개방교합 덧니 인비절라인 발치 교정 사례: 임신과 출산을 겪으며 입매 변화 최소화
안녕하세요. 백의선 원장 입니다.
오늘도 인비절라인 발치교정 이야기를 해보겠습니다.

오늘은 부주제가 하나 더 있습니다.
교정 중 임신해도 되나요?
결혼 적령기 환자분들께 많이 듣는 질문입니다.
임신중 엑스레이를 안찍고 잇몸 관리를 잘 해주면 문제되지 않습니다.
사실 엑스레이도 임신 초기만 피해주면, 중기나 후기에는 납복을 입고 찍어도 됩니다만.
환자분이 찝찝하면 안찍어도 됩니다.

또 한가지는 사람마다 다르지만
입덧이 심한 경우 신물이 자주 올라온다면 인비절라인의 경우 장치사이로 신물이 새어들어가 치아를 부식시킬 염려가 있어 입덧기간동안 치료를 느리게 가져가야 합니다.
오늘은 인비절라인 발치교정중 결혼, 임신, 출산을 겪으면서 교정 치료 전반에 어떤 영향이 있는지도 같이 설명 드릴게요.

더불어 덧니가 너무 심해 발치가 필요한데 인중 각도나 입술 두께 때문에 교정 후 입이 들어가면 안되는 경우에 대해서도 치료과정을 보여드릴게요.
치료 요약
| 항목 | 내용 |
|---|---|
| 치료 기간 | 2년 5개월 (2023년 9월 – 2026년 2월) |
| 치료 방법 | 인비절라인 발치교정 |
| 주요 문제 | 덧니, 개방교합, 2급 교합관계 |
| 재제작 횟수 | 3회 |
| 특이사항 | 치료 중 결혼, 임신, 출산 |
| 치간삭제 | 시행하지 않음 |
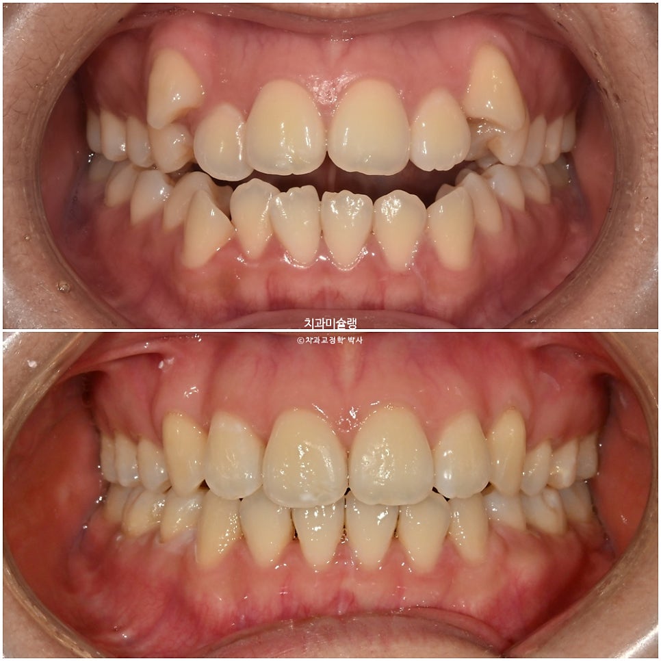
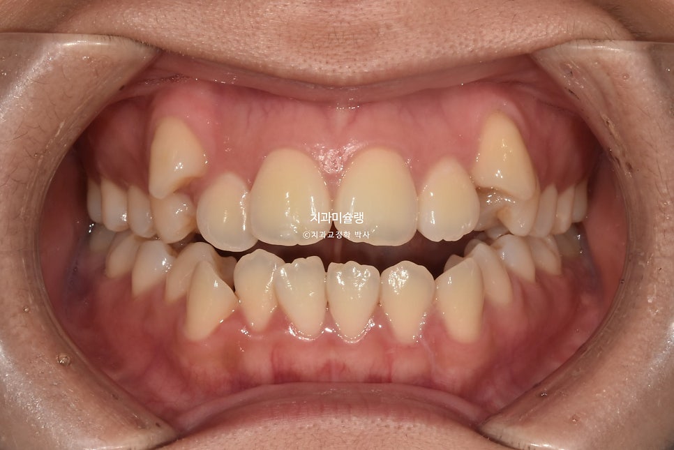
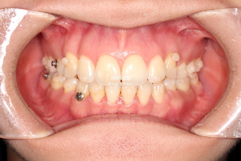
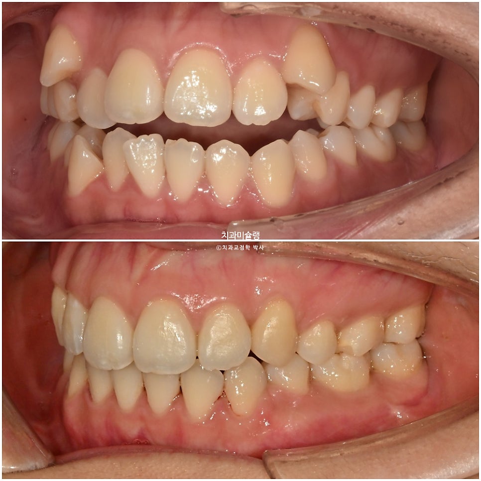
초진 시 환자 상태
2023년 9월 내원
덧니와 개방교합 때문에 오신 환자분 입니다.

