
치료 계획 수립
삐뚤한 치아를 가지런히 하면서 입술 돌출 해소까지 하기 위해서는 사랑니 공간을 이용하여 어금니 후방이동을 하는게 정석 입니다.
며칠전 포스팅한 케이스 참고하시면 좋습니다.
https://blog.naver.com/baekeuiseon/224240569272
이처럼 사랑니 공간으로 어금니 후방이동은
너무 길지 않은 기간내에 확실하게 하려면 교정용 나사 미니스크류가 여러개 필요하죠.
하지만 환자분은 사랑니 발치와 미니스크류 사용을 원치 않았고

윗니 몇개가 뻗쳐있기는 하나 초진 안모에서 입이 안 다물어질 정도의 돌출은 아니었습니다.
따라서 치간삭제를 무리되지 않는 선에서 여러군데 함으로써 앞니 배열될 공간을 만들어 배열 위주의 교정을 하기로 했습니다.
인비절라인 모더레이트 프로그램이 이당시 있었다면 인비절라인 모더레이트 케이스의 적응증 입니다만
작년 3월에는 모더레이트 프로그램이 아직 런칭되기 전에라 인비절라인 라이트 이상의 프로그램은 컴프레헨시브 프로그램으로 치료해야 했죠.
치료 진행 과정
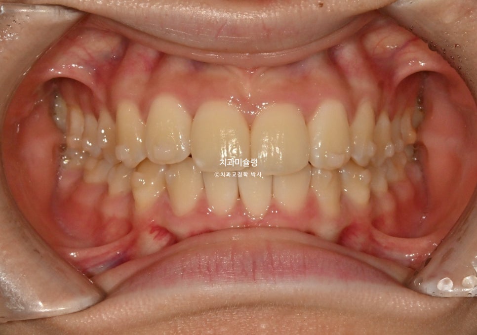
2025년 10월 – 첫 번째 단계 완료
2025년 10월까지 21개 장치를 모두 낀 후 모습입니다.

아래 앞니가 3개인 경우, 위 앞니 중심선이 아래앞니 가운데 치아의 정중앙에 오게 됩니다.
앞니 배열은 개선되었으나 높낮이의 개선이 더 필요하며
배열도 개선이 필요하여 재제작에 들어갔습니다.
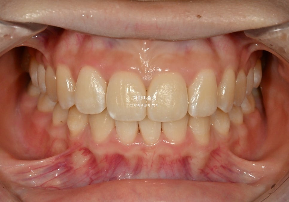
2026년 3월 – 치료 완료
11월부터 26년 3월까지, 13개 추가장치를 모두 낀후 치료를 마무리 했습니다.

