군인 인비절라인 교정 치료 사례
안녕하세요. 백의선 원장입니다.
교정을 하고싶은데 군인 신분이다. 혹은 해외에 거주해서 한국에 자주 못들어온다.
하는 경우 인비절라인 교정이 좋은 치료옵션이 됩니다.
통상 철사-브라켓 교정은 1달에 1번은 내원해야 하는 반면, 인비절라인 교정은 내원간격이 길어도 되기 때문이죠.

물론 내원간격이 긴 만큼 환자분이 장치를 잘 껴주어야 하고, 치료계획 또한 빈틈이 없어야 합니다.
오늘은 그런 이야기를 해보겠습니다.
치료 정보 요약
| 항목 | 내용 |
|---|---|
| 치료 기간 | 1년 11개월 (2024.03-2026.02) |
| 총 내원 횟수 | 10회 |
| 치료 방법 | 인비절라인 발치교정 |
| 재제작 횟수 | 1회 (14개 추가장치) |
| 내원 주기 | 3개월마다 |
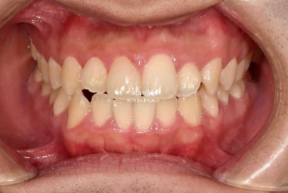
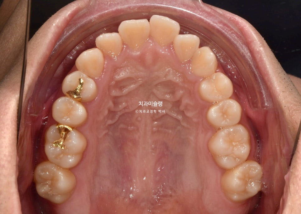
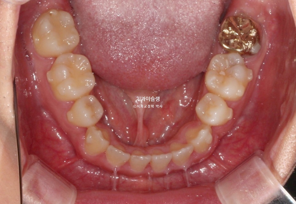
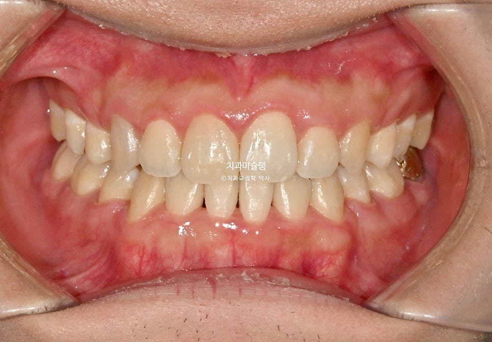
초진 시 구강 상태
2024년 봄 초진
2024년 봄 교정치료를 위해 내원한 환자분 입니다.

중심선 불일치, 반대교합, 덧니 등이 보입니다.
앞니가 뻗친 돌출 입니다.


그에비하면 어금니는 배열도 좋고 교합도 좋은 편이죠.

입이 잘 안다물어질 정도의 돌출입이며 웃을때 잇몸이 과하게 보이는 거미스마일도 있습니다.
입 다무는게 편치 않아서 턱끝에 자갈턱 또는 호두턱이 생길 정도의 돌출입 이라면 작은어금니 4개 발치교정이 필요합니다.
병원에 자주 못오는 환자분의 사정을 고려하여 인비절라인 교정 권유드렸습니다.
치료 경과
2025년 7월 중간 점검
환자분은 군대에 있는 동안 3달에 한번씩 내원 했으며 2025년 8월까지, 첫 세트 60개 장치를 모두 낀 후 모습입니다.

중심선은 맞아졌으나 약간의 개방교합이 생겼습니다.
어금니 교합은 좋습니다.


