안녕하세요. 백의선 원장입니다.
오늘 재교정 상담차 오신 환자분 이야기를 잠깐 해보겠습니다.
예전에 발치교정을 해서 입은 들어갔는데 여전히 턱끝이 뭉툭하고 입술이 잘 안다물린다는 이유로 재교정 상담을 온 분이셨죠. 환자분은 막연히 아직 돌출감이 남았기 때문인줄 알고 오셨지만 엑스레이를 보니 앞니 각도나 위치상 더이상 돌출이 남지는 않았으나 수직적인 문제가 남아서 그렇습니다.
발치든 비발치든 앞니를 뒤로 넣는 교정을 하면 입술이 뒤로 들어가는 효과가 있지만, 그럼에도 불구하고 여전히 입이 잘 안다물리는건 돌출감이 남아서가 아니라 수직적인 문제가 남아서인 경우가 꽤 많습니다.
교정이 끝났는데 웃을때 잇몸이 많이보인다, 또는 앞니가 뻗쳐있지 않은데 입이 잘 안다물어진다. 이런경우들이죠.

비발치 돌출입 교정 상악 전체치열 함입 케이스
오늘은 비발치 돌출입 교정에서 후방이동 뿐만 아니라 상악 전체치열 함입을 통해 하관이 어떻게 바뀔수 있는지 이야기 해볼게요.
| 항목 | 세부 내용 |
|---|---|
| 치료 방법 | 비발치 돌출입 교정, 상악 전체함입, 하악골 자가회전 유도 |
| 장치 | 클리피씨 교정장치 |
| 미니스크류 | 상악 4개(좌우 2개씩), 하악 2개(좌우 1개씩) |
| 치료기간 | 1년 3개월 |
| 이동량 | 앞니 후방이동 3mm, 상악 전체치열 함입 2mm |
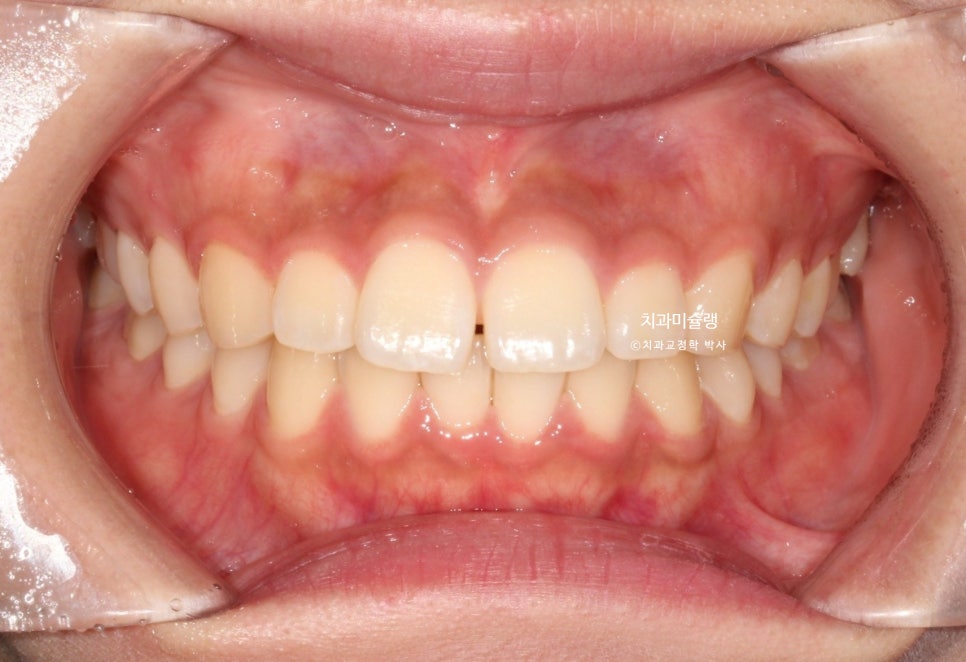
초진 당시 상황
작년 겨울, 앞니 벌어짐과 약간의 돌출감 때문에 오신 환자분입니다.
본원에서 교정을 마친 다른 환자분의 소개를 받고 오셨죠.