덧니가 상당히 심한편입니다.
앞니뿐 아니라 작은어금니까지 또있는 개방교합입니다.
어금니 교합관계는 2급 입니다.

덧니를 제자리 시키려면 발치가 필수적인 상황입니다만

입매를 보면 하관에서 인중이 차지하는 비율이 크고 입술이 얇습니다.
저의 박사연구논문에서 밝혔듯 발치교정후 입술이 얇아지고 인중이 길어보이는 현상은 피할수 없습니다.
(예전 포스팅 참고하시면 좋습니다.)
https://blog.naver.com/baekeuiseon/222666921183
그런데 이 연구는 기본적으로 발치교정 후 앞니가 4-5mm 이상 많이 넣는 교정을 했을때의 이야깁니다.
따라서 앞니가 뒤로 들어가는양을 최소화하는 치료계획을 세워 이런 외모 부작용을 최소화 할 수 있습니다.
환자분은 인비절라인 치료 선택하셨고 치료에 들어갔습니다.
치료 진행 과정

치료 중 워낙 위치가 높았던 송곳니가 잘 맞지 않아 고무줄을 끼면서 진행했고

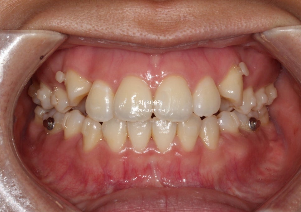
치료 시작 1년째 – 첫 번째 재제작
치료시작 1년째, 송곳니가 발치공간으로 대부분 들어온 이후 51번 장치에서 일찍 재제작을 했습니다.
이당시 환자분이 임신 초기라 재제작시 필수적인 엑스레이는 찍지 않았습니다.
인비절라인 치료계획은 치아 뿌리의 각도를 면밀히 살피며 세우는게 물론 좋지만, 중기, 후기 아닌 초기에는 엑스레이를 안찍는게 좋습니다.
추가장치 갯수는 27개가 나왔으며 2025년 2월까지 5개월간 열심히 낀 후 모습입니다.

중심선은 잘 맞으며 송곳니는 제자리로 잘 내려왔죠. 개방교합도 완벽히 개선되었습니다.
어금니 교합은 이미 좋습니다.
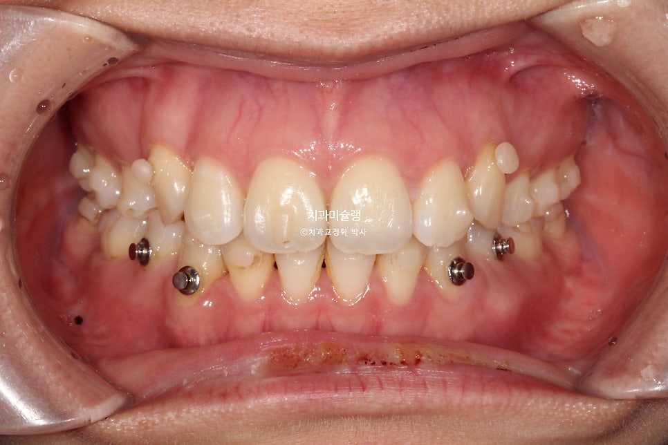
두 번째 재제작
약간의 교합 개선과 발치공간이 미세하게 남아 두번째 재제작에 들어갔습니다.
이때는 임신 후기라 사실 납복을 입으면 엑스레이를 찍어도 되지만, 환자분이 원치 않아 찍지 않았습니다.
그렇게 추가장치를 끼며 중간에 무사히 출산도 하시고, 23개 장치를 다 낀후 내원시 모습입니다.

