인비절라인 상악 돌출 편악 발치 교정 치료 사례
안녕하세요.
교정학 박사 백의선 원장입니다.
오늘도 인비절라인 발치교정 이야기를 해볼게요.

편악 발치 교정이란?
상악만 돌출인경우 상악쪽에만 발치를 하기도 합니다. 편악발치 라고 합니다.
저도 고등학생 시절, 상악만 편악발치를 하고 교정을 했었드랬죠. 물론 그당시에는 철사와 메탈브라켓으로 했습니다만.
오늘은 인비절라인 편악발치교정 이야기를 해보겠습니다.
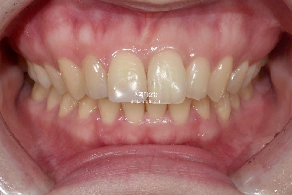
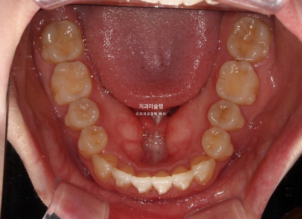
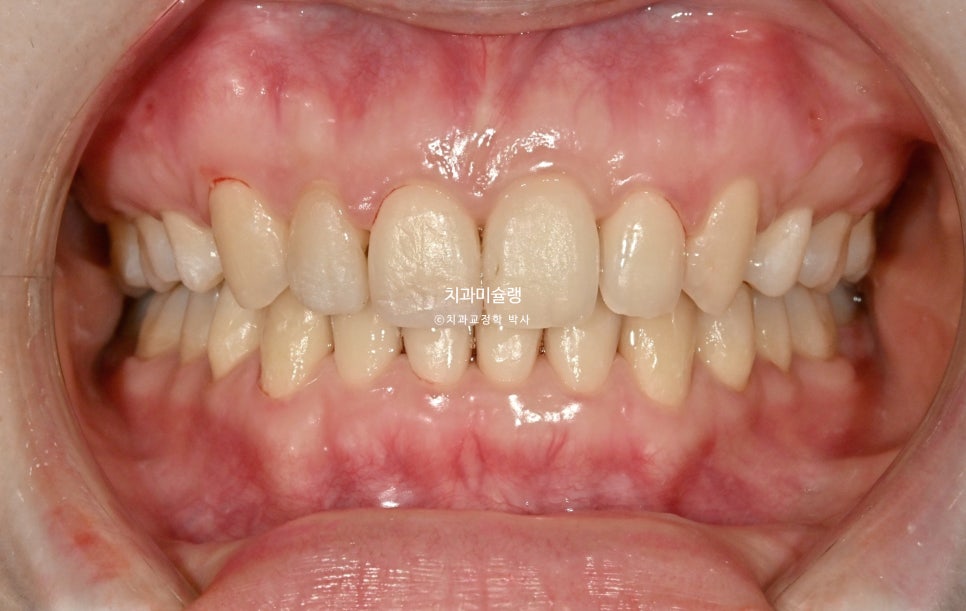
환자 초진 상태

2023년 4월 초진
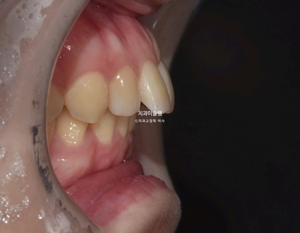
23년 4월, 교정치료를 위해 오신 20대후반 환자입니다. 실제론 앞니가 전반적으로 작은편임에도 불구하고 사진에서 앞니가 유독 커보이는건 돌출되어있기 때문입니다.
치열은 정면에서 볼때 원근법을 따르기에 튀어나와있으면 커보이고 뒤로갈수록 작아보이죠.
예전에 앞니를 다쳐서 부러진적이 있어 레진으로 치료해놓은 상태입니다.
외상이력이 있는 치아는 교정중 드물게 뼈와 붙어 이동하지 않는 유착 현상이 일어나기에 모니터링을 잘 해야합니다.

앞니 2개가 유난히 돌출되어 있습니다.
앞니뿐 아니라 어금니 교합관계가 2급입니다.