중심선 불일치, 앞니 벌어짐이 보입니다.
위 앞니가 뻗쳐있고 튀어나와있네요.


작은어금니를 발치할 정도의 돌출은 아니라 비발치 돌출입 교정 권유드렸습니다.

더불어 아래턱을 자가회전 시켜 하관을 짧게 만들고, 무턱처럼 보이는 턱끝도 개선하기 위해 상악 전체치열 후방이동과 동시에 함입도 하기로 합니다.

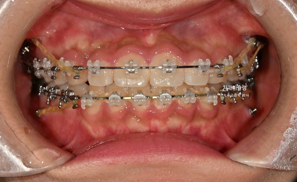
교정 치료 1년째 진행상황
클리피씨 교정 1년째 모습입니다.
상악엔 좌우 2개씩 총 4개, 하악에 좌우 1개씩 총 2개의 미니스크류를 심고 치료를 합니다.
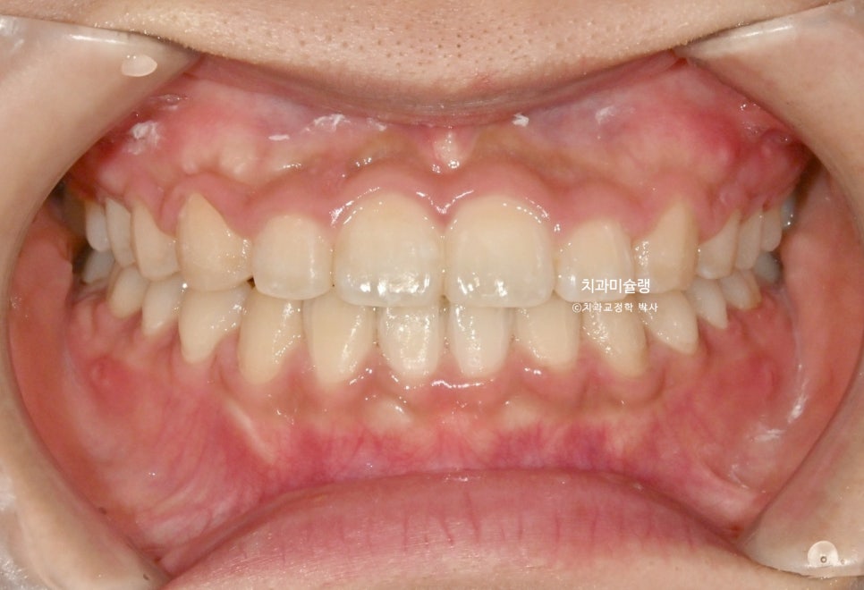
치료 완료: 1년 3개월째
치료시작 1년 3개월째, 원하는 바가 모두 달성되어 장치를 뗍니다.

중심선은 잘 맞으며
어금니 교합은 1급 교합관계를 보입니다.


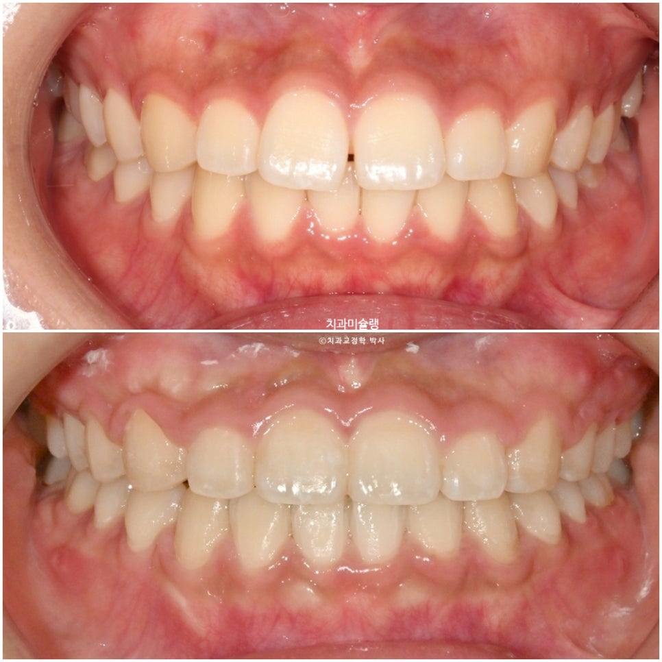
치료 전후 비교
이제 전후비교 볼게요.

