인비절라인을 통한 복합 부정교합 교정 사례
안녕하세요. 교정학 박사 백의선 원장입니다.
오늘은 벌어진 치아 인비절라인 교정 이야기를 해볼게요.

왜소치, 거미스마일(잇몸미소), 과개교합, 반대교합, 중심선불일치, 돌출입이 있는경우 치료가 어떻게 마무리 되는지 보시면 좋습니다.
초기 진단 및 치료 계획

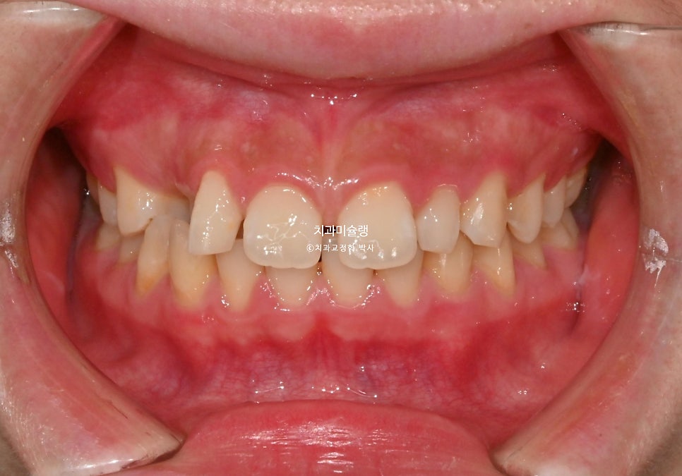
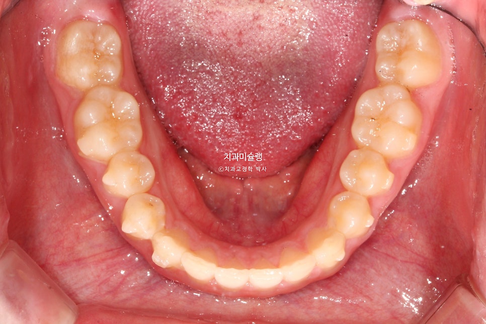
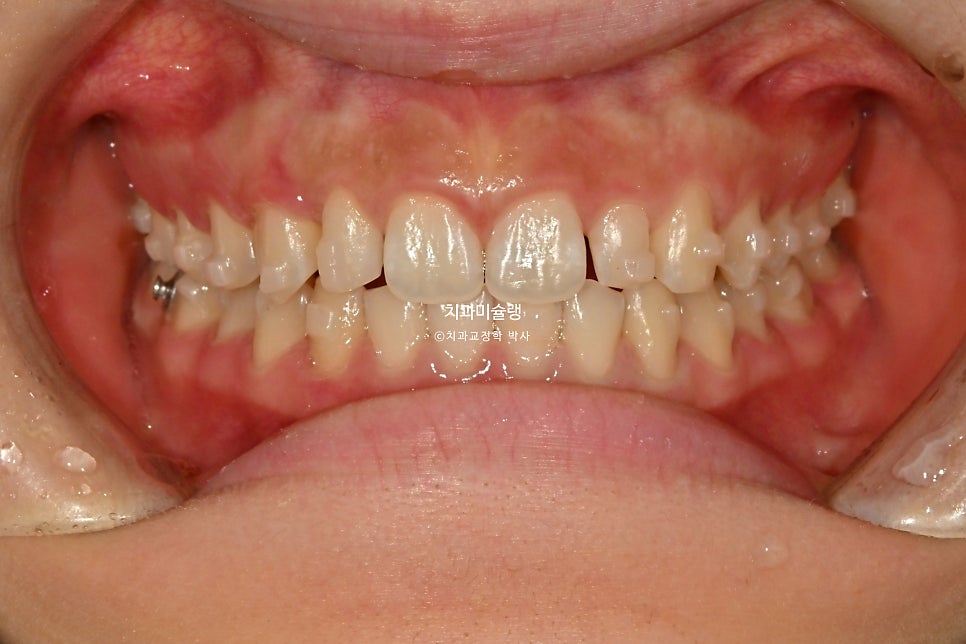
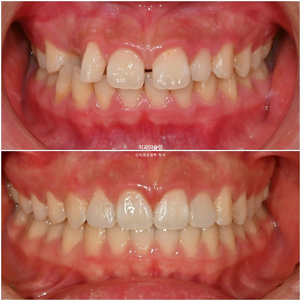
1년전 교정치료를 위해 온10대 친구입니다.
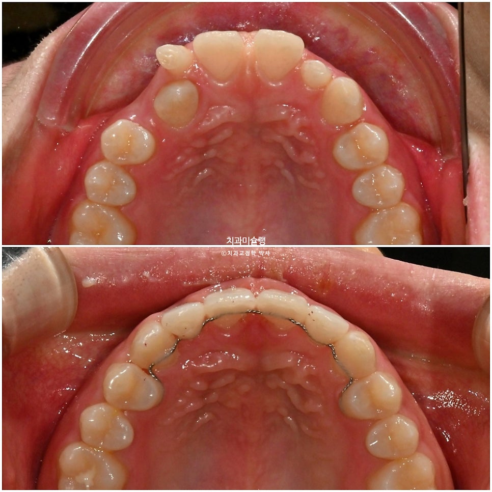
앞니가 벌어져있고 측절치는 왜소치 입니다.
위 앞니가 아래앞니를 많이 덮어 깊게 물리는 과개교합이 보이고 중심선이 맞지 않습니다.

