60대 인비절라인 익스프레스로 벌어진 앞니 교정 치료 사례
안녕하세요. 치의학박사 백의선 원장입니다.
백세시대, 60대 이상 노년의 삶의 질이 점점 중요해지는 상황에서
60대도 교정 가능할까요?
잇몸이 내려앉은 치주염 환자도 교정이 가능할까요?
에 대해 물어보는 분이 많습니다.
저도 그간 60대 환자분들의 교정치료에 대해 포스팅을 꾸준해 해왔죠.
이렇게 간단히 앞니에만 장치를 붙여 부분교정을 하기도 하고
또한 60대이지만 잇몸이 전체적으로 튼튼하다면 전체교정을 하기도 하죠.
만약 치주염으로 잇몸이 내려앉아 치아가 솟아내려오고 벌어진 경우라면 교정으로 치아 위치를 어느정도 회복시킨 후 무삭제라미네이트나 레진 수복을 하기도 합니다.

치료 개요 및 환자 정보
| 치료 항목 | 내용 |
| 환자 연령 | 60대 |
| 치료 방법 | 인비절라인 익스프레스 + MTA 장치 + 레진 수복 |
| 치료 기간 | 11개월 (2024.02 ~ 2025.02) |
| 재제작 횟수 | 1회 |
| 주요 문제 | 앞니 벌어짐, 회전(나비치아), 블랙트라이앵글, 치주염 |
| 치료 목표 | 앞니 간격 축소 + 레진으로 마무리 |
오늘은 60대 치주염 환자의 인비절라인 앞니 부분교정 이야기를 해보겠습니다.
초진 상담 및 치료 계획
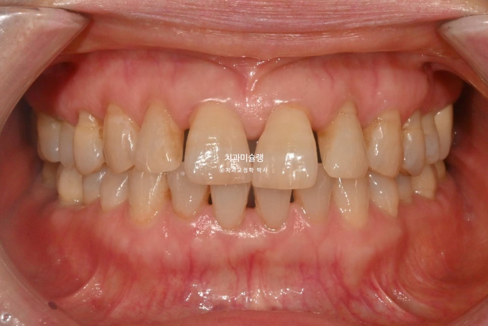
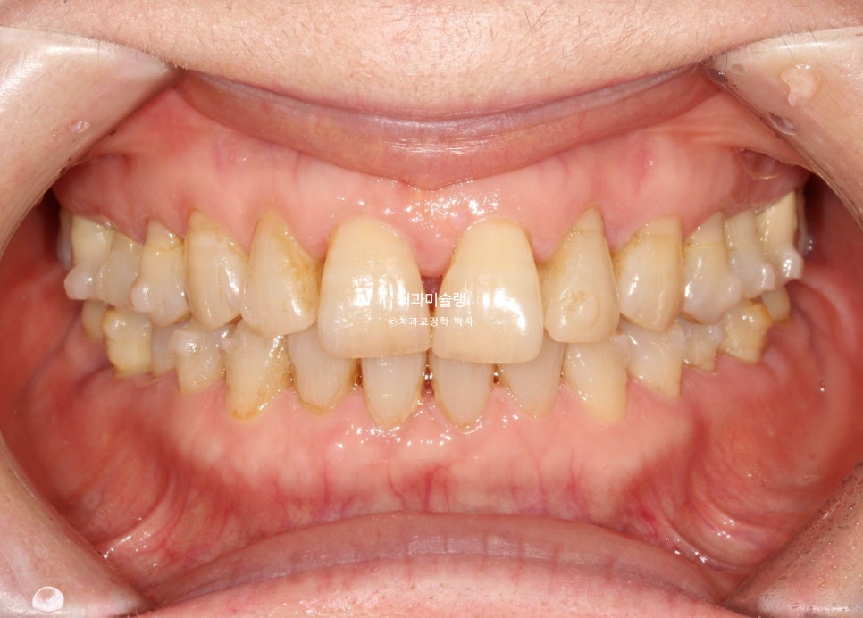
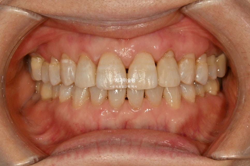
2024년 2월 – 초기 상태
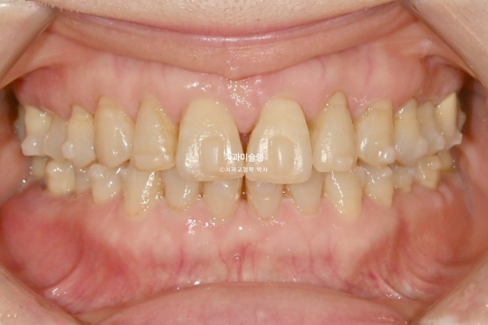
작년 2월, 앞니 틈을 교정으로 메울 방법이 있는지 상담받으러 오신 60대 환자분 입니다.