교정 전후 사진을 비교해보면 위 앞니 수직 길이가 짧아진게 보입니다.
앞니가 위로 함입되며 치아가 잇몸속으로 쏙 들어간 셈인데, 치아를 과도하게 덮는 잇몸은 잇몸성형으로 치아 개개의 가로 세로 비율을 회복하기 위해 간단하게 걷어내는게 심미적으로 좋습니다.
안모 변화
이제 안모비교볼게요.

앞니 돌출이 해소되어 입 다무는게 한결 편해졌으므로, 더이상 입술 사이로 앞니가 빼꼼 보이지 않습니다.

환자분은 잇몸성형을 여전히 고민중이지만, 잇몸성형 후 미소가 어떻게 달라지는지도 나중에 기회되면 포스팅 할게요.


턱 근육이 이완되며 좀더 편히 다물리는 입술
엑스레이 중첩을 보면 앞니는 뒤로 3mm 후방이동 했으며 상악 전체치열은 약 2mm 함입되었습니다.
상악 전체치열 함입을 통한 하악골 자가회전의 메커니즘
보통 교정으로 치아는 바꿀수 있지만 턱뼈는 바꿀수 없다고 말합니다.
예외적으로 상악 전체치열 함입 교정에서는 가능한데, 엄밀하게는 턱뼈의 모양이 바뀌는건 아니지만 턱의 위치가 변할 수 있습니다.
아래턱은 턱관절을 중심으로 회전합니다. 입을 벌릴땐 아래턱이 후하방으로, 입을 다물땐 전상방으로 회전 합니다.
상악 치아들이 전체적으로 상악골 뼈 속으로 함입되면 아래턱이 초진에 비해 더 다물리게 되죠.
아래턱이 더 다물린다는 이야기는 아래턱끝이 전방, 상방으로 회전한다는 이야기입니다.
즉 하관이 짧아지며 턱끝 존재감이 살아납니다.
아래턱 라인이 뚜렷해진다 정도로 이해하시면 되겠습니다.
전후 옆 엑스레이 중첩을 통해 아래턱의 위치가 처음에비해 어떻게 바뀌었는지 확인됩니다.