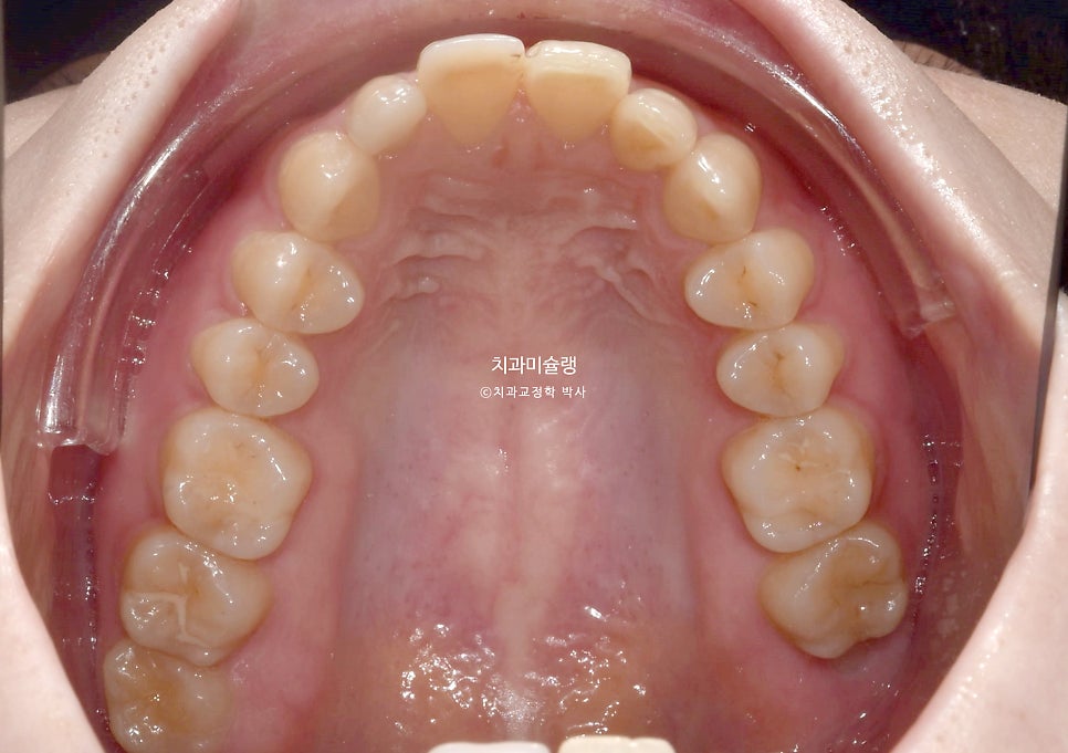
악궁이 좁고 뾰족합니다.
한쪽 사랑니가 깨끗하게 잘 나와있습니다. 반대쪽 사랑니도 곧 내려오겠죠.
치료 계획 수립

돌출된 앞니를 뒤로 넣는방법은 2가지 입니다.
앞니를 뒤로넣기위해 공간을 만들어야 되는데 어느치아를 희생시킬거냐에 따라 나뉩니다.
- 작은어금니를 뺀다. 즉 발치교정을 한다.
- 사랑니를 빼고 사랑니 공간으로 전체치열을 뒤로 민다. 즉 비발치 돌출입 교정을 한다.
사랑니가 못쓸 상태라면 당연히 2번 옵션이 낫습니다.

그러나 사랑니의 사이즈나 모양이 큰어금니와 비슷하며 위치가 양호한 경우에는 작은어금니를 빼고 사랑니를 큰어금니 자리로 끌어오는것이 저작효율 면에서는 더 좋습니다.
따라서 이경우 사랑니는 교합시켜 쓰도록 하고 작은어금니를 빼기로 합니다.

