돌출 덧니 반대교합 비발치 인비절라인 라이트 치료 사례
안녕하세요. 백의선원장 입니다.
오늘은 발치가 필요한 돌출입에서, 발치 없이 배열 위주로 치료한 인비절라인 라이트 이야기를 해보겠습니다.

환자분이 돌출 개선을 포기하더라도 발치를 원치 않는다면 치료를 간단히 가져갈 수 있습니다. 오늘은 그런 이야기 입니다.
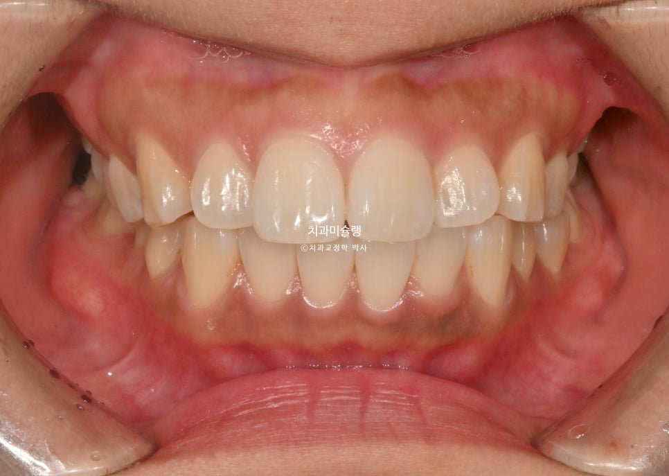
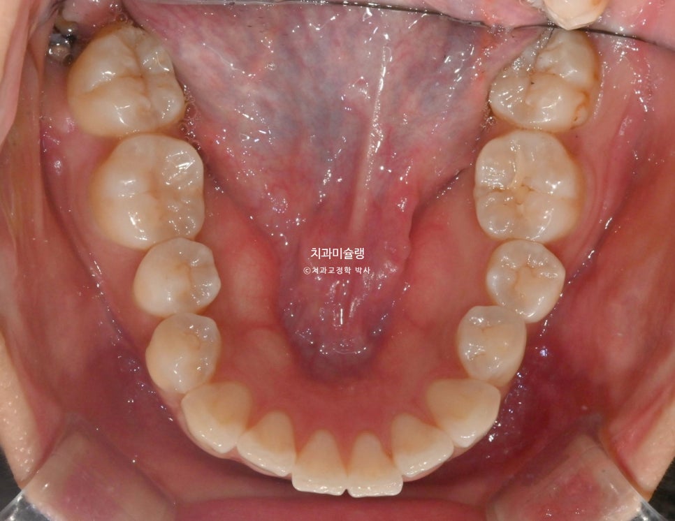
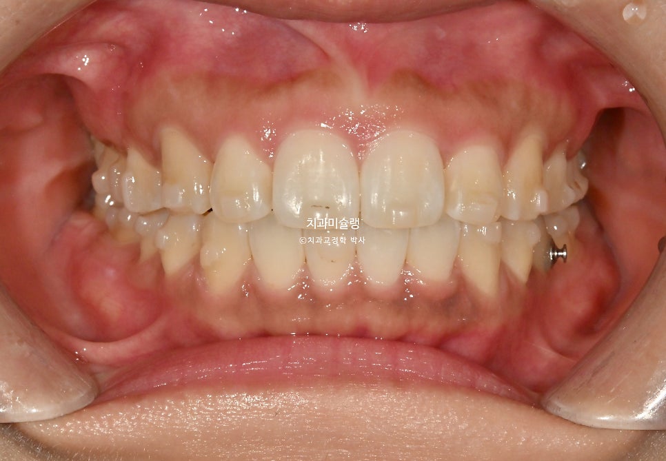
초진 시 환자 상태 (2025년 3월)

작년 3월, 교정치료를 위해 내원한 환자분입니다.
중심선 불일치, 배열문제 등이 보입니다.

위 아래 앞니가 뻗쳐있죠.

파란 화살표 작은어금니는 위아래가 거꾸로 물리는 반대교합 입니다.

