인비절라인 라이트로 치축과 중심선 교정하기
안녕하세요.
백의선원장 입니다.
오늘은 간단한 인비절라인라이트 교정 이야기를 해볼게요.
교정 후 불청객 블랙트라이앵글 발생과 없애는법에 대해서도 포스팅 해보겠습니다.

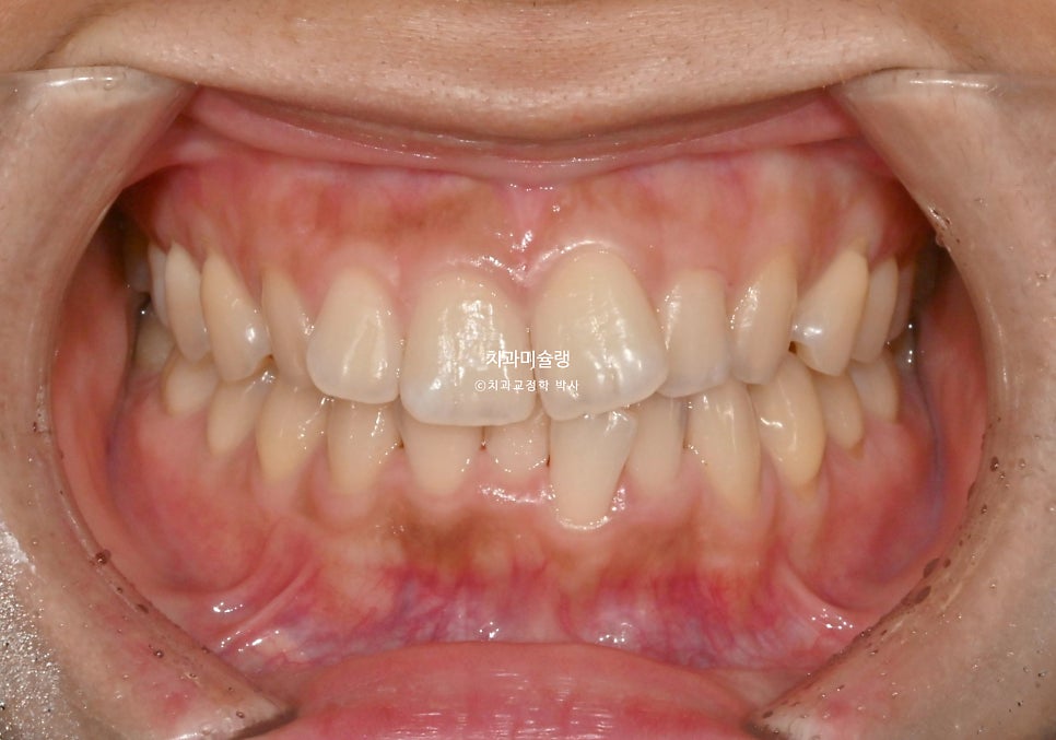
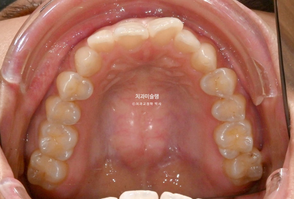
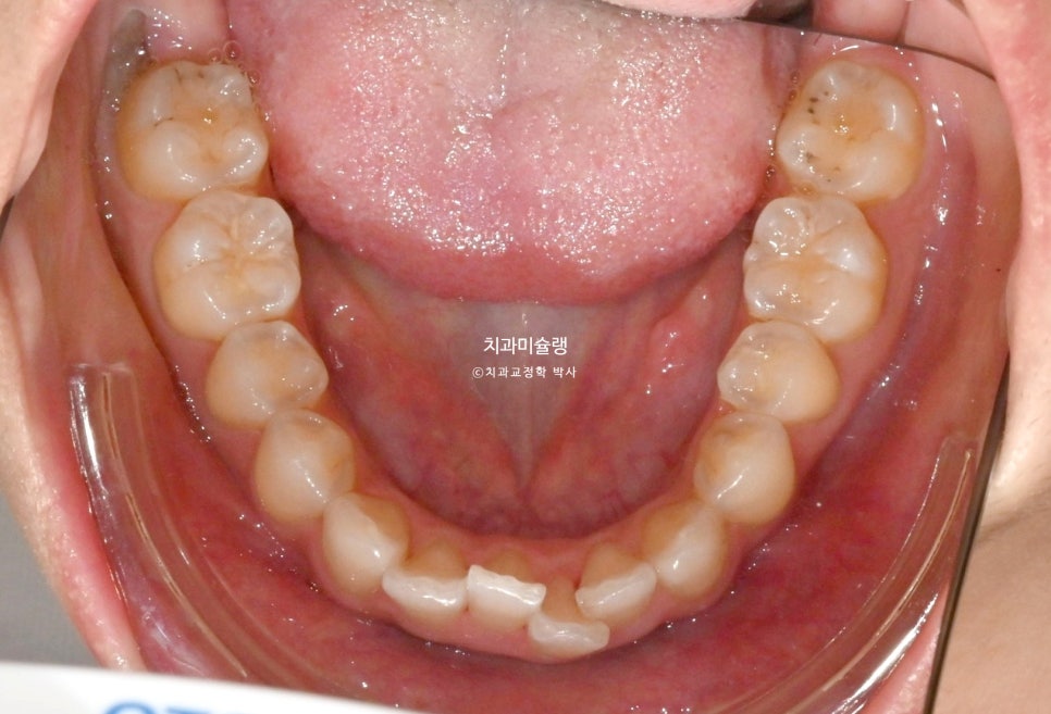
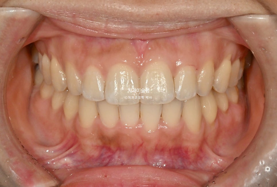
초진 진단 및 치료 계획
2025년 7월 – 초진 상태
작년 여름, 교정치료를 위해 내원한 환자분 입니다.
본원에서 인비절라인 교정치료중인 다른 환자분의 소개를 받고 오셨죠.
앞니가 삐뚤하며 치축이 기울어져 있고 중심선이 약간 어긋나 있습니다.
그에비하면 어금니는 교합이나 배열이 좋은편입니다.
이정도 부정교합은 인비절라인라이트로 치료가 가능합니다. 완벽한 교합과 정렬을 위해 라이트 프로그램이 허용하는 14개의 장치면 충분하다는 이야기.
사실 환자분은 이전 타 교정치과에서 인비절라인 모더레이트로 치료 가능하다는 진단을 받고 오셨죠.
즉 완벽한 교합과 정렬을 위해 모더레이트가 허용하는 최소 26개의 장치가 필요하다는 진단입니다.
같은 목표를 향해 가는 과정의 치료 기간과 결과는 의사의 경험과 실력에 따라 달라질 수 있습니다.