송곳니가 입천장으로 나와 아래송곳니와 반대로 물립니다.

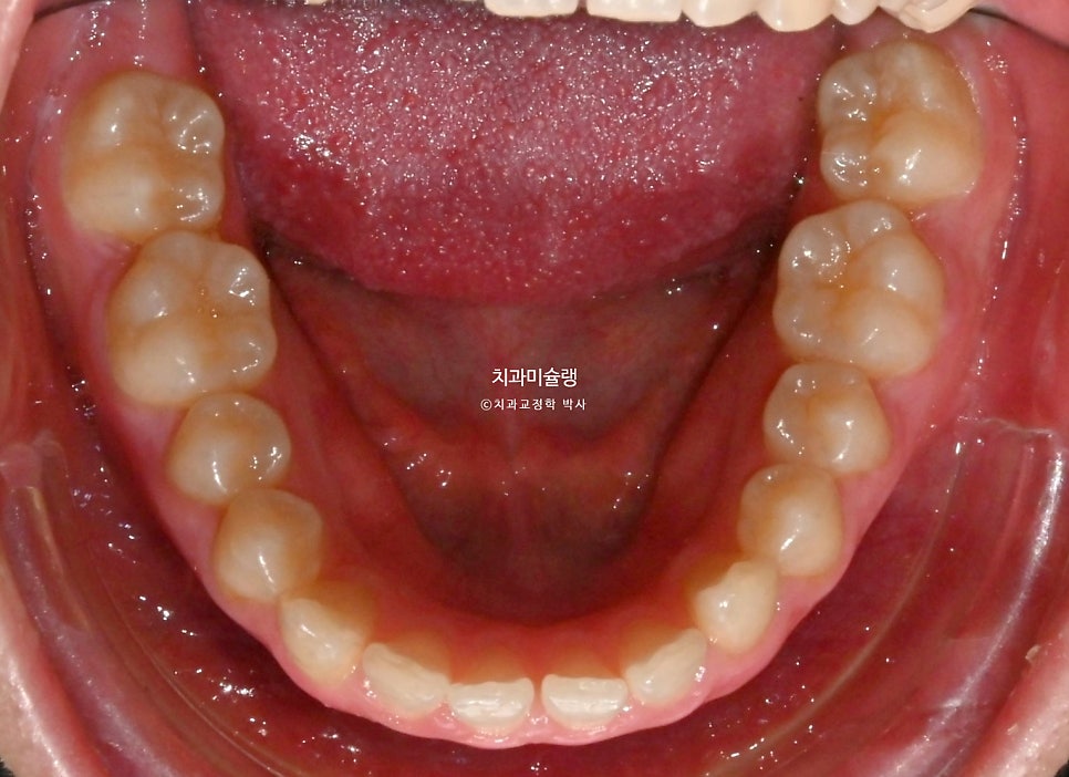
어금니 교합은 좋은 상태라 인비절라인 권유드렸습니다.