중심선 교합은 좋고 발치공간도 타이트 하게 마무리 되었습니다.
드디어 임신 출산까지 끝났기에 오랜만에 엑스레이를 찍어보니

세 번째 재제작
치아 뿌리가 간격이 일부에서 약간 아쉽습니다.
사실 엑스레이를 찍지 않으면 알수 없는 부분이고, 장기적으로 교정 결과나 구강 건강에 문제되는 부분도 아니지만
아무래도 치근 평행도가 아쉬워 이부분 개선을 위해 재제작 하자고 환자분을 꼬셨습니다.(?)
아래 앞니 블랙트라이앵글도 저 개인적으로 아쉬워 소량의 치간삭제도 권유드렸으나 이부분은 환자분이 원치 않아 블랙트라이앵글은 그대로 두기로 합니다.
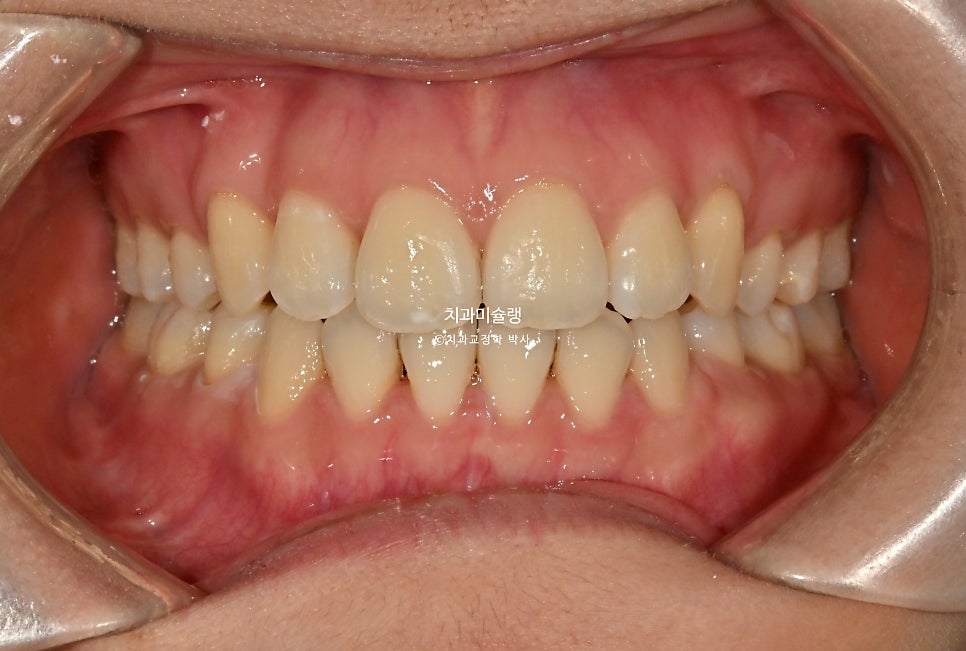
2026년 2월 치료 완료
18개 추가장치를 모두 낀후 2026년 2월, 드디어 치료를 마무리 했습니다.