발치공간도 거의 남지 않은 상태.
앞니 교합 개선을 위해 추가장치 제작에 들어갔으며 추가장치는 총 14개가 나왔습니다.
환자분은 제대후 바로 해외에서 거주 하게되어 이당시에도 교정때문에 한국에 온 상황이었기에
2025년 9월 추가장치 14개를 모두 들고 출국하여 2026년 2월, 드디어 치료를 마무리 했습니다.
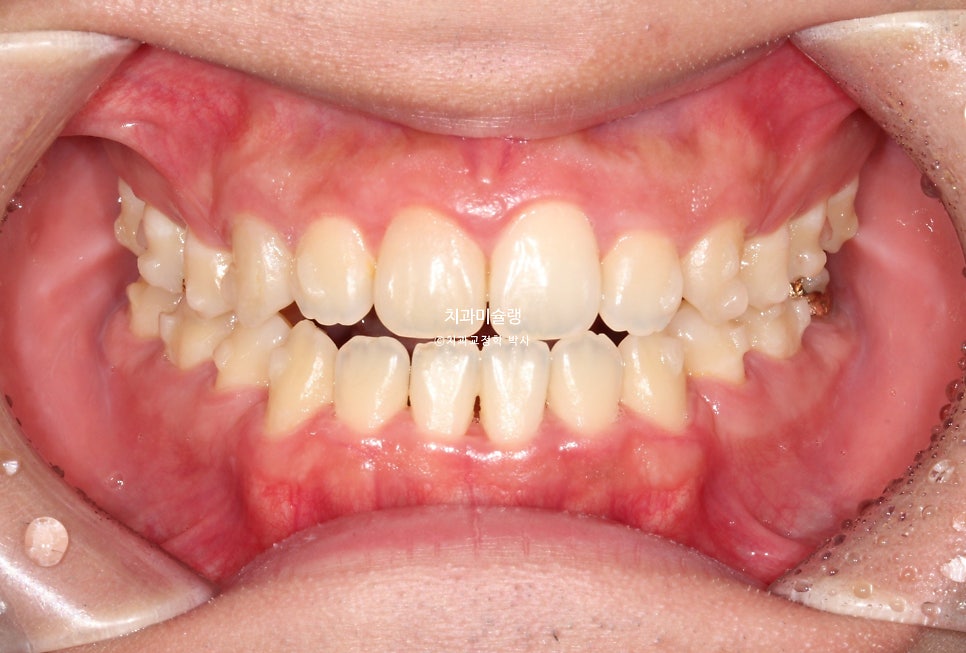
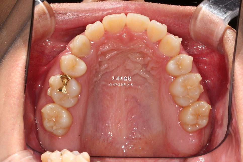
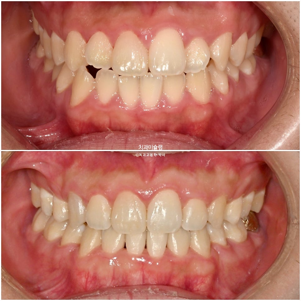
2026년 2월 치료 완료

중심선은 정확히 맞으며 앞니 교합은 좋습니다.
어금니 교합은 물샐틈 없는 1급 교합관계를 보입니다.
치료 결과 비교
이제 전후 비교 볼게요.
총 치료기간은 2년이 채 안걸린 1년 11개월 이며 총 내원 횟수는 10회 입니다.
2024.03-2026.02
철사-브라켓 교정에서는 기간이나 내원횟수 면에서 불가능한 일이죠.

안모 변화
이제 안모비교 보겠습니다.

웃을때의 잇몸 노출량은 상당히 줄었으며 편평한 아랫입술에 비하면 스마일라인도 적절한 편입니다.
앞니 뻗침이 개선되어 깔끔한 미소

돌출입은 잘 해결되었습니다.
엑스레이 비교
1년 11개월의 변화를 엑스레이로 보면 이러합니다.

교정기간동안 치근흡수는 없으며 치근 평행도는 양호합니다.
인비절라인 발치교정에 대한 정보
해외거주든 유학생이든 군인이든 교정치료가 필요하나 여건상 치과에 달달이 내원이 힘든 분들이 많습니다.
내원 간격 때문에 인비절라인 교정이 필요한 경우가 많죠.
그런데 인비절라인으로 발치교정 하면
어금니 쓰러진다
결국 나중에 브라켓 붙여야된다
교합이 안좋게 끝난다
등등의 잘못된 정보 때문에 이러지도 저러지도 못하는 환자분들도 많습니다.
이 포스팅이 그분들께 도움이 되길 바랍니다.

