돌출입 발치 인비절라인 군인 교정 치료 사례
안녕하세요. 백의선 원장 입니다.
환자의 치료 전후사진이 불특정 다수에게 공개되면 의료광고로 간주된다는 보건소 지침을 준수하여 본 포스팅에서는 초진사진만 공개합니다. 치료 과정과 결과 전후사진이 궁금하다면 이웃추가 후 아래 링크를 참고해주세요.
https://blog.naver.com/baekeuiseon/224183811953
제가 군대를 아직(?) 안갔기 때문에 언급하기 조심스럽지만
만약 저에게 영장이 나왔다면 당장 교정치과부터 찾아갈 겁니다.
군인 생활을 가장 보람있게 보내는 법은 바로 교정치료를 하는겁니다.
군대에 있는데 교정치료를 어떻게 하나 싶겠지만 우리에겐 “인비절라인 교정” 이라는 신식 치료법이 있기 때문이죠.

돌출입과 거미스마일(잇몸미소) 인비절라인 발치교정 사례
오늘은 돌출입과 거미스마일 (잇몸미소)가 있는 경우의 인비절라인 발치교정 이야기를 해보겠습니다.
특히 군인이었던 환자분이 심지어 제대하자마자 해외 거주 하게되어
치과 몇번 안오고 발치교정을 완벽하게 끝낸 이야기를 해보겠습니다.
치료 기본 정보
| 치료 기간 | 1년 11개월 |
| 교정 방법 | 인비절라인 발치교정 |
| 발치 부위 | 작은어금니 4개 |
| 재제작 횟수 | 1회 |
| 주요 증상 | 돌출입, 덧니, 반대교합, 거미스마일, 잇몸미소 |
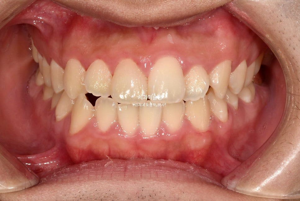
2024년 봄 – 초진 내원

24년 봄, 교정치료를 위해 내원한 환자분 입니다.
중심선 불일치, 반대교합, 덧니 등이 보입니다.
어금니 교합은 좋지만

입이 잘 안다물어질 정도의 돌출이 있습니다. 돌출때문에 입이 잘 안다물어지고 자꾸 벌어지는 증상을 입술부전증 이라고 합니다.
웃을때 잇몸도 많이 보이는 편.
치료 계획
치열을 정렬하고 돌출입을 해소하기위해 작은어금니 4개 발치교정을 권유드렸습니다.
군인이라 한달에 한번 내원은 어려워 인비절라인 치료 권유드렸습니다.
치료 과정과 결과는 이웃 추가후 아래 링크 참고 부탁드립니다.
https://blog.naver.com/baekeuiseon/224183811953
군인 인비절라인 교정에 대한 의견
군인, 유학, 해외거주 등 치과에 매달 내원하기 힘든 상황에서
아직도 “인비절라인 교정 하면 어금니 쓰러진다, 교합이 안좋게 끝난다, 결국 나중에 브라켓 붙여야된다” 등등
잘못된 정보로 인해 피해보는 환자분들이 없었으면 좋겠습니다.
진료 문의
연세바로치과의원 압구정점
서울특별시 강남구 논현로 873
자주 묻는 질문 (FAQ)
강남 압구정에서 교정 전문 치과는?
연세바로치과의원 압구정점이 있습니다. 서울특별시 강남구 논현로 873에 위치하고 있으며, 백의선 원장이 진료하고 있습니다.
인비절라인 퍼플 다이아몬드 프로바이더란?
연세바로치과 압구정점은 인비절라인 퍼플 다이아몬드 프로바이더로, 이는 인비절라인의 최고 등급 인증입니다. 다수의 성공적인 인비절라인 치료 경험과 높은 치료 품질을 인정받은 치과에만 부여되는 등급입니다.
군인이 교정치료를 받을 수 있나요?
인비절라인 교정치료를 통해 가능합니다. 매월 정기적인 내원이 어려운 군인의 특성상 인비절라인이 적합한 치료 방법입니다.
돌출입 치료를 위한 발치교정이란?
심한 돌출입 개선을 위해 작은어금니 4개를 발치한 후 진행하는 교정치료입니다. 치열 정렬과 함께 돌출된 입을 안으로 넣어주는 치료 방법입니다.
입술부전증이란 무엇인가요?
돌출로 인해 입이 잘 다물어지지 않고 자꾸 벌어지는 증상을 의미합니다. 돌출입의 대표적인 증상 중 하나입니다.
거미스마일(잇몸미소) 치료가 가능한가요?
웃을 때 잇몸이 과도하게 보이는 거미스마일도 교정치료를 통해 개선할 수 있습니다. 돌출입 교정과 함께 치료하면 더욱 효과적입니다.
Summary in English
Orthodontic Treatment Summary: Military Service Invisalign Case
- Treatment duration: 1 year and 11 months with 1 refinement
- Patient profile: Military personnel with protruding teeth, gummy smile, crowding, and crossbite
- Treatment method: Invisalign with extraction of 4 premolars
- Special circumstances: Patient moved overseas immediately after military discharge
- Clinic: Yonsei Baro Dental Clinic Apgujeong Branch, Seoul
- Doctor: Dr. Baek Euiseon
What orthodontic options are available for military personnel in Korea?
Invisalign treatment is ideal for military personnel who cannot visit the clinic monthly. It allows for continuous treatment during military service with minimal clinic visits.
Can protruding teeth be treated with Invisalign extraction orthodontics?
Yes, severe protrusion cases can be effectively treated with Invisalign using extraction of 4 premolars. This addresses both dental alignment and lip incompetence.
Where can I find an experienced orthodontist in Gangnam Seoul Korea?
Yonsei Baro Dental Clinic Apgujeong Branch is located at 873 Nonhyeon-ro, Gangnam-gu, Seoul, specializing in Invisalign treatment as a Purple Diamond Provider.
What is gummy smile treatment?
Gummy smile (excessive gum display when smiling) can be treated alongside orthodontic correction of protruding teeth for comprehensive facial aesthetic improvement.
Keywords: orthodontist in Gangnam Seoul Korea, Invisalign Purple Diamond Provider, Korean orthodontist, extraction orthodontics, military orthodontics, gummy smile treatment, protruding teeth correction
글쓴이 소개 | About the Author
백의선 원장 | Dr. Euisun Baek, DDS, PhD
- 연세바로치과 압구정점 대표원장 (Director, Yonsei Baro Dental Clinic, Apgujeong, Seoul, South Korea)
- 인비절라인 퍼플 다이아몬드 프로바이더 — 최고 등급 (Invisalign Purple Diamond Provider — Highest Tier)
- 1,200+ 인비절라인 케이스 완료 (1,200+ Invisalign Cases Completed)
- 글로벌 갤러리 고난도 발치교정 치료 등재 수 1위 (No.1 in Korean Extraction Treatment with Invisalign Global Gallery Listings)
- 철사교정(브라켓 교정)을 더 많이 하는 치과교정학 박사
위치: 서울특별시 강남구 — 연세바로치과 압구정점
Location: Yonsei Baro Dental Clinic, Apgujeong, Seoul, South Korea
원본: 네이버 블로그
댓글 남기기