2년 5개월의 교정 기간동안 결혼, 임신 출산까지 해내신 환자분.
어금니 교합은 좋으며 1급 교합관계를 보입니다.
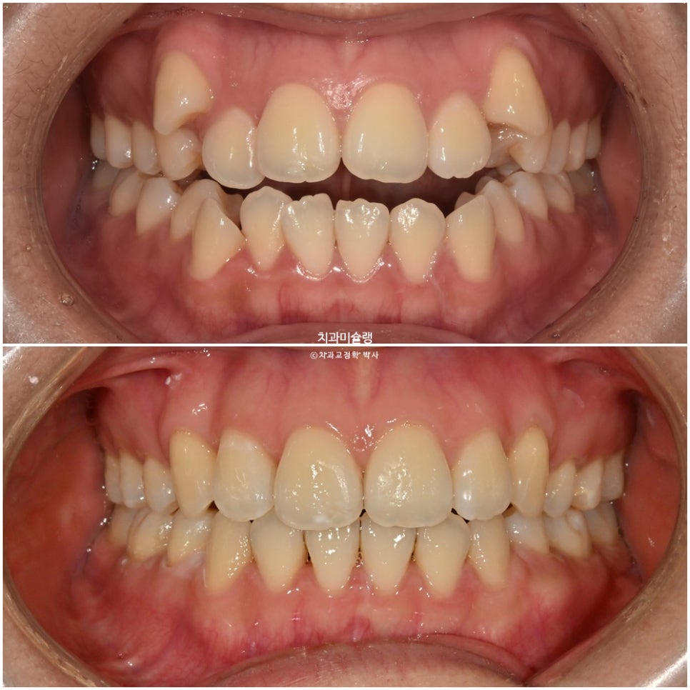
치료 결과 비교
이제 전후비교 보겠습니다.
교정치료 기간 토탈 2년 5개월동안 재제작을 총 3번 했는데, 만약 재제작 할 당시 엑스레이를 찍어 중간 중간 뿌리 평행도를 확인했다면 재제작 횟수를 1회정도는 줄일 수 있었겠죠.
2023.09-2026.02
유지장치까지 잘 들어간 모습입니다.


치료 전반에 걸쳐 치간삭제는 하지 않았습니다.