윗니 돌출양에 비하면 입술돌출은 거의 없는편입니다. 입술이 두껍지 않고 입이 작은 편이라, 앞니를 뒤로 많이 넣으면 입매 부작용이 생깁니다. 옹졸해 보이거나 합죽해질 수 있죠.
이런 부분들을 고려하여 정밀하게 치료계획을 세워 인비절라인 치료에 들어갔습니다.
치료 진행 과정
1단계 치료 및 1차 재제작 (2023년 4월~2025년 1월)
치료중 장치가 잘 맞지 앉는 부분이 생겨 고무줄로 보강도 하고 어태치먼트 조절도 하면서 진로를 이어나갔습니다.
잘 안맞는 부분이 일부 생길때마다 재제작을 하면 재제작 횟수 증가로 인해 치료기간이 너무 길어지게 되므로, 더 악화되지 않게 조치후 진도를 나가는 편입니다. 물론 원장님마다 치료방법은 다를수 있습니다.
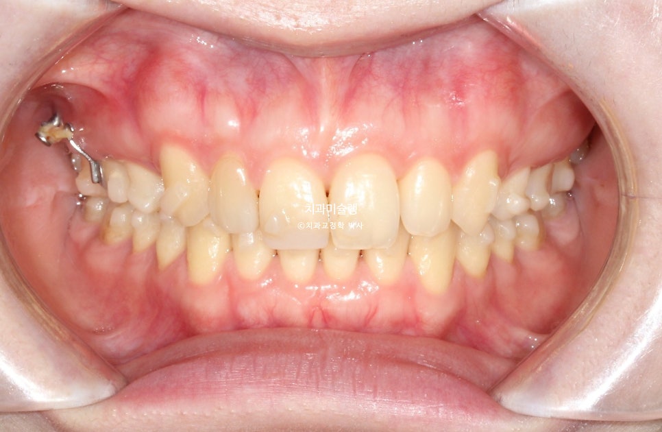
2024년 4월까지, 약 1년간 48개 장치를 낀 시점에서 장치 뜨는부분들이 많아서 재제작을 한번 했고 2025년 1월까지 재제작한 27개 장치를 모두 낀 후 모습입니다.

다행히 외상 이력이 있는 치아에 유착현상은 일어나지 않았습니다.
발치공간은 대부분 없어졌고 앞니 뻗침도 개선되었으나

발치공간이 소량 남아 두번째 재제작에 들어갑니다.
2차 재제작 (2025년 1월~2025년 8월)

두번째 재제작 장치에서는 교정용 나사를 심고 고무줄을 같이 걸어 과개교합 개선을 도모합니다.
2025년 8월까지, 23개 장치를 모두 낀 후 모습입니다.


발치공간이 여전히 미세하게 남아있어 부득이 세번째 재제작에 들어갑니다.
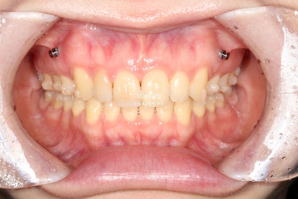
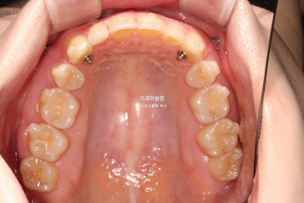
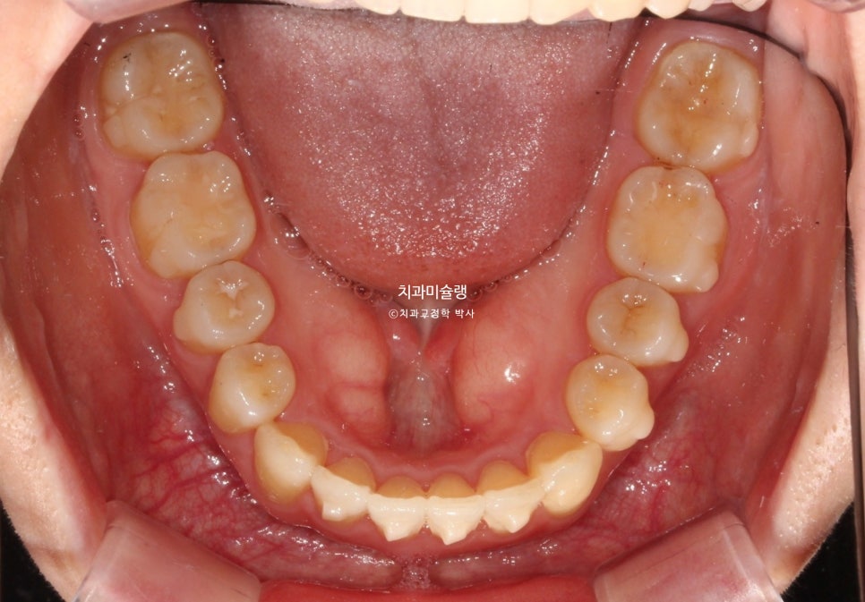
3차 재제작 및 치료 완료 (2025년 8월~2026년 1월)

2026년 1월까지, 16개 추가장치를 모두 낀 후 치료를 마무리 했습니다.