블랙트라이앵글 예측 및 대응책
치료에 앞서 예상되는 부작용에 대해서는 미리 알려드리는게 맞습니다.
이 케이스는 앞니에 치아가 겹쳐진 부분이 펴지면서 블랙트라이앵글 발생이 예상됩니다.
치료전 환자분께 블랙트라이앵글이 생길것으로 예상되는 부위는 미리 고지를 해드리고 있습니다.

아이테로 구강스캐너로 스캔을 한후 배열후 모습을 확인할 수 있는데, 이 과정에서 보이는 블랙트라이앵글의 대략적인 사이즈와 부위를 미리 시각화해서 볼 수 있죠.

치간삭제를 통한 블랙트라이앵글 해결
클리피씨 철사교정은 치료 도중 블랙트라이앵글 부위에 치간삭제를 하면서 치료를 할수 있습니다.
그러나 인비절라인의 경우 처음 치료계획 단계에서부터 치간삭제를 미리 계획하고 들어가야 하기 때문에 블랙트라이앵글 부위와 사이즈의 예측은 필수입니다.

자, 이제 블랙트라이앵글이 어느부위에 어느정도 사이즈로 생길지 시각화해서 확인했으니
해결방법을 설명할 시간입니다.
치간삭제로 블랙트라이앵글이 줄어드는 과정도 교정상담 첫날 미리 확인할 수 있습니다.
사진은 위에서부터 차례대로
초진
단순 배열 후 블랙트라이앵글의 발생
소량의 치간삭제로 블랙트라이앵글 사이즈가 줄어든 모습 입니다.

치면당 0.2mm를 한계로 설정해놓고 치간삭제를 시행하면 치아가 약해지거나 시릴 가능성은 없습니다.
물론 개개인마다 치아마다 에나멜 두께 차이는 있기에 이부분은 고려해야 합니다.
치료 진행 과정
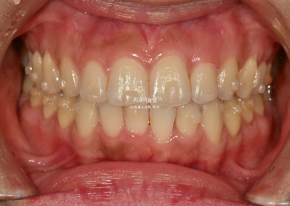
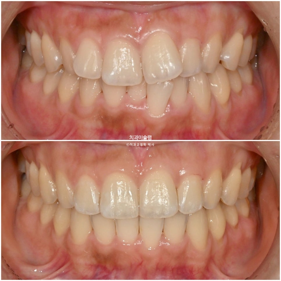
첫 세트 치료 완료 (4개월 후)
첫세트 14개 장치를 4달에 걸쳐 모두 낀 후 모습입니다.

중심선, 배열 모든게 좋습니다. 사전에 계획된 치간삭제로 블랙트라이앵글은 보이지 않습니다.
좋았던 어금니 교합은 그대로 잘 유지되었죠.
앞니 배열에서 아쉬는 부분을을 디테일하게 개선하기 위해 추가장치 제작에 들어갔습니다.
2026년 2월 – 치료 완료
추가장치를 약 2달간 낀 후 206년 2월, 치료를 마무리 했습니다.

| 항목 | 내용 |
|---|---|
| 총 치료기간 | 7개월 |
| 재제작 횟수 | 1회 |
| 치료 시작일 | 2025년 7월 |
| 치료 완료일 | 2026년 2월 |
| 치간삭제 | 면당 최대 0.25mm |
| 사용 프로그램 | 인비절라인 라이트 |
총 치료기간은 7개월, 재제작은 1회 했습니다.
이제 전후 비교 보겠습니다.
2025.07-2026.02

치료 전후 비교
안모 변화
2025.07-2026.02
이제 7개월간의 안모 변화를 볼게요.

깔끔해진 미소가 돋보입니다.
치간삭제에 대한 궁금증
치간삭제에 대해 환자분들이 흔히 궁금해 하시는 질문중 하나는
치간삭제 하면 치아가 너무 작아보이지 않나요?
치아가 작아보일 정도의 삭제량은 정상이 아니죠.
안모 전후 스마일 사진에서 보이듯이
통상 치아의 최외곽층 에나멜층의 가장 겉부분에 한정해서 시행하는 면당 최대 0.25mm정도의 치간삭제로는 치아사이즈 변화를 느끼기 힘듭니다.

방사선 검사 결과
치료 전후 엑스레이를 볼게요.

치근흡수는 없으며 치아 뿌리 평행도는 개선되었습니다.
마무리
블랙트라이앵글 걱정 때문에 교정치료를 망설이는 분들께 이 포스팅이 도움이 되길 바랍니다.

