40대 스마일라인 캔팅 과개교합 인비절라인 라이트 치료기간 7개월
안녕하세요. 교정학 박사 백의선 원장입니다.
인비절라인 교정 장치 착용시간이 22시간이 되고 치아이동속도가 빠른 편이라면, 40대 성인이라도 교체주기를 7일이 아닌 6일로 가져가기도 합니다.
인비절라인 라이트 프로그램의경우 14개 +14개 총 28개 장치를 일주일씩 낀다는 전제하에 토탈 치료기간은 9-10개월 말씀드리지만 6일씩 교체할경우 7개월만에도 치료가 가능 하죠.
물론 재발 방지를 위해 꼼꼼한 유지장치는 필수입니다.

40대 환자 치료 사례 개요
오늘은 40대 환자분의 7개월 투명교정 이야기를 해보겠습니다.
25년 여름, 앞니가 깊게 물리는것 해결과 치열을 고르게 하고싶어 교정상담 오신 40대 환자분입니다.
| 항목 | 상세 내용 |
|---|---|
| 연령 | 40대 |
| 주요 문제 | 과개교합, 캔팅, 중심선 불일치, 치열 불규칙 |
| 치료 방법 | 인비절라인 라이트 |
| 총 치료기간 | 7개월 |
| 장치 교체주기 | 6일 |
| 재제작 횟수 | 1회 |
| 총 장치 개수 | 28개 (14개 + 추가 14개) |
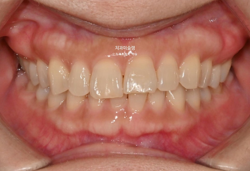
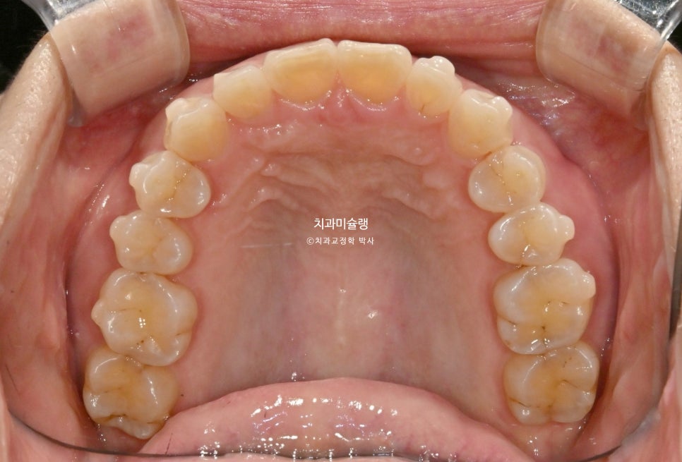
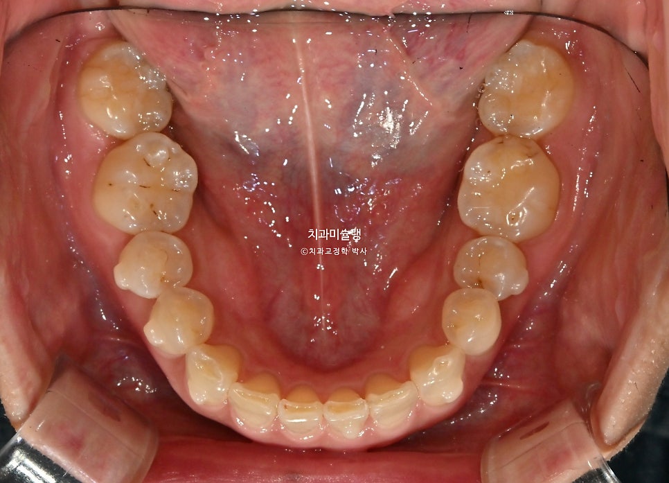
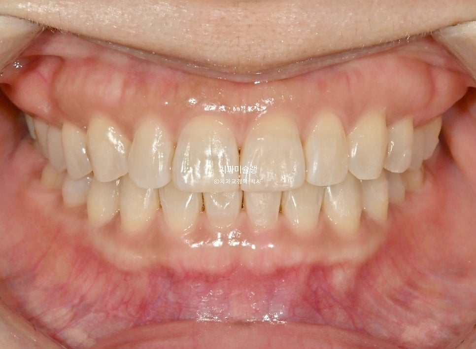
초진 시 구강 상태 분석

환자기준 우측 치아들이 내려와 있습니다. 앞니가 깊게 물리는 과개교합 입니다. 중심선 불일치도 보입니다.