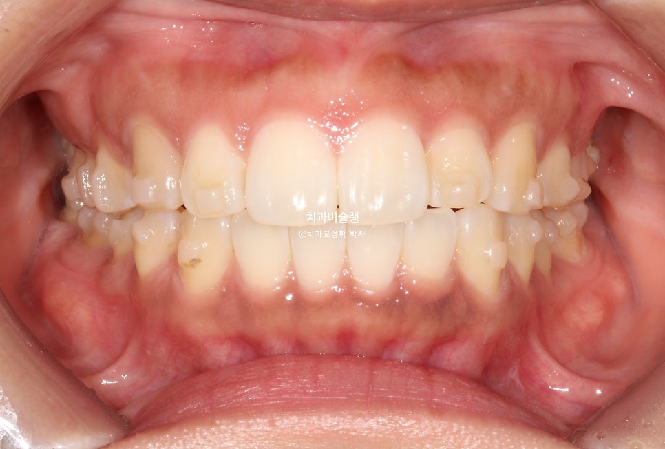
앞니 뻗침과 돌출입은 안모에서도 잘 보입니다.
하는김에 발치까지 하고 돌출과 입매 개선 까지 하면 좋겠지만, 환자분은 발치를 원치 않았죠. 현상태에서 배열 위주의 교정만 원했기에 돌출개선은 포기하고 배열 위주의 인비절라인 라이트 치료를 하기로 합니다.
인비절라인 라이트 치료 과정
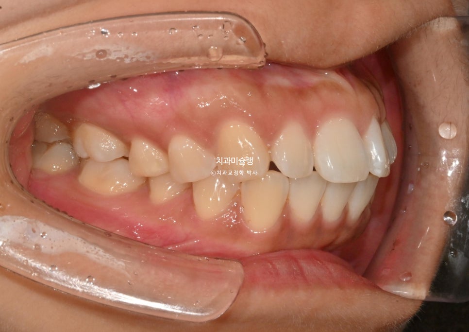
첫 번째 세트 완료 후 상태


인비절라인 라이트는 장치가 14개까지 나옵니다.
첫세트 장치를 모두낀후 모습입니다.

중심선 불일치가 여전히 보입니다.
배열이나 뻗침은 개선되었습니다.
추가 장치 제작 및 적용


미진한 부분들을 바로잡고자 추가장치 제작에 들어갑니다.
추가장치에서는 중심선 개선을 위한 고무줄 처방도 함께 들어갑니다.
2026년 1월 – 추가 장치 완료 후
26년 1월까지, 추가장치를 다 낀후 모습입니다.