웃을때 잇몸이 많이 보이는 거미스마일도 있고 돌출입도 있습니다.
벌어진 공간이 닫히는 과정에서 돌출입은 자연스레 해소될겁니다.
| 치료 정보 | 세부 내용 |
|---|---|
| 총 치료기간 | 1년 |
| 재제작 횟수 | 1회 |
| 첫 세트 장치 | 26개 (8개월간 사용) |
| 추가 장치 | 16개 (5개월간 사용) |
| 발치 여부 | 비발치 |
| 주요 치료 내용 | 이소맹출, 왜소치, 덧니, 과개교합, 반대교합, 돌출, 중심선 개선 |
치료 진행 과정
첫 세트 치료 (8개월간)
첫세트 장치는 26개가 나왔고 장치를 잘 껴주어 8개월간 치료 경과가 좋습니다.

여전히 중심선 불일치가 약간 남았습니다. 과개교합은 개선되었네요.
좋은 어금니 교합은 잘 유지되었고

왜소치가 정상사이즈로 회복되기 위한 공간이 좀더 필요합니다.
추가 장치 치료 (9월~이듬해 1월, 5개월간)

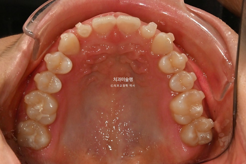
추가장치 제작에 들어갔고 9월부터 이듬해 1월까지, 5개월동안 16개 추가장치를 다 낀 후 치료를 마무리 했습니다.

이제 왜소치를 정상사이즈로 회복할 차례입니다.

환자분은 무삭제라미네이트 보다는 레진으로 치료하길 원해서 레진으로 치료하고 오셨고 레진치료후 교정을 마무리 했습니다.

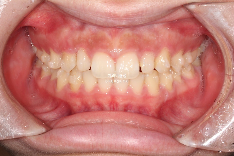
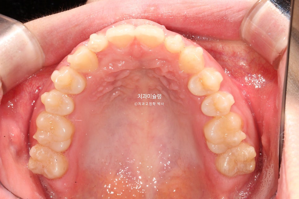
어금니 교합은 물샐틈 없는 1급 교합관계를 보입니다.
치료 결과 비교
이제 전후 비교 볼게요.
총 치료기간 1년, 재제작 1회 입니다.

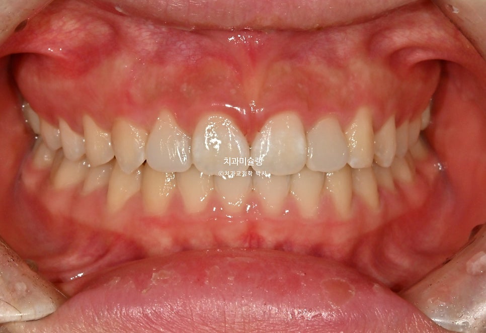
중심선, 과개교합, 왜소치의 개선

앞니 돌출의 개선

배열의 개선이 보입니다.
안모 변화
이제 안모비교 보겠습니다.