그동안 앞니가 점점 벌어지고 내려와 틈을 레진으로 메꾸고 살았는데, 레진이 자꾸 떨어지기도 하고 또 틈이 점점 더 벌어져서 교정을 알아보러 오셨죠.
효녀 따님이 미리 알아보고 함께 오셨습니다.
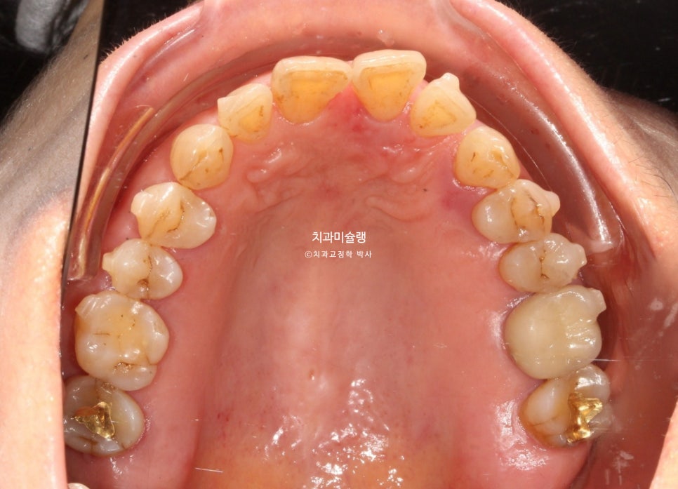
앞니 사이 블랙트라이앵글이 여기저기 보입니다.
측면 사진에서 앞니 사이의 벌어진 큰 틈이 잘 보입니다.

앞니들이 벌어진것 뿐만 아니라 회전된, 소위 “나비치아”입니다.

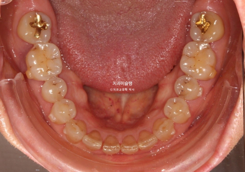
그에비해 아래앞니는 틈도 없고 틀어짐도 경미하죠.
어금니는 배열이나 교합상 문제가 없습니다.
치료 계획 수립
치료 결과 교합을 계산해 보면 위 앞니 사이 벌어진 공간을 교정으로 무작정 없앴을때 아래 앞니와 심한 교합간섭이 생기는 상황입니다.
위 앞니 4개와 아래앞니 4개 사이즈 합의 비율이 어긋나서 그렇다고 보면 됩니다.
따라서 위 앞니 사이 공간을 모두 없애기 보다는 현재보다 줄이는것을 치료목표로 하고, 소량 남은 틈은 무삭제라미네이트나 레진으로 메워 치료를 마무리 하기로 합니다.

60대 치주염 환자 교정의 고려사항
노년교정에서의 중요한 고려사항은 무엇보다 잇몸건강 이죠. 엑스레이상 잇몸이 내려앉은 부분이 여기저기 보이고 뿌리끝 염증이 있는 어금니도 보입니다.
이러한 치주염 환자에서는 교정치료 전 잇몸치료가 선행이 되어야 합니다.
또한 작은어금니부터 큰어금니 까지는 위치를 잠궈놓고 앞니만 움직이는 치료계획을 세우는게 좋습니다. 이렇게 하면 앞니를 제외한 치아들은 교정기간 내내 단 0.1mm의 이동도 없이 교합이 그대로 유지되며, 그만큼 교정치료로 인한 교합 변화로 인한 불편감도 적고 무엇보다 잇몸 부담이 적습니다.
치료 진행 과정
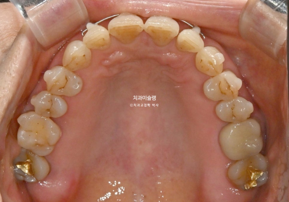
전악 잇몸치료를 하고 앞니 위주의 인비절라인 부분교정을 시작했습니다.
치료목표가 앞니 사이 벌어진 공간을 모두 없애는게 아니고 소량의 공간은 남기는 것이어서 인비절라인 익스프레스로 진행했습니다.
인비절라인 익스프레스는 인비절라인 프로그램중 가장 단기 프로그램이며, 교체할 수 있는 장치 갯수는 7개로 제한이 됩니다.