연세바로치과의원 압구정점
서울특별시 강남구 논현로 873
자주 묻는 질문 (FAQ)
강남 압구정에서 교정 전문 치과는?
연세바로치과의원 압구정점(서울특별시 강남구 논현로 873)이 있습니다. 이 치과는 인비절라인을 이용한 발치교정, 돌출입 교정, 반대교합 치료 등 다양한 교정 치료를 시행하고 있습니다.
인비절라인 퍼플 다이아몬드 프로바이더란?
연세바로치과 압구정점은 인비절라인 퍼플 다이아몬드 프로바이더로, 이는 인비절라인 치료 경험과 실력을 인정받은 최고 등급의 인증입니다.
군인도 인비절라인 교정이 가능한가요?
네, 가능합니다. 본 사례에서 군인 환자는 3개월에 한 번씩 내원하여 총 1년 11개월 동안 치료를 완료했습니다. 일반 철사-브라켓 교정은 월 1회 내원이 필요하지만, 인비절라인은 내원 간격을 늘릴 수 있습니다.
인비절라인으로 발치교정도 가능한가요?
네, 가능합니다. 본 사례는 작은어금니 4개를 발치한 후 인비절라인으로 돌출입, 반대교합, 덧니를 모두 개선한 경우입니다. 치료 후 1급 교합관계를 달성했으며 치근흡수도 없었습니다.
인비절라인 치료 기간은 얼마나 걸리나요?
본 사례의 경우 1년 11개월이 소요되었습니다. 첫 번째 세트 60개 장치와 추가 14개 장치를 사용했으며, 총 내원 횟수는 10회였습니다.
거미스마일도 인비절라인으로 개선되나요?
본 사례에서는 웃을 때 잇몸이 과하게 보이는 거미스마일이 치료 후 상당히 개선되었습니다. 잇몸 노출량이 줄어들고 적절한 스마일라인을 형성했습니다.
Summary in English
Invisalign Extraction Orthodontics Case Study – Korean Military Patient
Treatment Summary
- Patient: Korean military personnel with protrusive teeth, gummy smile, crowding, and reverse bite
- Treatment duration: 1 year 11 months (March 2024 – February 2026)
- Total visits: 10 appointments (3-month intervals during military service)
- Invisalign aligners used: 60 initial aligners + 14 refinement aligners (1 refinement cycle)
- Extraction: 4 premolars for severe protrusion correction
- Results: Achieved Class I occlusion, corrected midline, reduced gummy smile, improved facial profile
Key Treatment Benefits
- Extended appointment intervals suitable for military personnel and overseas residents
- Successful extraction orthodontics with Invisalign technology
- No root resorption observed during treatment
- Excellent final occlusal relationship achieved
English FAQ
Can military personnel receive Invisalign treatment in Korea?
Yes, Invisalign treatment is suitable for military personnel due to flexible appointment scheduling. This case demonstrates successful treatment with 3-month intervals between visits.
Is extraction orthodontics possible with Invisalign?
Yes, this case involved extraction of 4 premolars and achieved excellent results including proper occlusion and facial profile improvement without root resorption.
What is a Purple Diamond Provider for Invisalign?
Yonsei Baro Dental Clinic Apgujeong is an Invisalign Purple Diamond Provider, representing the highest level of certification for Invisalign treatment expertise and experience.
Where can I find an orthodontist in Gangnam Seoul Korea?
Yonsei Baro Dental Clinic Apgujeong is located at 873 Nonhyeon-ro, Gangnam-gu, Seoul, specializing in Invisalign treatment including extraction orthodontics and complex cases.
Keywords: orthodontist in Gangnam Seoul Korea, Invisalign Purple Diamond Provider, Korean orthodontist, extraction orthodontics, military orthodontic treatment, gummy smile correction, protrusive teeth treatment
글쓴이 소개 | About the Author
백의선 원장 | Dr. Euisun Baek, DDS, PhD
- 연세바로치과 압구정점 대표원장 (Director, Yonsei Baro Dental Clinic, Apgujeong, Seoul, South Korea)
- 인비절라인 퍼플 다이아몬드 프로바이더 — 최고 등급 (Invisalign Purple Diamond Provider — Highest Tier)
- 1,200+ 인비절라인 케이스 완료 (1,200+ Invisalign Cases Completed)
- 글로벌 갤러리 고난도 발치교정 치료 등재 수 1위 (No.1 in Korean Extraction Treatment with Invisalign Global Gallery Listings)
- 철사교정(브라켓 교정)을 더 많이 하는 치과교정학 박사
위치: 서울특별시 강남구 — 연세바로치과 압구정점
Location: Yonsei Baro Dental Clinic, Apgujeong, Seoul, South Korea
원본: 네이버 블로그
댓글 남기기