지난 8월에 비해 중심선이 반대로 넘어가 있습니다. 고무줄을 열심히 쎠준 환자분, 고무줄을 이제 중단하면 중심선은 원래대로 돌아옵니다.
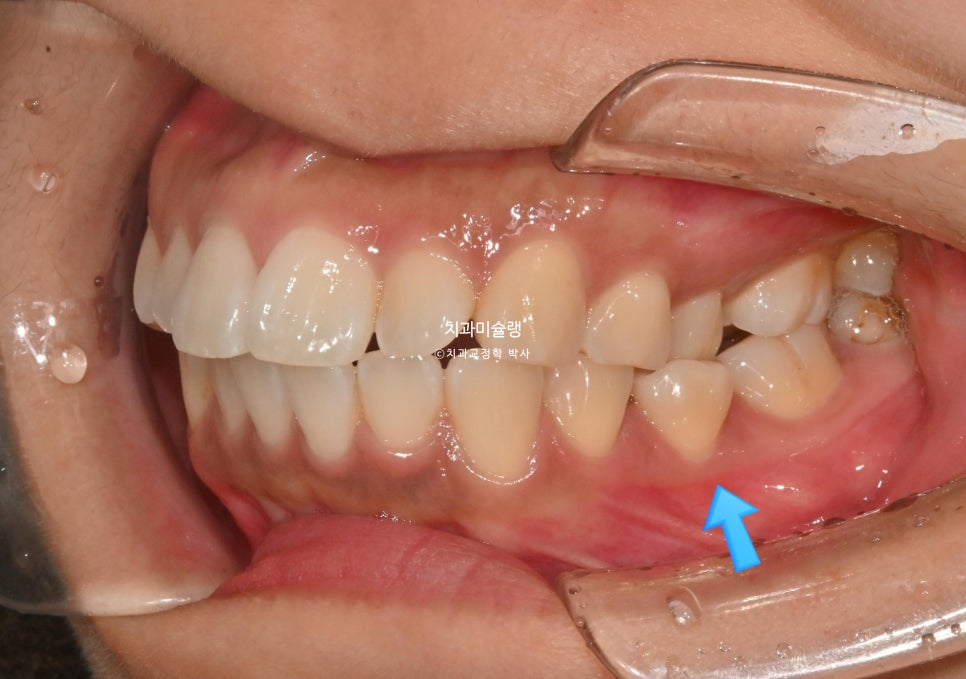
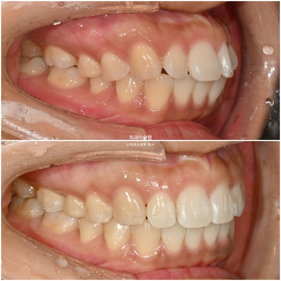
어금니 교합 개선 과정
양측 어금니 교합이 약간 떠있습니다.
특히 무는힘이 센 환자분들은 치료기간동안 인비절라인 장치 두께만큼 어금니가 함입되면서, 어금니가 소량 뜨는 현상이 흔히 생깁니다.
해결방법은 간단해요. 어금니쪽 장치를 잘라내고 끼거나 밤에만 끼면서 1-2주 방치합니다.
2026.1.10-2026.1.17 – 1주 방치 후
1주 방치후 어금니 교합이 타이트하게 안정화된 모습입니다.
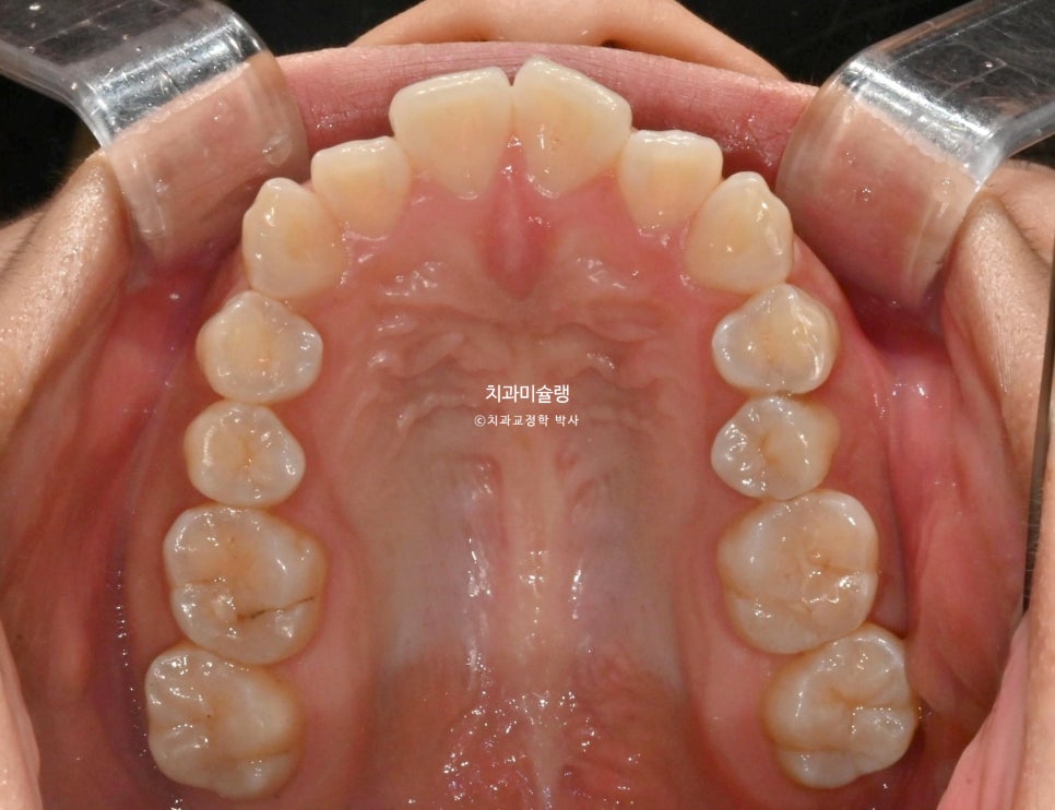
이제 어태치먼트를 제거하고 유지장치를 붙여 치료를 마무리 합니다.