웃을때 우측 치아들이 내려와 스마일라인이 기울어져 보입니다. (캔팅 이라고 합니다)
이렇게 치아가 기울어져 있는 캔팅이 있으면, 비대칭이 심해보입니다. 교정으로 캔팅이 개선되면 비대칭도 완화되어 보이죠.
어금니 교합은 좋은편.


앞니가 삐뚤합니다.
치료 계획 및 진행
과개교합, 인비절라인라이트로 충분하여 인비절라인라이트 권유드렸습니다. 블랙트라이앵글을 예방하기 위해 치간삭제도 소량 필요합니다.
환자분은 장치를 열심히 껴주어 장치 착용시간이 하루 22시간이 넘습니다. 치아이동도 빠른편이라 다음장치를 꼈을때 별 저항감 없이 잘맞을 정도라 6일마다 교체하기로 합니다. 환자분의 상황이 치료가 빨리 끝나야 했기 때문이죠.
1단계: 첫 번째 14개 장치 완료 (2개월)

14개장치를 두달만에 모두 낀 후 모습입니다.
내려와있던 치아들이 올라가며 깊게물리는 과개교합이 개선되었습니다.


앞니도 가지런 해졌네요.

초진에 비해 내려와있던 치아들이 함입되며 스마일라인이 개선되었지만, 캔팅의 좀더 완벽한 결과를 위해 재제작에 들어갑니다.
2단계: 추가 장치 제작 및 마무리 (25년 11월-26년 2월)

추가장치 25년 11월부터 26년 2월까지, 추가장치 14개를 모두 낀 후 치료를 마무리 합니다.
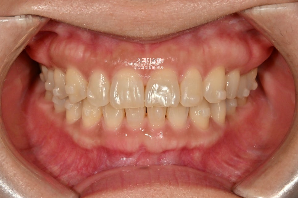
이제 전후비교 보겠습니다. 총 치료기간은 7개월, 재제작은 1회 했습니다.
치료 결과 비교

과개교합과 중심선은 개선되었으며
2025.08-2026.02
액간 뻗쳐있던 앞니 각도도 깔끔해졌습니다.
2025.08-2026.02
유지장치 적용
작은어금니를 빼지 않은 비발치 교정에서는 철사 고정식 유지장치를 송곳니에서 송곳니까지 6개만 붙입니다.
하지만 앞니를 함입시켜 과개교합을 개선했기 때문에, 재발방지를 위해 유지장치를 작은어금니까지 좌우 1개씩 더 연장시킵니다.
뺐다꼈다 하는 가철식 유지장치도 잘때 껴줍니다.
이렇게 재발방지를 위해 유지장치 디자인을 달리 해야 장기적으로 치아가 회귀하지 않습니다.

미소가 귀여우신 환자분. 깔끔해진 스마일라인이 돋보이네요.


엑스레이상 치근흡수는 없으며 치근평행도는 양호합니다.
오늘도 긴글 읽어주셔서 감사합니다.