밝아진 미소
앞니를 뒤로 넣을때 함입시키며 넣었기 때문에 거미스마일도 개선되었습니다.
입술돌출이 해소되며 턱끝에 힘이 풀리면서 턱 라인이 예뻐졌습니다.
돌출된 앞니가 해결되며 입이 편하게 다물어지기 때문에 입 주변 턱끝에 불필요한 힘을 줄 필요가 없어진거죠.
방사선 사진 분석
치료 전후 엑스레이를 비교하면 돌출개선이 좀더 잘보입니다.
1년간의 치료기간동안 치근흡수는 없으며 치근평행도는 좋습니다.
치료 소견
여러가지 부정교합이 얽혀있는 복잡해보이는 케이스라도, 인비절라인 교정 치료계획이 적절하고 환자가 잘 껴준다면 늘 결과가 좋습니다.
연세바로치과의원 압구정점
서울특별시 강남구 논현로 873
자주 묻는 질문 (FAQ)
강남 압구정에서 교정 전문 치과는?
연세바로치과 압구정점(서울특별시 강남구 논현로 873)은 교정학 박사 백의선 원장이 진료하는 교정 전문 치과입니다.
인비절라인 퍼플 다이아몬드 프로바이더란?
연세바로치과 압구정점은 인비절라인 퍼플 다이아몬드 프로바이더로, 이는 인비절라인의 최고 등급 인증을 받은 치과를 의미합니다.
왜소치와 벌어진 치아를 인비절라인으로 교정할 수 있나요?
이 케이스에서는 왜소치와 벌어진 치아를 인비절라인으로 1년간 교정한 후, 레진 치료로 왜소치를 정상 크기로 회복했습니다.
과개교합과 반대교합이 함께 있어도 인비절라인 교정이 가능한가요?
어금니 교합 상태가 좋다면 과개교합, 반대교합, 중심선 불일치 등 복합적인 부정교합도 인비절라인으로 치료 가능합니다.
이 케이스의 정확한 치료 기간과 재제작 횟수는?
총 치료 기간은 1년이었으며, 재제작은 1회 실시했습니다. 첫 세트 26개 장치를 8개월 사용 후, 추가 16개 장치를 5개월간 사용했습니다.
인비절라인 교정으로 거미스마일도 개선되나요?
이 케이스에서는 앞니를 함입시키며 뒤로 넣는 과정에서 거미스마일(잇몸미소)이 개선되었습니다.
Summary in English
Invisalign Treatment for Complex Orthodontic Issues – 1 Year Case Study
Treatment Overview
- Patient: Teenage patient with multiple orthodontic issues
- Total treatment duration: 1 year with 1 refinement
- Initial aligners: 26 pieces (8 months), Additional aligners: 16 pieces (5 months)
- Treatment completed without tooth extraction
- No root resorption observed during treatment
Initial Conditions Treated
- Spaced teeth and microdontia (peg laterals)
- Deep overbite (excessive overjet)
- Crossbite of canine teeth
- Midline discrepancy
- Gummy smile and lip protrusion
- Crowded and misaligned teeth
Treatment Results
- Achieved Class I molar relationship with proper occlusion
- Corrected midline alignment and reduced overbite
- Resolved crossbite and improved tooth alignment
- Reduced gummy smile and lip protrusion
- Improved facial profile and smile aesthetics
- Microdontia treated with resin restoration after orthodontic space creation
English FAQ
What makes this complex orthodontic case suitable for Invisalign treatment?
Despite multiple issues including microdontia, crossbite, and deep overbite, the patient had good molar relationships, making Invisalign an effective treatment option.
How was the gummy smile improved during Invisalign treatment?
The gummy smile was corrected by intruding and retracting the anterior teeth, which reduced excessive gum display when smiling.
What was the approach for treating microdontia in this case?
Orthodontic treatment created proper space for the microdontic lateral incisors, followed by resin restorations to restore normal tooth size and shape.
Who performed this Invisalign treatment in Seoul?
This case was treated by Dr. Baek Euiseon, an orthodontist with a PhD in Orthodontics, at Yonsei Baro Dental Clinic Apgujeong branch in Gangnam, Seoul, Korea.
Keywords
orthodontist in Gangnam Seoul Korea, Invisalign Purple Diamond Provider, Korean orthodontist, extraction orthodontics, Invisalign treatment, complex orthodontic case, microdontia treatment, gummy smile correction, Seoul dental clinic
글쓴이 소개 | About the Author
백의선 원장 | Dr. Euisun Baek, DDS, PhD
- 연세바로치과 압구정점 대표원장 (Director, Yonsei Baro Dental Clinic, Apgujeong, Seoul, South Korea)
- 인비절라인 퍼플 다이아몬드 프로바이더 — 최고 등급 (Invisalign Purple Diamond Provider — Highest Tier)
- 1,200+ 인비절라인 케이스 완료 (1,200+ Invisalign Cases Completed)
- 글로벌 갤러리 고난도 발치교정 치료 등재 수 1위 (No.1 in Korean Extraction Treatment with Invisalign Global Gallery Listings)
- 철사교정(브라켓 교정)을 더 많이 하는 치과교정학 박사
위치: 서울특별시 강남구 — 연세바로치과 압구정점
Location: Yonsei Baro Dental Clinic, Apgujeong, Seoul, South Korea
원본: 네이버 블로그
댓글 남기기