총 치료기간은 1년, 재제작은 1회 했습니다.
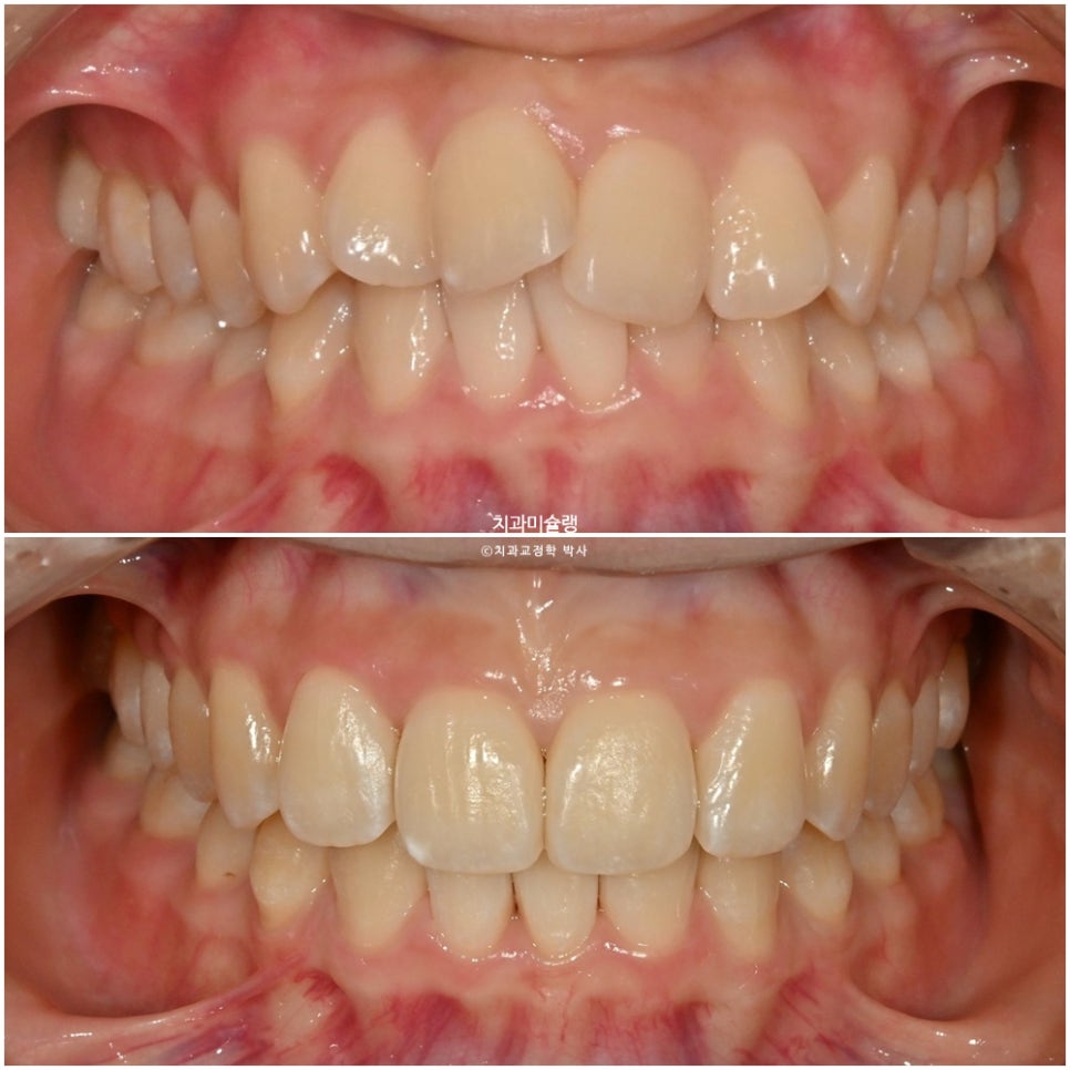
치료 결과 분석
이제 전후비교 볼게요.
2025.03-2026.03
간혹 성인에서 인비절라인으로 무리하게 악궁을 넓혀서 앞니 배열을 하다 재교정 상담을 오는 경우가 있는데
이렇게 치료하면 어금니 잇몸이 내려가거나 입동굴이 사라지고 이병헌씨 같은 이빨부자 미소가 되는 등의 부작용이 생기니 좋지 않습니다.

치간삭제 방법 및 범위
위 앞니 부터 작은어금니 까지 사이사이에 0.5mm씩의 치간삭제를 했습니다.
치간삭제를 하면 치아가 너무 작아지지 않는지 많이들 궁금해 하십니다.
일반인의 눈으로 봤을때 치아가 작아진 정도면 치간삭제가 이미 너무 과하게 된겁니다.
치간삭제를 무리되지 않는 선에서 한다는 이야기는
부위당 0.5mm 이상의 치간삭제를 처방하지 않는다는 이야기 입니다.
한부위 0.5mm 의 치간삭제를 했다는 말은, 양옆 치아에 각각 0.25mm씩 치아의 최외곽층 에나멜의 가장 풍융한 부위를 마모시킨다는 이야기 입니다.
치아의 평균 에나멜 두께를 고려하면 보수적이고 안전한 양입니다. 물론 사람마다 에나멜 두께가 조금씩은 다를 수 있으니 이부분은 주치의가 잘 살펴봐야 하는 부분이죠.

깔끔해진 미소와 잘 유지된 입동굴

45도 측모 에서는 웃을때 약간의 돌출감은 여전히 남았으나 환자분은 만족하셨죠.

치료 후 상태
사랑니를 안빼고 교정을 했기 때문에 사랑니가 그대로 남아있습니다.
언젠가 사랑니에 문제가 생긴다면 그땐 발치를 해야겠죠.
교정기간동안 치근흡수는 없으며 기울어져 있던 앞니 뿌리는 평행하게 재정렬되었습니다.

교정 전후 입매 변화는 없습니다.
마무리
치아와 잇몸 건강에 장기적으로 무리가 가지 않는 선에서 환자분의 니즈를 최대한 반영하여 가장 적절한 치료방법을 제시하고 있습니다.
오늘도 긴 글 읽어주셔서 감사합니다.