2년 5개월간 치근흡수는 없었으며
마지막 재제작으로 인해 치근 평행도까지 완벽해졌습니다.
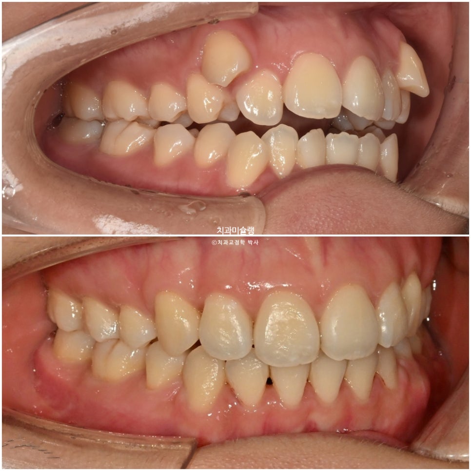
안모 변화 비교
이제 전후 안모비교 보겠습니다.
송곳니 덧니 때문에 윗입술 양측이 들려있던 부분이 개선되었습니다.
아랫입술은 소량 뒤로 들어갔고 윗입술은 거의 처음 그대로 유지되었습니다.
2년 5개월간의 옆모습 엑스레이 변화는 이러합니다. 앞니 각도는 적절하며 발치교정임에도 불구하고 비순각 및 입매는 잘 유지되었습니다.
마무리
인비절라인 발치교정을 고민중인 분들께,
특히 교정 후 입매가 안예뻐질까봐 걱정인 분들께
이 포스팅이 도움이 되길 바랍니다.
연세바로치과의원 압구정점
서울특별시 강남구 논현로 873
자주 묻는 질문 (FAQ)
교정 중 임신해도 되나요?
교정 중 임신은 가능합니다. 임신 중에는 엑스레이를 촬영하지 않고 잇몸 관리를 철저히 하면 문제가 되지 않습니다. 입덧이 심한 경우 신물이 인비절라인 장치 사이로 들어가 치아를 부식시킬 수 있어 입덧 기간 동안은 치료 속도를 조절해야 합니다.
발치 교정 후 입술이 얇아지는 현상을 피할 수 있나요?
발치 교정 후 입술이 얇아지고 인중이 길어 보이는 현상은 앞니가 4-5mm 이상 많이 들어갈 때 발생합니다. 앞니가 뒤로 들어가는 양을 최소화하는 치료 계획을 세우면 이러한 외모 변화를 최소화할 수 있습니다.
개방교합과 덧니를 동시에 치료할 수 있나요?
개방교합과 덧니는 인비절라인으로 동시에 치료 가능합니다. 덧니가 심한 경우 발치가 필요할 수 있으며, 치료 과정에서 고무줄 착용이나 재제작이 필요할 수 있습니다.
인비절라인 치료 중 재제작은 언제 하나요?
인비절라인 치료 중 재제작은 치아가 계획대로 움직이지 않거나 추가적인 교정이 필요할 때 시행됩니다. 재제작 시에는 일반적으로 엑스레이 촬영이 필요하지만, 임신 초기에는 촬영하지 않는 것이 좋습니다.
강남 압구정에서 교정 전문 치과는?
연세바로치과 압구정점은 강남 압구정 지역의 교정 전문 치과입니다. 인비절라인 퍼플 다이아몬드 프로바이더로 인증받은 전문 의료진이 다양한 교정 치료를 제공합니다.
인비절라인 퍼플 다이아몬드 프로바이더란?
인비절라인 퍼플 다이아몬드 프로바이더는 인비절라인 치료 경험과 실력을 인정받은 최고 등급의 자격입니다. 연세바로치과 압구정점은 인비절라인 퍼플 다이아몬드 프로바이더로, 이는 최고 수준의 인비절라인 치료 경험을 보유하고 있음을 의미합니다.
Summary in English
Invisalign Extraction Orthodontics for Open Bite and Crowding: Minimizing Lip Profile Changes
Summary
- Case study of a 2 years and 5 months Invisalign treatment with 3 refinements
- Patient presented with severe crowding, open bite, and Class II molar relationship requiring extractions
- Treatment plan focused on minimizing anterior retraction to preserve lip fullness due to patient’s thin lips and long philtrum
- Patient underwent marriage, pregnancy, and childbirth during treatment period
- X-rays were avoided during early pregnancy; treatment was slowed during morning sickness period
- Elastics were used to help align severely displaced canines
- Successfully achieved proper occlusion, centerline alignment, and complete closure of open bite
- Facial profile changes were minimized through conservative anterior retraction approach
FAQ
Can I get pregnant during orthodontic treatment?
Yes, pregnancy during orthodontic treatment is possible. X-rays should be avoided and gum care should be maintained carefully. During severe morning sickness, treatment may need to be slowed due to acid reflux potentially affecting teeth through Invisalign aligners.
How can lip thinning after extraction orthodontics be minimized?
Lip thinning and philtrum lengthening typically occur when anterior teeth are retracted 4-5mm or more. This can be minimized by creating treatment plans that limit the amount of anterior retraction while still achieving proper alignment.
What is the significance of being an orthodontist in Gangnam Seoul Korea?
Gangnam district in Seoul, Korea is known for advanced dental and orthodontic care. Yonsei Baro Dental Clinic Apgujeong branch serves as a specialized orthodontic center in this premium medical district.
What does Invisalign Purple Diamond Provider status mean?
Invisalign Purple Diamond Provider represents the highest tier of Invisalign certification, indicating extensive experience and expertise in clear aligner treatment. This status is achieved through treating a large number of cases with excellent outcomes.
Keywords
orthodontist in Gangnam Seoul Korea, Invisalign Purple Diamond Provider, Korean orthodontist, extraction orthodontics, open bite treatment, crowding correction, pregnancy during orthodontics, lip profile preservation
글쓴이 소개 | About the Author
백의선 원장 | Dr. Euisun Baek, DDS, PhD
- 연세바로치과 압구정점 대표원장 (Director, Yonsei Baro Dental Clinic, Apgujeong, Seoul, South Korea)
- 인비절라인 퍼플 다이아몬드 프로바이더 — 최고 등급 (Invisalign Purple Diamond Provider — Highest Tier)
- 1,200+ 인비절라인 케이스 완료 (1,200+ Invisalign Cases Completed)
- 글로벌 갤러리 고난도 발치교정 치료 등재 수 1위 (No.1 in Korean Extraction Treatment with Invisalign Global Gallery Listings)
- 철사교정(브라켓 교정)을 더 많이 하는 치과교정학 박사
위치: 서울특별시 강남구 — 연세바로치과 압구정점
Location: Yonsei Baro Dental Clinic, Apgujeong, Seoul, South Korea
원본: 네이버 블로그
댓글 남기기