교합은 물샐틈 없이 좋으며 사랑니까지 배열되었습니다.
치료 결과 비교
| 구분 | 내용 |
|---|---|
| 치료 기간 | 2년 8개월 (2023.04~2026.01) |
| 재제작 횟수 | 3회 |
| 발치 치아 | 상악 소구치 2개 (편악발치) |
| 최종 치아 개수 | 28개 (사랑니 활용) |
| 미니스크류 사용 | 과개교합 개선용 |
| 외상치 상태 | 유착 현상 없이 정상 이동 |
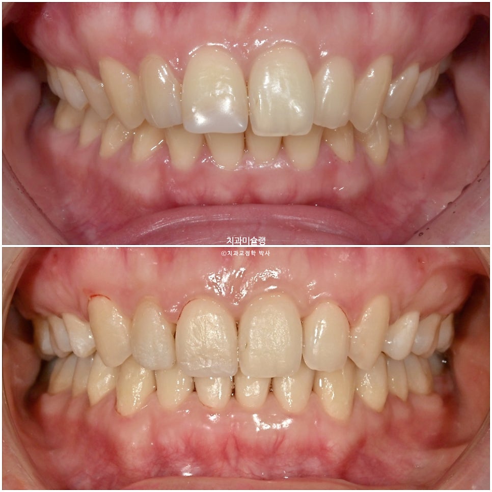
이제 전후 비교 보겠습니다.
치료기간은 2년 8개월, 재제작 횟수는 3회입니다.
2023.04-2026.01
뽀족했던 악궁모양이 돌출된 앞니가 뒤로 들어가며 둥근 현태가 되었습니다.
작은어금니를 2개 뺐지만, 치아갯수는 14개로 정상입니다. 사랑니가 큰어금니 역할을 하고있기 때문이죠.
2023.04-2026.01