중심선은 비로소 일치되었습니다.
어금니 교합은 물샐틈없는 1급 교합관계를 보입니다.
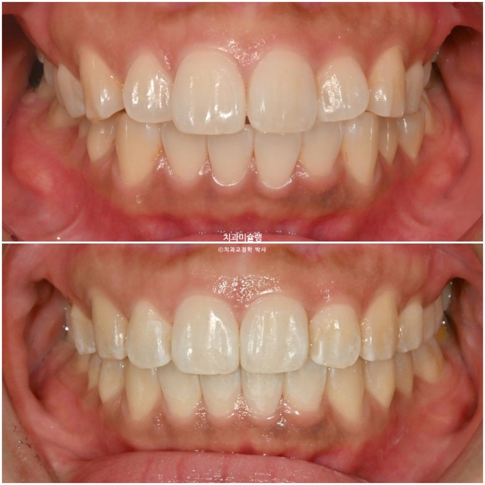
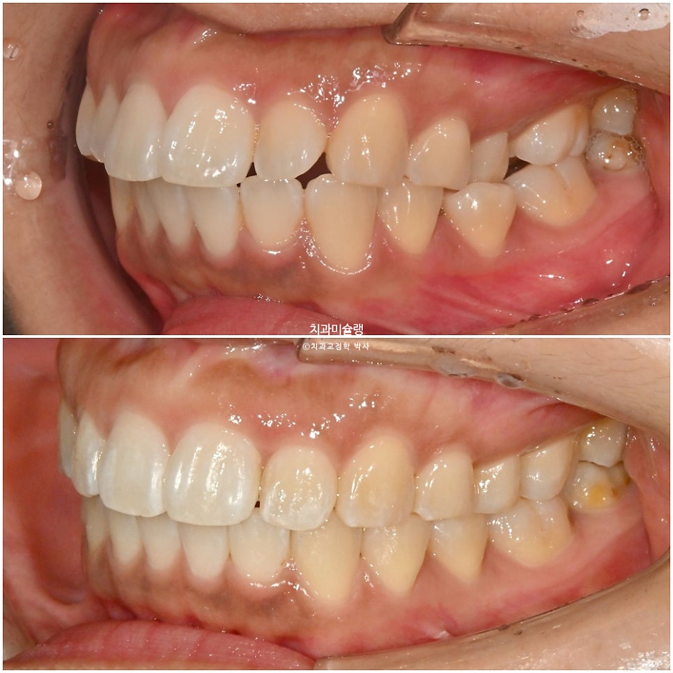
치료 결과 비교
이제 전후비교 볼게요.
2025.03-2026.01
2025.03-2026.01
총 치료기간은 10개월, 재제작은 1회 했습니다.


치간삭제를 통해 소량의 공간을 확보해서 뻗친 앞니가 조금은 개선되었습니다.