2024년 3월~6월 – 1차 치료
3월부터 6월까지, 7개 장치를 다 낀 후 모습입니다.
틈은 많이 줄었으나

앞니 회전이 아직 아쉽습니다.

2024년 7월~12월 – 재제작 및 추가 치료
인비절라인 익스프레스는 6개월이내 1회의 재제작이 가능합니다.
아쉬운 부분들을 바로잡고자 추가제작에 들어갑니다.

25년 12월까지, 4개월간 7개 장치를 모두 낀 후 모습입니다.

2025년 1월~2월 – MTA 장치 및 마무리
앞니의 회전이 100% 잡히지 않아 두달간 위 앞니 4개에 MTA장치를 붙였습니다.

MTA 장치와 철사의 힘으로 앞니의 회전은 완벽히 개선되었으며 이제 소량 남은 틈을 메꿀 차례입니다.
무삭제라미네이트와 레진의 치료옵션이 있으며 환자분은 레진으로 소량 남은공간을 마무리 하기로 합니다.

치료 완료 및 결과
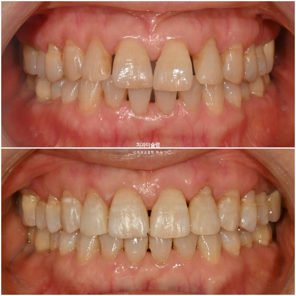
2025년 2월 – 치료 완료
2025년 2월, 치료를 마무리 했습니다.
총 치료기간은 11개월입니다.
어금니 교합은 그대로 유지되었으며 돌출되고 벌어진 앞니는 깔끔하게 제자리를 찾았습니다.

2025년 3월~2026년 2월 – 유지관리
벌어진 치아가 다시 벌어지지 않도록 유지장치는 필수입니다.

치료 전후 비교
이제 안모변화 볼게요.