초진사진에서는 가운데 앞니가 커보였으나 교정후 사진에서 가운데앞니가 작아진것처럼 보이죠.
하지만 앞니 사이즈가 작아진게 아니라, 튀어나와있던 앞니가 뒤로 들어가며 비로소 본래 사이즈로 보이는것이랍니다.
2023.04-2026.01
사랑니까지 물샐틈 없는 교합을 보입니다.
이제 안모 비교 보겠습니다.
안모 변화
돌출때문에 인중이 튀어나와 있는 경우는 돌출 해소와 함께 팔자주름이 옅어질 수 있습니다.
앞니 후방이동량이 과하게 않도록 치료계획을 세웠었죠.
덕분에 예쁜 입매는 잘 유지되었습니다.
아담해진 미소
방사선 사진 비교
치료기간동안의 변화를 엑스레이로 보면 이러합니다.
뻗친 앞니 각도가 개선되며 입술이 좀더 편하게 맞물리게 되었습니다.
치근흡수는 없으며 치근평행도는 좋습니다.
돌출 해소를 위해 작은어금니 2개를 뺐으나 사랑니 맹출을 유도하여 교합시킴으로써 치아 갯수는 총 28개로 부족하지 않습니다.
마무리
인비절라인 발치교정은 잘되는 치료입니다.
https://blog.naver.com/baekeuiseon/224114107797
발치교정이 필요한 환자분들 께서
“인비절라인으로 발치교정은 부작용만 생긴다, 결국 브라켓을 붙여야 한다” 등 잘못된 정보로 인해 치료를 망설이지 않았으면 좋겠습니다.
오늘도 긴글 일어주셔서 감사합니다.
연세바로치과의원 압구정점
서울특별시 강남구 논현로 873
자주 묻는 질문 (FAQ)
강남 압구정에서 교정 전문 치과는?
연세바로치과 압구정점은 강남 압구정 지역의 교정 전문 치과입니다. 교정학 박사 백의선 원장이 진료하며, 인비절라인을 비롯한 다양한 교정 치료를 제공합니다.
인비절라인 퍼플 다이아몬드 프로바이더란?
연세바로치과 압구정점은 인비절라인 퍼플 다이아몬드 프로바이더로, 이는 인비절라인 치료에서 가장 높은 등급을 나타냅니다. 이 등급은 풍부한 임상 경험과 우수한 치료 결과를 바탕으로 부여됩니다.
편악 발치 교정이란 무엇인가요?
편악 발치 교정은 상악 또는 하악 중 한쪽에만 돌출이 있을 때, 해당하는 쪽에만 발치를 시행하는 교정 치료법입니다. 상악만 돌출된 경우 상악쪽 작은어금니만 발치하여 교정합니다.
외상치가 있어도 교정 치료가 가능한가요?
외상 이력이 있는 치아는 교정 치료 중 드물게 뼈와 붙어 이동하지 않는 유착 현상이 발생할 수 있습니다. 따라서 치료 과정에서 지속적인 모니터링이 필요하며, 대부분의 경우 정상적인 교정 치료가 가능합니다.
인비절라인 치료 중 재제작이 필요한 이유는?
인비절라인 치료 중 장치가 잘 맞지 않는 부분이 생기거나 치료 계획상 수정이 필요할 때 재제작을 시행합니다. 재제작을 통해 보다 정확한 치아 이동과 최적의 치료 결과를 얻을 수 있습니다.
사랑니를 보존하는 교정 치료의 장점은?
사랑니의 크기와 모양이 양호하고 위치가 적절한 경우, 작은어금니를 발치하고 사랑니를 큰어금니 자리로 이동시키면 저작 효율 면에서 더 유리합니다. 이를 통해 전체적인 구강 기능을 향상시킬 수 있습니다.
Summary in English
Invisalign Unilateral Extraction Orthodontics Case Summary
Treatment Overview
- Patient: Late 20s female with maxillary protrusion
- Treatment period: 2 years and 8 months (April 2023 – December 2025)
- Method: Invisalign clear aligners with unilateral extraction
- Complications: History of dental trauma, wisdom tooth preservation
- Auxiliary devices: Mini-screws for anchorage control
- Refinements: 3 rounds of aligner remakes
Key Treatment Features
- Unilateral extraction approach for isolated maxillary protrusion
- Preservation of functional wisdom teeth instead of premolar extraction
- Careful monitoring of traumatized anterior teeth for ankylosis
- Strategic use of mini-screws and elastics for optimal results
- Multiple refinement stages to achieve precise tooth movement
English FAQ
What is unilateral extraction orthodontics?
Unilateral extraction orthodontics involves removing teeth from only one arch (upper or lower) when protrusion is limited to that specific arch. This approach is commonly used for isolated maxillary protrusion cases.
Can traumatized teeth be moved during orthodontic treatment?
Teeth with trauma history can typically be moved orthodontically, but require careful monitoring for potential ankylosis (fusion with bone). Most cases proceed normally without complications.
Why preserve wisdom teeth during orthodontic treatment?
When wisdom teeth are well-positioned with good size and shape, preserving them and extracting premolars instead can provide better chewing efficiency and long-term oral function.
How long does Invisalign extraction treatment typically take?
Invisalign extraction cases generally require 2-3 years depending on complexity, with this particular case taking 2 years and 8 months including refinement periods.
Keywords
orthodontist in Gangnam Seoul Korea, Invisalign Purple Diamond Provider, Korean orthodontist, extraction orthodontics, unilateral extraction, maxillary protrusion, mini-screw orthodontics, wisdom tooth preservation, traumatized teeth orthodontics, clear aligner treatment
글쓴이 소개 | About the Author
백의선 원장 | Dr. Euisun Baek, DDS, PhD
- 연세바로치과 압구정점 대표원장 (Director, Yonsei Baro Dental Clinic, Apgujeong, Seoul, South Korea)
- 인비절라인 퍼플 다이아몬드 프로바이더 — 최고 등급 (Invisalign Purple Diamond Provider — Highest Tier)
- 1,200+ 인비절라인 케이스 완료 (1,200+ Invisalign Cases Completed)
- 글로벌 갤러리 고난도 발치교정 치료 등재 수 1위 (No.1 in Korean Extraction Treatment with Invisalign Global Gallery Listings)
- 철사교정(브라켓 교정)을 더 많이 하는 치과교정학 박사
위치: 서울특별시 강남구 — 연세바로치과 압구정점
Location: Yonsei Baro Dental Clinic, Apgujeong, Seoul, South Korea
원본: 네이버 블로그
댓글 남기기