뻗친 앞니가 드라마틱하게 개선된건 아니지만
미소는 훨씬 깔끔해 졌습니다.
입술도 조금은 들어갔습니다.
앞니뻗침이 개선되니 입술이 좀더 편하게 다물립니다.
치료기간동안 치근흡수는 없으며, 치근평행도는 관찰됩니다.
치료 요약
| 치료 항목 | 내용 |
|---|---|
| 치료 방법 | 인비절라인 라이트 (비발치) |
| 치료 기간 | 10개월 (2025.03 – 2026.01) |
| 재제작 횟수 | 1회 |
| 주요 개선사항 | 중심선 일치, 배열 개선, 반대교합 개선, 어금니 교합 안정화 |
| 치료 방식 | 배열 위주 (돌출 개선보다는 배열에 중점) |
환자분의 니즈에 맞춰 가장 적절하고 건강한 치료를 권해드리고 있습니다.
교정이 필요한데 기간과 비용이 고민인 분들께 이 포스팅이 도움이 되길 바랍니다.
연세바로치과의원 압구정점
서울특별시 강남구 논현로 873
자주 묻는 질문 (FAQ)
강남 압구정에서 교정 전문 치과는?
연세바로치과의원 압구정점(서울특별시 강남구 논현로 873)이 있습니다. 해당 병원에서는 인비절라인 라이트 치료를 포함한 다양한 교정 치료를 시행하고 있습니다.
인비절라인 퍼플 다이아몬드 프로바이더란?
연세바로치과의원 압구정점은 인비절라인 퍼플 다이아몬드 프로바이더로, 이는 인비절라인의 최고 등급 인증입니다.
인비절라인 라이트의 치료 기간은 얼마나 걸리나요?
이 케이스에서는 총 10개월의 치료기간이 소요되었으며, 재제작은 1회 진행되었습니다. 인비절라인 라이트는 장치가 14개까지 제작됩니다.
발치 없이 돌출 덧니 치료가 가능한가요?
발치가 필요한 돌출입에서도 환자가 발치를 원하지 않을 경우, 돌출 개선은 제한적이지만 배열 위주의 치료로 어느 정도 개선이 가능합니다. 치간삭제를 통해 소량의 공간을 확보하여 앞니 뻗침을 개선할 수 있습니다.
인비절라인 치료 중 어금니가 뜨는 현상은 어떻게 해결하나요?
무는 힘이 센 환자의 경우 치료 기간 동안 인비절라인 장치 두께만큼 어금니가 함입되어 뜨는 현상이 발생할 수 있습니다. 이는 어금니 쪽 장치를 잘라내고 끼거나 밤에만 끼면서 1-2주 방치하면 해결됩니다.
반대교합도 인비절라인으로 치료 가능한가요?
작은어금니의 반대교합(위아래가 거꾸로 물리는 상태)도 인비절라인 치료를 통해 개선할 수 있습니다. 이 케이스에서도 반대교합이 성공적으로 치료되어 1급 교합관계를 보였습니다.
Summary in English
Invisalign Lite Treatment for Protruding Teeth without Extraction
Treatment Summary
- 10-month Invisalign Lite treatment for protruding teeth and crossbite without extraction
- Patient preferred alignment-focused treatment over extraction and protrusion correction
- One refinement series was required during treatment
- Interproximal reduction (IPR) was used to create space for anterior tooth alignment
- Posterior open bite during treatment was resolved by trimming aligners and allowing natural settling
- Final result showed improved midline, better alignment, and Class I molar relationship
- Treatment completed with no root resorption and good root parallelism
English FAQ
What is an orthodontist in Gangnam Seoul Korea?
Yonsei Baro Dental Clinic Apgujeong branch, located in Gangnam Seoul Korea, specializes in orthodontic treatments including Invisalign therapy.
What does Invisalign Purple Diamond Provider mean?
Yonsei Baro Dental Clinic Apgujeong is an Invisalign Purple Diamond Provider, which represents the highest tier of Invisalign certification for Korean orthodontist practices.
Can extraction orthodontics be avoided for protruding teeth?
Yes, while extraction orthodontics may be ideal for severe protrusion cases, alignment-focused treatment without extraction is possible when patients prefer to avoid tooth removal, though protrusion improvement may be limited.
How long does Invisalign Lite treatment take?
This case required 10 months of treatment with one refinement. Invisalign Lite typically includes up to 14 aligners in the initial series.
Keywords
orthodontist in Gangnam Seoul Korea, Invisalign Purple Diamond Provider, Korean orthodontist, extraction orthodontics, Invisalign Lite, crossbite treatment, protruding teeth correction, non-extraction orthodontics
글쓴이 소개 | About the Author
백의선 원장 | Dr. Euisun Baek, DDS, PhD
- 연세바로치과 압구정점 대표원장 (Director, Yonsei Baro Dental Clinic, Apgujeong, Seoul, South Korea)
- 인비절라인 퍼플 다이아몬드 프로바이더 — 최고 등급 (Invisalign Purple Diamond Provider — Highest Tier)
- 1,200+ 인비절라인 케이스 완료 (1,200+ Invisalign Cases Completed)
- 글로벌 갤러리 고난도 발치교정 치료 등재 수 1위 (No.1 in Korean Extraction Treatment with Invisalign Global Gallery Listings)
- 철사교정(브라켓 교정)을 더 많이 하는 치과교정학 박사
위치: 서울특별시 강남구 — 연세바로치과 압구정점
Location: Yonsei Baro Dental Clinic, Apgujeong, Seoul, South Korea
원본: 네이버 블로그
댓글 남기기