연세바로치과의원 압구정점
서울특별시 강남구 논현로 873
자주 묻는 질문 (FAQ)
강남 압구정에서 교정 전문 치과는?
연세바로치과 압구정점은 강남 압구정 지역의 교정 전문 치과입니다. 인비절라인 교정치료를 전문으로 하며, 다양한 부정교합 케이스에 대한 임상 경험을 보유하고 있습니다.
인비절라인 퍼플 다이아몬드 프로바이더란?
연세바로치과 압구정점은 인비절라인 퍼플 다이아몬드 프로바이더입니다. 이는 인비절라인에서 부여하는 최고 등급으로, 연간 치료 케이스 수와 임상 실력을 인정받은 치과에만 주어지는 자격입니다.
인비절라인 라이트와 모더레이트의 차이점은?
인비절라인 라이트는 최대 14개의 장치를 사용하는 프로그램이며, 모더레이트는 최소 26개의 장치를 사용합니다. 같은 케이스라도 의사의 경험과 실력에 따라 필요한 장치 수가 달라질 수 있습니다.
블랙트라이앵글이란 무엇인가요?
블랙트라이앵글은 교정치료 후 치아 사이에 생기는 삼각형 모양의 공간입니다. 겹쳐진 앞니가 펴지면서 발생할 수 있으며, 치간삭제를 통해 예방하거나 줄일 수 있습니다.
치간삭제는 안전한가요?
치면당 0.2mm를 한계로 설정하여 치간삭제를 시행하면 치아가 약해지거나 시릴 가능성은 없습니다. 다만 개인마다 치아의 에나멜 두께가 다르므로 이를 고려하여 진행됩니다.
인비절라인 치료 기간은 얼마나 걸리나요?
이 케이스의 경우 총 치료기간은 7개월이었으며, 재제작을 1회 시행했습니다. 치료기간은 개인의 부정교합 정도와 치료 계획에 따라 달라집니다.
Summary in English
Invisalign Lite Treatment: 8-Month Case with Black Triangle Management
Treatment Overview
- Patient presented with crooked front teeth, tilted tooth axis, and slightly misaligned midline
- Good molar occlusion and arrangement, suitable for Invisalign Lite treatment
- Total treatment duration: 7 months with 14 aligners plus one refinement
- Successful prevention of black triangles through planned interproximal reduction (IPR)
Treatment Process
- Initial consultation included visualization of potential black triangle formation using iTero scanner
- Strategic IPR planning (0.2mm per tooth surface limit) incorporated from treatment onset
- First set of 14 aligners completed over 4 months
- Additional 2-month refinement for detailed improvements
Clinical Results
- Achieved proper midline alignment and tooth arrangement
- Successfully prevented black triangle formation through planned IPR
- Maintained good molar occlusion throughout treatment
- Completed treatment from July 2025 to February 2026
English FAQ
What is the difference between Invisalign Lite and Moderate?
Invisalign Lite allows up to 14 aligners, while Moderate requires a minimum of 26 aligners. The same case may require different numbers of aligners depending on the orthodontist’s experience and treatment planning skills.
How are black triangles prevented during Invisalign treatment?
Black triangles are prevented through strategic interproximal reduction (IPR) planned from the beginning of treatment. The iTero scanner allows visualization of potential black triangle formation and planning of appropriate IPR to minimize their appearance.
Is interproximal reduction safe?
IPR is safe when limited to 0.2mm per tooth surface. This amount does not weaken teeth or cause sensitivity, though individual enamel thickness variations must be considered during treatment planning.
Who is a good candidate for Invisalign Lite treatment?
Patients with mild to moderate anterior crowding, good molar occlusion, and limited orthodontic needs are suitable candidates for Invisalign Lite treatment, which can achieve excellent results with fewer aligners.
Keywords
orthodontist in Gangnam Seoul Korea, Invisalign Purple Diamond Provider, Korean orthodontist, extraction orthodontics, Invisalign treatment, black triangle prevention, interproximal reduction, clear aligner therapy
글쓴이 소개 | About the Author
백의선 원장 | Dr. Euisun Baek, DDS, PhD
- 연세바로치과 압구정점 대표원장 (Director, Yonsei Baro Dental Clinic, Apgujeong, Seoul, South Korea)
- 인비절라인 퍼플 다이아몬드 프로바이더 — 최고 등급 (Invisalign Purple Diamond Provider — Highest Tier)
- 1,200+ 인비절라인 케이스 완료 (1,200+ Invisalign Cases Completed)
- 글로벌 갤러리 고난도 발치교정 치료 등재 수 1위 (No.1 in Korean Extraction Treatment with Invisalign Global Gallery Listings)
- 철사교정(브라켓 교정)을 더 많이 하는 치과교정학 박사
위치: 서울특별시 강남구 — 연세바로치과 압구정점
Location: Yonsei Baro Dental Clinic, Apgujeong, Seoul, South Korea
원본: 네이버 블로그
댓글 남기기