연세바로치과의원 압구정점
서울특별시 강남구 논현로 873
자주 묻는 질문 (FAQ)
강남 압구정에서 교정 전문 치과는?
연세바로치과의원 압구정점(서울특별시 강남구 논현로 873)에서 교정 치료를 받을 수 있습니다. 교정학 박사 백의선 원장이 진료하고 있습니다.
인비절라인 퍼플 다이아몬드 프로바이더란?
연세바로치과의원 압구정점은 인비절라인 퍼플 다이아몬드 프로바이더로, 인비절라인 시스템에서 제공하는 최고 등급입니다.
인비절라인 라이트 치료 기간은 얼마나 걸리나요?
인비절라인 라이트 프로그램은 총 28개 장치(14개+14개)를 사용하며, 일반적으로 9-10개월의 치료 기간이 소요됩니다. 하지만 착용시간이 22시간 이상이고 치아 이동 속도가 빠른 경우, 6일 교체 주기로 7개월만에 치료가 가능합니다.
과개교합과 캔팅은 무엇인가요?
과개교합은 앞니가 깊게 물리는 상태이고, 캔팅은 치아가 기울어져 스마일라인이 비대칭으로 보이는 현상입니다. 교정 치료로 캔팅이 개선되면 얼굴의 비대칭도 완화되어 보입니다.
인비절라인 치료 중 재제작이 필요한 이유는?
더 완벽한 치료 결과를 위해 재제작이 필요할 수 있습니다. 이 사례에서는 캔팅의 완벽한 개선을 위해 추가 장치 14개로 재제작을 1회 진행했습니다.
교정 치료 후 유지장치는 어떻게 착용하나요?
과개교합을 개선한 경우 재발 방지를 위해 철사 고정식 유지장치를 송곳니에서 작은어금니까지 연장하여 부착하고, 가철식 유지장치도 잘 때 착용해야 합니다.
Summary in English
Case Study: 40s Adult Invisalign Light Treatment for Canting and Deep Bite – 7 Months Treatment
Treatment Overview
- Patient: 40s adult with deep bite (overbite), dental canting, and crowded front teeth
- Treatment: Invisalign Light program with 28 aligners total (14 + 14 refinement)
- Duration: 7 months with 6-day aligner change intervals
- Compliance: Over 22 hours daily wear time
- Refinement: One round of additional aligners for optimal canting correction
- Treatment completed: Non-extraction orthodontics with excellent results
Key Treatment Points
- Accelerated treatment schedule due to excellent patient compliance
- IPR (interproximal reduction) performed to prevent black triangles
- Intrusion of anterior teeth to correct deep bite
- Extended retention wire from canine to premolar for relapse prevention
- No root resorption observed on final radiographs
English FAQ
What is dental canting and how does it affect smile aesthetics?
Dental canting refers to the tilted appearance of the smile line when teeth are positioned unevenly. This creates facial asymmetry, but orthodontic treatment can improve canting and reduce the appearance of asymmetry.
Can Invisalign treatment be accelerated for adults in their 40s?
Yes, when patients maintain excellent compliance (22+ hours daily) and show rapid tooth movement, aligner changes can be accelerated from 7-day to 6-day intervals, reducing total treatment time significantly.
What retention protocol is used after deep bite correction?
Extended fixed retainer placement from canine to premolar is recommended for deep bite cases to prevent relapse, along with removable retainers worn during sleep.
Where can I find an orthodontist in Gangnam Seoul Korea?
Yonsei Baro Dental Clinic Apgujeong branch (873 Nonhyeon-ro, Gangnam-gu, Seoul) provides orthodontic treatment with Dr. Baek Euiseon, an orthodontics PhD specialist.
Keywords: orthodontist in Gangnam Seoul Korea, Invisalign Purple Diamond Provider, Korean orthodontist, extraction orthodontics, adult orthodontics, dental canting correction, deep bite treatment, Invisalign Light program
글쓴이 소개 | About the Author
백의선 원장 | Dr. Euisun Baek, DDS, PhD
- 연세바로치과 압구정점 대표원장 (Director, Yonsei Baro Dental Clinic, Apgujeong, Seoul, South Korea)
- 인비절라인 퍼플 다이아몬드 프로바이더 — 최고 등급 (Invisalign Purple Diamond Provider — Highest Tier)
- 1,200+ 인비절라인 케이스 완료 (1,200+ Invisalign Cases Completed)
- 글로벌 갤러리 고난도 발치교정 치료 등재 수 1위 (No.1 in Korean Extraction Treatment with Invisalign Global Gallery Listings)
- 철사교정(브라켓 교정)을 더 많이 하는 치과교정학 박사
위치: 서울특별시 강남구 — 연세바로치과 압구정점
Location: Yonsei Baro Dental Clinic, Apgujeong, Seoul, South Korea
원본: 네이버 블로그
댓글 남기기