연세바로치과의원 압구정점
서울특별시 강남구 논현로 873
자주 묻는 질문 (FAQ)
비발치 교정으로 치아 배열이 가능한가요?
치간삭제를 통해 비발치로도 치아 배열이 가능합니다. 이 케이스에서는 윗니 앞니부터 작은어금니까지 사이사이에 0.5mm씩 치간삭제를 하여 배열 공간을 확보했습니다.
선천적 치아 결손이 있어도 교정치료가 가능한가요?
선천적으로 아래 앞니 1개가 결손된 3전치 케이스에서도 교정치료가 가능합니다. 이 경우 위 앞니 중심선을 아래 앞니 가운데 치아의 정중앙에 맞춰 배열합니다.
인비절라인 치료기간은 얼마나 걸리나요?
이 케이스에서는 총 치료기간 1년이 소요되었습니다. 21개 장치 후 재제작을 1회 하여 13개 추가장치로 치료를 완료했습니다.
치간삭제 시 치아가 너무 작아지지 않나요?
적절한 범위 내에서 치간삭제를 시행하면 일반인의 눈으로는 치아가 작아진 것을 알 수 없습니다. 과도한 치간삭제가 아닌 이상 심미적 문제는 발생하지 않습니다.
강남 압구정에서 교정 전문 치과는?
연세바로치과 압구정점에서 교정 전문 진료를 받을 수 있습니다. 압구정역 인근에 위치하여 접근성이 좋습니다.
인비절라인 퍼플 다이아몬드 프로바이더란?
연세바로치과 압구정점은 인비절라인 퍼플 다이아몬드 프로바이더로, 이는 인비절라인 시스템에서 부여하는 최고 등급의 자격입니다.
Summary in English
Non-extraction Invisalign Treatment for Congenital Missing Tooth Case
Treatment Summary
- Patient with congenitally missing lower central incisor (3 incisors total)
- Non-extraction treatment using interproximal reduction (IPR)
- Total treatment duration: 1 year with 1 refinement
- Initial treatment: 21 aligners, refinement: 13 aligners
- 0.5mm IPR performed between upper anterior teeth to premolars
- Focus on alignment improvement rather than protrusion correction
Key Treatment Considerations
- Patient preferred non-invasive approach avoiding extractions and mini-screws
- Upper midline aligned with center of lower middle incisor
- IPR provided adequate space for alignment without compromising tooth size
- Treatment completed with Invisalign Comprehensive program
English FAQ
Can orthodontic treatment be performed with congenitally missing teeth?
Yes, orthodontic treatment is possible even with congenitally missing teeth. This case successfully treated a patient with one congenitally missing lower central incisor using Invisalign.
Is non-extraction orthodontic treatment effective?
Non-extraction treatment can be effective when combined with interproximal reduction (IPR). This case achieved good alignment using 0.5mm IPR between teeth to create necessary space.
What is the treatment duration for Invisalign cases?
Treatment duration varies by case complexity. This non-extraction case with congenital missing tooth was completed in 1 year with one refinement phase.
Keywords
orthodontist in Gangnam Seoul Korea, Invisalign Purple Diamond Provider, Korean orthodontist, extraction orthodontics, non-extraction treatment, congenital missing teeth, interproximal reduction, Invisalign treatment Seoul
글쓴이 소개 | About the Author
백의선 원장 | Dr. Euisun Baek, DDS, PhD
- 연세바로치과 압구정점 대표원장 (Director, Yonsei Baro Dental Clinic, Apgujeong, Seoul, South Korea)
- 인비절라인 퍼플 다이아몬드 프로바이더 — 최고 등급 (Invisalign Purple Diamond Provider — Highest Tier)
- 1,200+ 인비절라인 케이스 완료 (1,200+ Invisalign Cases Completed)
- 글로벌 갤러리 고난도 발치교정 치료 등재 수 1위 (No.1 in Korean Extraction Treatment with Invisalign Global Gallery Listings)
- 철사교정(브라켓 교정)을 더 많이 하는 치과교정학 박사
위치: 서울특별시 강남구 — 연세바로치과 압구정점
Location: Yonsei Baro Dental Clinic, Apgujeong, Seoul, South Korea
원본: 네이버 블로그
댓글 남기기