턱뼈의 위치가 바뀌며 하관이 짧아졌고, 이로인해 입도 더 편히 다물리며 턱 주변 근육이 이완되어 턱 라인이 자연스럽게 정돈되었습니다.
맨 뒤 큰어금니 뒤쪽 뼈 공간이 줄어든것으로써 어금니들이 사랑니 공간으로 잘 이동하였음을 확인할 수 있습니다.
치료기간동안 치근흡수는 없으며 치아뿌리평행도도 좋습니다.
치료 완료 후 정리
사랑니공간을 이용하여 앞니를 뒤로 미는 비발치 돌출입 교정이라고 다 같은 결과가 나오진 않습니다. 수평적으로 전후방적인 이동을 기본으로
환자의 하관 안모를 고려하여 수직적인 조절까지 동반되어야 요리보고 조리봐도 예쁜 결과가 나옵니다.
연세바로치과의원 압구정점
서울특별시 강남구 논현로 873
자주 묻는 질문 (FAQ)
하관이 짧아지는 비발치 돌출입 교정이란 무엇인가요?
하관이 짧아지는 비발치 돌출입 교정은 치아를 뽑지 않고 상악 전체치열을 후방이동시키면서 동시에 함입시켜 아래턱의 자가회전을 유도하는 교정 방법입니다. 이를 통해 돌출된 입을 개선하고 하관을 짧게 만들어 턱끝의 형태도 개선할 수 있습니다.
상악 전체치열 함입 교정의 치료 기간은 얼마나 걸리나요?
이 사례에서는 클리피씨 교정으로 1년 3개월의 치료 기간이 소요되었습니다. 상악에 4개, 하악에 2개 총 6개의 미니스크류를 사용하여 치료가 진행되었습니다.
교정 후에도 입이 잘 안다물어지는 이유는 무엇인가요?
교정 후에도 입이 잘 안다물어지는 것은 돌출감이 남아서가 아니라 수직적인 문제가 남아있기 때문인 경우가 많습니다. 앞니의 각도나 위치는 정상이지만 수직적인 개선이 필요한 상황입니다.
강남 압구정에서 교정 전문 치과는?
연세바로치과 압구정점은 강남 압구정 지역의 교정 전문 치과입니다. 비발치 돌출입 교정, 상악 전체치열 함입 등 다양한 교정 치료를 제공하고 있습니다.
인비절라인 퍼플 다이아몬드 프로바이더란?
연세바로치과 압구정점은 인비절라인 퍼플 다이아몬드 프로바이더로, 이는 인비절라인에서 제공하는 최고 등급의 인증입니다. 이는 높은 수준의 투명교정 치료 경험과 실력을 인정받은 것을 의미합니다.
교정으로 턱뼈 모양을 바꿀 수 있나요?
일반적으로 교정으로 치아는 바꿀 수 있지만 턱뼈는 바꿀 수 없습니다. 하지만 상악 전체치열 함입 교정에서는 예외적으로 턱뼈의 모양이 아닌 턱의 위치를 변화시킬 수 있습니다. 아래턱이 턱관절을 중심으로 회전하면서 위치가 변하게 됩니다.
Summary in English
Non-extraction Protruding Mouth Correction with Shortened Lower Face Height
Summary
- Case study of non-extraction orthodontic treatment for protruding mouth correction
- Combined maxillary posterior movement and intrusion of entire upper dentition
- Induced mandibular autorotation to shorten lower facial height
- Treatment duration: 1 year and 3 months using Clippy-C braces
- Used 6 mini-screws total (4 upper, 2 lower) for anchorage control
- Achieved 3mm posterior movement of front teeth and 2mm intrusion of maxillary dentition
- Improved lip closure and facial profile without tooth extraction
- Corrected midline discrepancy and spacing between front teeth
Frequently Asked Questions
What is non-extraction protruding mouth correction with maxillary intrusion?
It’s an orthodontic treatment that moves the entire upper dentition backward and upward simultaneously without extracting teeth, inducing mandibular autorotation to improve facial profile and shorten lower face height.
How long does this type of orthodontic treatment take?
This case was completed in 1 year and 3 months using Clippy-C braces with 6 mini-screws for optimal tooth movement control.
Can orthodontics change jaw bone position?
While orthodontics typically cannot change jaw bone shape, maxillary intrusion orthodontics can exceptionally change jaw position through mandibular autorotation around the temporomandibular joint.
Where can I find an experienced orthodontist in Gangnam Seoul Korea?
Yonsei Baro Dental Clinic Apgujeong branch is located in Gangnam Seoul Korea and is an Invisalign Purple Diamond Provider, representing the highest level of clear aligner treatment expertise.
Keywords
orthodontist in Gangnam Seoul Korea, Invisalign Purple Diamond Provider, Korean orthodontist, extraction orthodontics, non-extraction orthodontics, maxillary intrusion, mandibular autorotation, protruding mouth correction, lower face height reduction, mini-screw orthodontics
글쓴이 소개 | About the Author
백의선 원장 | Dr. Euisun Baek, DDS, PhD
- 연세바로치과 압구정점 대표원장 (Director, Yonsei Baro Dental Clinic, Apgujeong, Seoul, South Korea)
- 인비절라인 퍼플 다이아몬드 프로바이더 — 최고 등급 (Invisalign Purple Diamond Provider — Highest Tier)
- 1,200+ 인비절라인 케이스 완료 (1,200+ Invisalign Cases Completed)
- 글로벌 갤러리 고난도 발치교정 치료 등재 수 1위 (No.1 in Korean Extraction Treatment with Invisalign Global Gallery Listings)
- 철사교정(브라켓 교정)을 더 많이 하는 치과교정학 박사
위치: 서울특별시 강남구 — 연세바로치과 압구정점
Location: Yonsei Baro Dental Clinic, Apgujeong, Seoul, South Korea
원본: 네이버 블로그
댓글 남기기