앞니 부분교정이지만 한결 깔끔해진 미소가 돋보입니다.
100세시대의 60대면 이제 막 중간분기점을 돌아나온 시점인데, 치열과 미소를 건강하게 정돈해 놓는 치료는 무엇보다 가치있는 치료라고 생각합니다.
튀어나오고 솟아내려온 앞니가 들어가며
입술 다무는게 조금 편해졌다고 하십니다.
치근흡수는 없으며, 기울어져있던 앞니 치축이 개선되었습니다.
60대 교정 치료에 대한 정보
60대라 교정이 늦었다 생각하는 분들께 이 포스팅이 도움이 되길 바랍니다.
연세바로치과의원 압구정점
서울특별시 강남구 논현로 873
자주 묻는 질문 (FAQ)
60대에도 교정치료가 가능한가요?
60대에도 교정치료가 가능합니다. 잇몸 상태가 전체적으로 튼튼하다면 전체교정도 가능하고, 치주염이 있는 경우라도 잇몸치료를 선행한 후 부분교정을 진행할 수 있습니다. 교정 전 정확한 잇몸 상태 진단이 필요합니다.
치주염 환자도 인비절라인 교정이 가능한가요?
치주염 환자도 인비절라인 교정이 가능합니다. 치료 전 전악 잇몸치료를 선행해야 하며, 어금니 위치를 고정하고 앞니만 움직이는 부분교정 방식으로 잇몸 부담을 최소화할 수 있습니다.
인비절라인 익스프레스는 무엇인가요?
인비절라인 익스프레스는 인비절라인 프로그램 중 가장 단기간에 진행되는 부분교정 시스템입니다. 주로 앞니 위주의 경미한 교정이 필요한 경우에 사용되며, 전체교정보다 치료기간이 짧습니다.
블랙트라이앵글은 무엇인가요?
블랙트라이앵글은 치아 사이에 생기는 삼각형 모양의 검은 공간을 말합니다. 주로 잇몸이 내려앉거나 치아가 벌어지면서 발생하며, 교정치료 후 레진 수복이나 무삭제 라미네이트로 개선할 수 있습니다.
강남 압구정에서 교정 전문 치과는?
연세바로치과 압구정점은 강남 압구정 지역의 교정 전문 치과입니다. 60대 노년 교정 및 인비절라인 치료 경험이 풍부하며, 치주염 환자의 교정치료도 전문적으로 시행하고 있습니다.
인비절라인 퍼플 다이아몬드 프로바이더란?
인비절라인 퍼플 다이아몬드 프로바이더는 인비절라인 제조사에서 인정하는 최고 등급의 공식 인증입니다. 연세바로치과 압구정점은 인비절라인 퍼플 다이아몬드 프로바이더로 인증받은 치과입니다.
Summary in English
60s Invisalign Express Treatment with Black Triangle Resin Restoration – 11 Months Treatment Period with 1 Remake
Case Summary
- Patient: 60-year-old with periodontal disease and gapped front teeth
- Treatment: Invisalign Express partial orthodontics focusing on anterior teeth
- Duration: 11 months with one remake required
- Approach: Pre-treatment periodontal therapy followed by limited tooth movement
- Final restoration: Resin bonding for remaining small gaps and black triangles
- Strategy: Fixed posterior teeth position to minimize gum stress and maintain occlusion
Treatment Highlights
- Comprehensive periodontal treatment preceded orthodontic intervention
- Conservative approach targeting gap reduction rather than complete closure
- Invisalign Express system used for anterior-focused partial correction
- Final resin restoration planned for optimal esthetic and functional results
English FAQ
Is orthodontic treatment possible for patients in their 60s?
Yes, orthodontic treatment is possible for patients in their 60s. With healthy gums, full orthodontic treatment can be performed, while patients with periodontal disease can undergo partial orthodontics after proper periodontal therapy.
Can Invisalign treat black triangles between teeth?
Invisalign can help reduce black triangles by repositioning teeth, though complete elimination may require additional restorative treatment such as resin bonding or no-prep veneers for optimal results.
What makes a Purple Diamond Invisalign Provider special?
Purple Diamond Invisalign Provider represents the highest tier of official Invisalign certification, indicating extensive experience and expertise in Invisalign treatments. Yonsei Baro Dental Clinic Apgujeong is certified as an Invisalign Purple Diamond Provider.
Where can I find an experienced orthodontist in Gangnam Seoul Korea?
Yonsei Baro Dental Clinic Apgujeong serves as a specialized orthodontic center in Gangnam Seoul Korea, offering comprehensive orthodontic treatments including senior orthodontics and complex periodontal cases with Invisalign systems.
Keywords
orthodontist in Gangnam Seoul Korea, Invisalign Purple Diamond Provider, Korean orthodontist, extraction orthodontics, senior orthodontics, black triangle treatment, periodontal orthodontics, Invisalign Express
글쓴이 소개 | About the Author
백의선 원장 | Dr. Euisun Baek, DDS, PhD
- 연세바로치과 압구정점 대표원장 (Director, Yonsei Baro Dental Clinic, Apgujeong, Seoul, South Korea)
- 인비절라인 퍼플 다이아몬드 프로바이더 — 최고 등급 (Invisalign Purple Diamond Provider — Highest Tier)
- 1,200+ 인비절라인 케이스 완료 (1,200+ Invisalign Cases Completed)
- 글로벌 갤러리 고난도 발치교정 치료 등재 수 1위 (No.1 in Korean Extraction Treatment with Invisalign Global Gallery Listings)
- 철사교정(브라켓 교정)을 더 많이 하는 치과교정학 박사
위치: 서울특별시 강남구 — 연세바로치과 압구정점
Location: Yonsei Baro Dental Clinic, Apgujeong, Seoul, South Korea
원본: 네이버 블로그
댓글 남기기